CHCHD5 Antibody
-
中文名稱:CHCHD5兔多克隆抗體
-
貨號:CSB-PA861130LA01HU
-
規格:¥440
-
圖片:
-
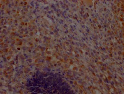
IHC image of CSB-PA861130LA01HU diluted at 1:200 and staining in paraffin-embedded human ovarian cancer performed on a Leica BondTM system. After dewaxing and hydration, antigen retrieval was mediated by high pressure in a citrate buffer (pH 6.0). Section was blocked with 10% normal goat serum 30min at RT. Then primary antibody (1% BSA) was incubated at 4°C overnight. The primary is detected by a Goat anti-rabbit polymer IgG labeled by HRP and visualized using 0.05% DAB.
-
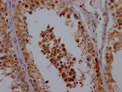
IHC image of CSB-PA861130LA01HU diluted at 1:200 and staining in paraffin-embedded human testis tissue performed on a Leica BondTM system. After dewaxing and hydration, antigen retrieval was mediated by high pressure in a citrate buffer (pH 6.0). Section was blocked with 10% normal goat serum 30min at RT. Then primary antibody (1% BSA) was incubated at 4°C overnight. The primary is detected by a Goat anti-rabbit polymer IgG labeled by HRP and visualized using 0.05% DAB.
-
-
其他:
產品詳情
-
產品名稱:Rabbit anti-Homo sapiens (Human) CHCHD5 Polyclonal antibody
-
Uniprot No.:
-
基因名:CHCHD5
-
別名:1110027L01Rik antibody; AW045710 antibody; C2orf9 antibody; CHCH5_HUMAN antibody; CHCHD5 antibody; chromosome 2 open reading frame antibody; Coiled coil helix coiled coil helix domain containing 5 antibody; Coiled-coil-helix-coiled-coil-helix domain-containing protein 5 antibody; FLJ39671 antibody; MGC11104 antibody; RP24-388N11.2 antibody
-
宿主:Rabbit
-
反應種屬:Human
-
免疫原:Recombinant Human Coiled-coil-helix-coiled-coil-helix domain-containing protein 5 protein (1-110AA)
-
免疫原種屬:Homo sapiens (Human)
-
標記方式:Non-conjugated
本頁面中的產品,CHCHD5 Antibody (CSB-PA861130LA01HU),的標記方式是Non-conjugated。對于CHCHD5 Antibody,我們還提供其他標記。見下表:
-
克隆類型:Polyclonal
-
抗體亞型:IgG
-
純化方式:>95%, Protein G purified
-
濃度:It differs from different batches. Please contact us to confirm it.
-
保存緩沖液:Preservative: 0.03% Proclin 300
Constituents: 50% Glycerol, 0.01M PBS, PH 7.4 -
產品提供形式:Liquid
-
應用范圍:ELISA, IHC
-
推薦稀釋比:
Application Recommended Dilution IHC 1:200-1:500 -
Protocols:
-
儲存條件:Upon receipt, store at -20°C or -80°C. Avoid repeated freeze.
-
貨期:Basically, we can dispatch the products out in 1-3 working days after receiving your orders. Delivery time maybe differs from different purchasing way or location, please kindly consult your local distributors for specific delivery time.
-
用途:For Research Use Only. Not for use in diagnostic or therapeutic procedures.
相關產品
靶點詳情
-
基因功能參考文獻:
- There was a statistically significant association between rs3748024 and systolic blood pressure (SBP) under an additive model adjusted for age, gender and body mass index (BMI) after correction for multiple testing. The SNP was also significantly associated with BMI, obesity, and triglycerides. PMID: 28893745
-
亞細胞定位:Mitochondrion intermembrane space.
-
數據庫鏈接:
Most popular with customers
-
-
YWHAB Recombinant Monoclonal Antibody
Applications: ELISA, WB, IHC, IF, FC
Species Reactivity: Human, Mouse, Rat
-
-
-
-
-
-















