-
中文名稱:CHIA兔多克隆抗體
-
貨號:CSB-PA874858ESR2HU
-
規格:¥440
-
圖片:
-
Western blot
All lanes: CHIA antibody at 0.74μg/ml + Mouse stomach tissue
Secondary
Goat polyclonal to rabbit IgG at 1/10000 dilution
Predicted band size: 53, 41, 34 kDa
Observed band size: 53 kDa -
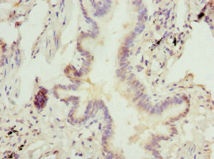
Immunohistochemistry of paraffin-embedded human lung tissue using CSB-PA874858ESR2HU at dilution of 1:100
-
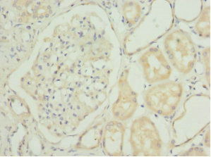
Immunohistochemistry of paraffin-embedded human kidney tissue using CSB-PA874858ESR2HU at dilution of 1:100
-
-
其他:
產品詳情
-
產品名稱:Rabbit anti-Homo sapiens (Human) CHIA Polyclonal antibody
-
Uniprot No.:
-
基因名:CHIA
-
別名:Acidic mammalian chitinase [Precursor] antibody; Acidic mammalian chitinase antibody; AMCase antibody; Chia antibody; CHIA_HUMAN antibody; CHIT2 antibody; chitinase; acidic antibody; DKFZp313J1722 antibody; ECF L antibody; Lung specific protein TSA1902 antibody; Lung-specific protein TSA1902 antibody; RP5 1125M8.1 antibody; TSA1902 antibody
-
宿主:Rabbit
-
反應種屬:Human, Mouse
-
免疫原:Recombinant Human Acidic mammalian chitinase protein (1-368AA)
-
免疫原種屬:Homo sapiens (Human)
-
標記方式:Non-conjugated
-
克隆類型:Polyclonal
-
抗體亞型:IgG
-
純化方式:Antigen Affinity Purified
-
濃度:It differs from different batches. Please contact us to confirm it.
-
保存緩沖液:PBS with 0.02% sodium azide, 50% glycerol, pH7.3.
-
產品提供形式:Liquid
-
應用范圍:ELISA, WB, IHC
-
推薦稀釋比:
Application Recommended Dilution WB 1:1000-1:5000 IHC 1:20-1:200 -
Protocols:
-
儲存條件:Upon receipt, store at -20°C or -80°C. Avoid repeated freeze.
-
貨期:Basically, we can dispatch the products out in 1-3 working days after receiving your orders. Delivery time maybe differs from different purchasing way or location, please kindly consult your local distributors for specific delivery time.
-
用途:For Research Use Only. Not for use in diagnostic or therapeutic procedures.
引用文獻
- Acidic mammalian chitinase gene is highly expressed in the special oxyntic glands of Manis javanica Jing E Ma.et al,FEBS Open Bio,2018
相關產品
靶點詳情
-
功能:Degrades chitin and chitotriose. May participate in the defense against nematodes, fungi and other pathogens. Plays a role in T-helper cell type 2 (Th2) immune response. Contributes to the response to IL-13 and inflammation in response to IL-13. Stimulates chemokine production by pulmonary epithelial cells. Protects lung epithelial cells against apoptosis and promotes phosphorylation of AKT1. Its function in the inflammatory response and in protecting cells against apoptosis is inhibited by allosamidin, suggesting that the function of this protein depends on carbohydrate binding.
-
基因功能參考文獻:
- rs10494132 polymorphism of CHIA might be a risk factor for asthma. PMID: 29233108
- we showed that M at the position 61 is highly conserved in the many mammals other than orangutan and humans. In addition, introduction of M61R and M61I to WT mouse AMCase lead to a significant reduction of its chitinolytic activity. Taken together, our present and previous data by Seibold et al. (2009) indicate that G339T (R61M) in humans is associated with asthma protection in the fashion of gain of function PMID: 27702777
- This is the first report on the association between low-frequency and common variants in the chitinases-related genes CHIA and CHI3L1 with the intensity of specific IgE to ABA-1 in a population naturally exposed to Ascaris and with Bet v 1 in a Swedish population. PMID: 27977724
- These data provide the experimental evidence that telomere shortening and related inflammatory proteins are associated with human IgAN, and it could be a new direction for the disease progression study. PMID: 24903994
- loss of acidic chitinase expression is a promising marker for corpus atrophy PMID: 24119614
- results showed that the expression of AMCase and CHIT-1 were differently modulated in monocyte macrophages at different stage of maturation. The behavior of these two active chitinase suggests that in the immune response their role is complementary. PMID: 23129258
- study demonstrated genetic associations between chitinase gene variants and lung function level and rate of decline in chronic obstructive pulmonary disease patients from the Lung Health Study; also functional effect of the rs3818822 polymorphism on AMCase levels and activity was demonstrated PMID: 22200767
- increased chitinolytic activity in nasal polyps PMID: 21711963
- Report increased CSF chitinase levels in patients with neuromyelitis optica and relapsing remitting multiple sclerosis. PMID: 21159721
- A ten base pair insertion in the second exon in the 5'UTR region of the AMCase gene may modify the gene expression and thus may affect the severity of asthma. PMID: 21511453
- Results showed the presence of CHIT1 and AMCase mRNA in gastric mucosa and the correlation with the presence of H. pylori was significant only for CHIT1 but not for AMCase expression. PMID: 19242357
- Environmental exposure to fungi does not modify the effect of CHIA SNPs on severe asthma exacerbations PMID: 20538957
- The levels of expression of AMCase and chitotriosidase mRNAs and proteins were increased in allergic turbinate mucosa compared with normal turbinate mucosa. PMID: 20422678
- Our study found no associations between single nucleotide polymorphisms in the genes CHIT1, CHIA, and CHI3L1 and asthma, changes in lung physiology, or allergy-related phenotypes in subjects with mild-to-moderate asthma PMID: 20226308
- expressed in exaggerated quantities in human asthma PMID: 15192232
- human AMCase has only one pH optimum for k(cat)/K(m) between pH 4 and 5. Steady state kinetics shows that human AMCase has "low" intrinsic transglycosidase activity, which leads to the observation of apparent substrate inhibition. PMID: 16584180
- results establish a significant association of CHIA with atopic asthma and serum total IgE levels in the Indian population PMID: 18602573
- lung epithelial cells secrete AMCase via an EGFR-dependent pathway that is activated by ADAM17 and mediates its effects via Ras. PMID: 18824549
- The three-dimensional (3D) model of the human acidic mammalian chitinase (hAMCase) was constructed based on the crystal structure of the human chitotriosidase (EC 3.2.1.44, PDB code 1HKK) by using InsightII/Homology module. PMID: 19085022
- secreted AMCase feeds back in an autocrine and/or paracrine manner to protect pulmonary epithelial cells from growth factor withdrawal- and Fas ligand-induced apoptosis PMID: 19342690
- Genetic association analyses of AMCase haplotypes for asthma revealed significant protective associations between the variant haplotype in several asthma cohorts. PMID: 19435888
- novel asthma susceptibility genes; review of genetic and fuctional studies PMID: 19644363
顯示更多
收起更多
-
亞細胞定位:[Isoform 1]: Secreted. Note=Secretion depends on EGFR activity.; [Isoform 2]: Cytoplasm.; [Isoform 3]: Cytoplasm.
-
蛋白家族:Glycosyl hydrolase 18 family, Chitinase class II subfamily
-
組織特異性:Detected in lung epithelial cells from asthma patients (at protein level). Highly expressed in stomach. Detected at lower levels in lung.
-
數據庫鏈接:
Most popular with customers
-
-
YWHAB Recombinant Monoclonal Antibody
Applications: ELISA, WB, IHC, IF, FC
Species Reactivity: Human, Mouse, Rat
-
-
-
-
-
-
VCP Recombinant Monoclonal Antibody
Applications: ELISA, WB, IHC, IF, IP
Species Reactivity: Human, Rat















