CHODL Antibody
-
中文名稱:CHODL兔多克隆抗體
-
貨號:CSB-PA005370LA01HU
-
規格:¥440
-
圖片:
-
Western Blot
Positive WB detected in: Hela whole cell lysate, K562 whole cell lysate
All lanes: CHODL antibody at 6.2µg/ml
Secondary
Goat polyclonal to rabbit IgG at 1/50000 dilution
Predicted band size: 31, 26, 28, 29 kDa
Observed band size: 31 kDa -
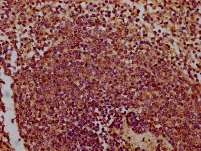
IHC image of CSB-PA005370LA01HU diluted at 1:300 and staining in paraffin-embedded human spleen tissue performed on a Leica BondTM system. After dewaxing and hydration, antigen retrieval was mediated by high pressure in a citrate buffer (pH 6.0). Section was blocked with 10% normal goat serum 30min at RT. Then primary antibody (1% BSA) was incubated at 4°C overnight. The primary is detected by a biotinylated secondary antibody and visualized using an HRP conjugated SP system.
-
Immunofluorescence staining of Hela cells with CSB-PA005370LA01HU at 1:100, counter-stained with DAPI. The cells were fixed in 4% formaldehyde, permeabilized using 0.2% Triton X-100 and blocked in 10% normal Goat Serum. The cells were then incubated with the antibody overnight at 4°C. The secondary antibody was Alexa Fluor 488-congugated AffiniPure Goat Anti-Rabbit IgG(H+L).
-
-
其他:
產品詳情
-
產品名稱:Rabbit anti-Homo sapiens (Human) CHODL Polyclonal antibody
-
Uniprot No.:
-
基因名:CHODL
-
別名:C21orf68 antibody; Chodl antibody; CHODL_HUMAN antibody; Chondrolectin antibody; Chromosome 21 open reading frame 68 antibody; FLJ12627 antibody; MT75 antibody; PRED12 antibody; Transmembrane protein MT75 antibody; UNQ872/PRO1890 antibody
-
宿主:Rabbit
-
反應種屬:Human
-
免疫原:Recombinant Human Chondrolectin protein (105-206AA)
-
免疫原種屬:Homo sapiens (Human)
-
標記方式:Non-conjugated
本頁面中的產品,CHODL Antibody (CSB-PA005370LA01HU),的標記方式是Non-conjugated。對于CHODL Antibody,我們還提供其他標記。見下表:
-
克隆類型:Polyclonal
-
抗體亞型:IgG
-
純化方式:>95%, Protein G purified
-
濃度:It differs from different batches. Please contact us to confirm it.
-
保存緩沖液:Preservative: 0.03% Proclin 300
Constituents: 50% Glycerol, 0.01M PBS, pH 7.4 -
產品提供形式:Liquid
-
應用范圍:ELISA, WB, IHC, IF
-
推薦稀釋比:
Application Recommended Dilution WB 1:500-1:5000 IHC 1:200-1:500 IF 1:50-1:200 -
Protocols:
-
儲存條件:Upon receipt, store at -20°C or -80°C. Avoid repeated freeze.
-
貨期:Basically, we can dispatch the products out in 1-3 working days after receiving your orders. Delivery time maybe differs from different purchasing way or location, please kindly consult your local distributors for specific delivery time.
-
用途:For Research Use Only. Not for use in diagnostic or therapeutic procedures.
相關產品
靶點詳情
-
功能:May play a role in the development of the nervous system such as in neurite outgrowth and elongation. May be involved in motor axon growth and guidance.
-
基因功能參考文獻:
- Data indicate that chondrolectin (CHODL) is likely to be a prognostic biomarker in the clinic and targeting CHODL might be a strategy for the development of anticancer drugs. PMID: 22016508
- cloning and characterization; localized at chromosome 21q21 PMID: 12079284
- study describes the molecular characterization of novel members of the chondrolectin family associated with T cell maturation and a subcellular localization of chondrolectin f isoform in the endoplasmic reticulum-Golgi apparatus PMID: 12621022
- CHODLDeltaE/CHODLfDeltaE protein variant localizes in the late endoplasmic reticulum and is detected in spleen and tonsils; the isoform seems to be differentially expressed in thymocytes and lymphocytes. PMID: 17606388
-
亞細胞定位:Cytoplasm. Membrane; Single-pass type I membrane protein.; [Isoform 2]: Endoplasmic reticulum. Endoplasmic reticulum membrane; Single-pass type I membrane protein.; [Isoform 3]: Cytoplasm.
-
組織特異性:Found in spleen, testis, prostate and fetal liver. Expression limited to vascular muscle of testis, smooth muscle of prostate stroma, heart muscle, skeletal muscle, crypts of small intestine, and red pulp of spleen. B lymphocytes express isoform 2 only; p
-
數據庫鏈接:
Most popular with customers
-
-
YWHAB Recombinant Monoclonal Antibody
Applications: ELISA, WB, IHC, IF, FC
Species Reactivity: Human, Mouse, Rat
-
Phospho-YAP1 (S127) Recombinant Monoclonal Antibody
Applications: ELISA, WB, IHC
Species Reactivity: Human
-
-
-
-
-















