CHMP1A Antibody
-
中文名稱:CHMP1A兔多克隆抗體
-
貨號:CSB-PA116460
-
規格:¥1100
-
圖片:
-
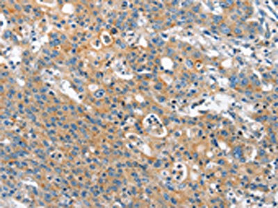
The image on the left is immunohistochemistry of paraffin-embedded Human thyroid cancer tissue using CSB-PA116460(CHMP1A Antibody) at dilution 1/60, on the right is treated with fusion protein. (Original magnification: ×200)
-
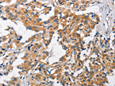
The image on the left is immunohistochemistry of paraffin-embedded Human gastric cancer tissue using CSB-PA116460(CHMP1A Antibody) at dilution 1/60, on the right is treated with fusion protein. (Original magnification: ×200)
-
-
其他:
產品詳情
-
Uniprot No.:
-
基因名:
-
別名:Charged multivesicular body protein 1a antibody; CHM1A_HUMAN antibody; CHMP1a antibody; Chromatin modifying protein 1a antibody; Chromatin-modifying protein 1a antibody; hVps46 1 antibody; hVps46-1 antibody; KIAA0047 antibody; Metalloprotease 1 antibody; PCOLN3 antibody; Procollagen (type III) N endopeptidase antibody; PRSM1 antibody; Vacuolar protein sorting 46 1 antibody; Vacuolar protein sorting-associated protein 46-1 antibody; Vps46 1 antibody; Vps46-1 antibody
-
宿主:Rabbit
-
反應種屬:Human,Mouse
-
免疫原:Fusion protein of Human CHMP1A
-
免疫原種屬:Homo sapiens (Human)
-
標記方式:Non-conjugated
-
抗體亞型:IgG
-
純化方式:Antigen affinity purification
-
濃度:It differs from different batches. Please contact us to confirm it.
-
保存緩沖液:-20°C, pH7.4 PBS, 0.05% NaN3, 40% Glycerol
-
產品提供形式:Liquid
-
應用范圍:ELISA,IHC
-
推薦稀釋比:
Application Recommended Dilution ELISA 1:2000-1:5000 IHC 1:50-1:200 -
Protocols:
-
儲存條件:Upon receipt, store at -20°C or -80°C. Avoid repeated freeze.
-
貨期:Basically, we can dispatch the products out in 1-3 working days after receiving your orders. Delivery time maybe differs from different purchasing way or location, please kindly consult your local distributors for specific delivery time.
-
用途:For Research Use Only. Not for use in diagnostic or therapeutic procedures.
相關產品
靶點詳情
-
功能:Probable peripherally associated component of the endosomal sorting required for transport complex III (ESCRT-III) which is involved in multivesicular bodies (MVBs) formation and sorting of endosomal cargo proteins into MVBs. MVBs contain intraluminal vesicles (ILVs) that are generated by invagination and scission from the limiting membrane of the endosome and mostly are delivered to lysosomes enabling degradation of membrane proteins, such as stimulated growth factor receptors, lysosomal enzymes and lipids. The MVB pathway appears to require the sequential function of ESCRT-O, -I,-II and -III complexes. ESCRT-III proteins mostly dissociate from the invaginating membrane before the ILV is released. The ESCRT machinery also functions in topologically equivalent membrane fission events, such as the terminal stages of cytokinesis and the budding of enveloped viruses (HIV-1 and other lentiviruses). ESCRT-III proteins are believed to mediate the necessary vesicle extrusion and/or membrane fission activities, possibly in conjunction with the AAA ATPase VPS4. Involved in cytokinesis. Involved in recruiting VPS4A and/or VPS4B to the midbody of dividing cells. May also be involved in chromosome condensation. Targets the Polycomb group (PcG) protein BMI1/PCGF4 to regions of condensed chromatin. May play a role in stable cell cycle progression and in PcG gene silencing.
-
基因功能參考文獻:
- Letter: rs6860 polymorphism of the CHMP1A gene, is associated with fibromyalgia susceptibility in southern Spanish women. PMID: 29247346
- we identified Ser(179) and Ser(182) located in the C-terminal region of the CHMP1A as major phosphorylation sites that cause a mobility shift. PMID: 23748770
- Study reports the discovery of a chimeric RNA between ZC3HAV1L and CHMP1A in human, located on chromosome 7 and 16, respectively. The fusion occurs at an exon-exon boundary, and was detected both computationally and experimentally from different cells or tissue types. PMID: 23273016
- Our results suggest that CHMP1A serves as a critical link between cytoplasmic signals and BMI1-mediated chromatin modifications that regulate proliferation of central nervous system progenitor cells. PMID: 23023333
- our results demonstrate that Chmp1A functions as a tumor suppressor gene in renal cells PMID: 22261332
- Chmp1A regulates tumor growth through ATM sugnaling and that neclear locaization of Chmp1A is reqired for the growth inhibition and ATM activation. PMID: 21705858
- UBPY MIT domain and another ubiquitin isopeptidase, AMSH, reveals common interactions with CHMP1A and CHMP1B but a distinct selectivity of AMSH for CHMP3/VPS24, a core subunit of the ESCRT-III complex, and UBPY for CHMP7. PMID: 17711858
- Chmp1A is a novel tumor suppressor, especially in pancreas and that Chmp1A regulates tumor growth potentially through p53 signaling pathway. PMID: 18787405
- Both Vps4A and CHMP1A localized in the vicinity of viral cytoplasmic assembly compartments, sites of viral maturation that develop in Cytomegalovirus-infected cells. Thus, ESCRT machinery is involved in the final steps of HCMV replication. PMID: 19640981
顯示更多
收起更多
-
相關疾病:Pontocerebellar hypoplasia 8 (PCH8)
-
亞細胞定位:Cytoplasm. Endosome membrane; Peripheral membrane protein. Nucleus matrix. Note=The cytoplasmic form is partially membrane-associated and localizes to early endosomes. The nuclear form remains associated with the chromosome scaffold during mitosis. On overexpression, it localizes to nuclear bodies characterized by nuclease-resistant condensed chromatin.
-
蛋白家族:SNF7 family
-
組織特異性:Expressed in placenta, cultured skin fibroblasts and in osteoblast cell line MG-63.
-
數據庫鏈接:
Most popular with customers
-
-
YWHAB Recombinant Monoclonal Antibody
Applications: ELISA, WB, IHC, IF, FC
Species Reactivity: Human, Mouse, Rat
-
Phospho-YAP1 (S127) Recombinant Monoclonal Antibody
Applications: ELISA, WB, IHC
Species Reactivity: Human
-
-
-
-
-















