CHAT Antibody
-
中文名稱:CHAT兔多克隆抗體
-
貨號:CSB-PA005314LA01HU
-
規格:¥1320
-
圖片:
-
Western Blot
Positive WB detected in: SH-SY5Y whole cell lysate, Mouse liver tissue
All lanes: CHAT antibody at 3μg/ml
Secondary
Goat polyclonal to rabbit IgG at 1/50000 dilution
Predicted band size: 83, 75, 71 kDa
Observed band size: 75 kDa -
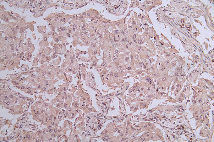
IHC image of CSB-PA005314LA01HU diluted at 1:100 and staining in paraffin-embedded human endometrial cancer performed on a Leica BondTM system. After dewaxing and hydration, antigen retrieval was mediated by high pressure in a citrate buffer (pH 6.0). Section was blocked with 10% normal goat serum 30min at RT. Then primary antibody (1% BSA) was incubated at 4°C overnight. The primary is detected by a Goat anti-rabbit polymer IgG labeled by HRP and visualized using 0.05% DAB.
-
Immunofluorescent analysis of HepG2 cells using CSB-PA005314LA01HU at dilution of 1:100 and Alexa Fluor 488-congugated AffiniPure Goat Anti-Rabbit IgG(H+L)
-
Western Blot
Positive WB detected in: Mouse Brain tissue lysate,Rat Brain tissue lysate
All lanes: CHAT antibody at 1:1000
Secondary
Goat polyclonal to rabbit IgG at 1/50000 dilution
Predicted band size: 47-83 kDa
Observed band size: 70 kDa
-
-
其他:
產品詳情
-
產品名稱:Rabbit anti-Homo sapiens (Human) CHAT Polyclonal antibody
-
Uniprot No.:
-
基因名:
-
別名:Acetyl CoA choline O acetyltransferase antibody; Acetyl CoA:choline O acetyltransferase antibody; ChAT antibody; CHOACTase antibody; Choline acetylase antibody; choline acetyltransferase antibody; Choline O acetyltransferase antibody; Choline O-acetyltransferase antibody; CLAT_HUMAN antibody; CMS1A antibody; CMS1A2 antibody; EC 2.3.1.6 antibody; OTTHUMP00000019583 antibody; OTTHUMP00000019584 antibody
-
宿主:Rabbit
-
反應種屬:Human, Mouse, Rat
-
免疫原:Synthesized peptide derived from human Choline O-acetyltransferase protein 735-748aa.
-
免疫原種屬:Homo sapiens (Human)
-
克隆類型:Polyclonal
-
抗體亞型:IgG
-
純化方式:Antigen affinity purification
-
濃度:It differs from different batches. Please contact us to confirm it.
-
保存緩沖液:Rabbit IgG in 10mM phosphate buffered saline,pH 7.4,150mM sodium chloride,0.05% BSA,0.02% sodium azide and 50% glycerol.
-
產品提供形式:Liquid
-
應用范圍:ELISA, WB, IHC, IF
-
推薦稀釋比:
Application Recommended Dilution WB 1:500-1:5000 IHC 1:20-1:200 IF 1:50-1:200 -
Protocols:
-
儲存條件:Upon receipt, store at -20°C or -80°C. Avoid repeated freeze.
-
貨期:Basically, we can dispatch the products out in 1-3 working days after receiving your orders. Delivery time maybe differs from different purchasing way or location, please kindly consult your local distributors for specific delivery time.
-
用途:For Research Use Only. Not for use in diagnostic or therapeutic procedures.
相關產品
靶點詳情
-
功能:Catalyzes the reversible synthesis of acetylcholine (ACh) from acetyl CoA and choline at cholinergic synapses.
-
基因功能參考文獻:
- the AA genotype of CHAT was associated with a 1.25 times higher risk of Alzheimer's disease (AD) thus demonstrating that the rs3810950 polymorphism can have a modest but statistically significant effect on the risk of AD in the Czech population PMID: 29759072
- Compared with the control group, the densitometric quantification and mean density of GPR43 and ChAT proteins, and expression of GPR43 and CHAT genes, were significantly decreased in the patients with mixed refractory constipation. PMID: 26921846
- meta-analysis suggested that rs1880670G/A, and rs2177369 G/A polymorphisms were not risk factors for Alzheimer's Disease. However, rs3810950G/A, or rs868750G/A genetic polymorphism was a genetic risk factor for the development of Alzheimer's Disease. PMID: 27390868
- Results suggest that SATB1 is activated to bind to chromatin at S/MARs after exposure to Abeta 1-42, resulting in alternative utilization and movement of 82-kDa ChAT to these regions demonstrating that both proteins play critical roles in the response of neural cells to acute Abeta-exposure. PMID: 27052102
- We conducted a meta-analysis of studies involving CHAT, TFAM, and VR22 polymorphisms and Alzheimer disease susceptibility.For CHAT, rs2177369 (G>A) in whites and rs3810950 (G>A) in Asians were found to be associated with AD susceptibility. No association was detected between rs1880676 and rs868750 and AD risk. PMID: 27272392
- In conclusion, our meta-analysis indicated CHAT rs2177369 polymorphism might play a protective role in AD, while rs3810950 variant was a risk factor for AD but its single heterozygous mutations might not influence susceptibility to AD. PMID: 27597977
- Two novel CHAT gene mutations, p.Val306Leu and p.Ser704del were detected in an ethnic Kadazandusan family with congenital myasthenic syndrome. PMID: 26789281
- sequence variants of CHAT were associated with human cognitive ability in not only patients with psychiatric disorders but also normal healthy individuals PMID: 26854842
- There is a striking variability in the severity of phenotypes resulting from mutations in CHAT, which is the only gene so far known to be linked with congenital deficiency of ACh synthesis. PMID: 26080897
- Data show thata the expression of choline acetyltransferase (ChAT) is reduced in the postmortem alcoholic basal forebrain in comparison to moderate drinking controls. PMID: 25405505
- This study confirmed that genetic polymorphism of CHAT has an influence on drug response in Alzheimer's disease. PMID: 25730470
- These studies indicate a novel relationship between cholinergic neurons and APP processing, with 82-kDa ChAT acting as a negative regulator of Abeta production PMID: 24844149
- The results demonstrate that human NSCs over-expressing ChAT improve cognitive function and physical activity of aging mice. PMID: 23731954
- rs1880676 is functional and the allelic variations of this polymorphism are involved in developing nicotine dependence by altering ChAT expression. PMID: 24076142
- There was a loss of choline O-acetyltransferase in the visual cortex of dementia with Lewy bodies patients. PMID: 23242284
- There were CHAT mRNA reactions in the synovial lining layer in patients with rheumatoid arthritis and osteoarthritis. PMID: 22483691
- In airway epithelial cells anti-CHAT immunogold was found particularly within the apical cell membrane, cilia, submucosa, cytosol and nuclear membrane. PMID: 22683430
- Data from transgenic mice expressing human CHAT in brain neurons suggest that CHAT is important in maintaining memory and learning throughout life. PMID: 22449376
- [review] The peripheral type of ChAT appears to be a reliable marker for the visualization of peripheral cholinergic neurons and their processes, whereas other conventional markers including the common ChAT have not been used successfully for it. PMID: 21382474
- The CHAT A/A genotype was associated with earlier onset of Alzheimer disease. PMID: 21602657
- the functional consequences of 12 missense and one nonsense mutations of CHAT in 11 patients. ( choline acetyltransferase) PMID: 21786365
- Multiple abnormalities with intellectual and developmental disability result from recurrent deletions and reciprocal duplications of 10q11.21q11.23 including CHAT and SLC18A3. PMID: 21948486
- The ChAT rs3810950 A allele was found to be associated with a decrease cognitive status evaluated by a five-component cognitive composite score PMID: 21883924
- Multiple sclerosis hippocampus, activity and protein expression of choline acetyltransferase (ChAT), the acetylcholine synthesizing enzyme, was decreased, while the activity and protein expression of acetylcholinesterase PMID: 21691765
- The data of this study did not seem to support a major role for CHAT genetic variation in geriatric depression and Alzheimer's disease , there might be a minor contribution in geriatric patients with depression. PMID: 21507424
- overexpressed ChAT enhanced transcription of the CHT1 gene but not the VACHT gene PMID: 21163949
- residues M84, Y436, and Y552 play a critical role in binding and holding the choline substrate in the ChAT active site. PMID: 20560540
- Although the effect sizes in both cohorts are modest, converging data across cohorts and phenotypes suggest that ChAT may be involved in nicotine dependence and ability to quit smoking. PMID: 20147892
- Replication and association of CHAT with nicotine dependence in European and African American smokers are reported. PMID: 20383528
- the acquisition of neurotransmitter phenotype is epigenetically, at least the hyper-acetylation on the core promoter region of ChAT gene, regulated in NG108-15 neuronal cells PMID: 20100532
- Results suggest that c-Myb and C/EBPbeta act synergistically to increase choline acetyltransferase gene transcription in the nervous system. PMID: 12393272
- A G-to-A polymorphism detected in the first coding exon of the ChAT sequence may result in attenuated translation efficiency of ChAT mRNA and confer an increased risk for deterioration of memory and cognition functions in Alzheimer's disease. PMID: 12401548
- we identified a novel missense mutation (I336T) in the CHAT gene homozygously in all three patients. Haplotype analysis revealed that the mutant allele cosegregates with the clinical phenotype in both families. PMID: 12609506
- the wide existence of ChAT in human endothelial cells PMID: 12628465
- identification of a novel nuclear localization signal common to 69- and 82-kDa isoforms PMID: 12637523
- Levels of linkage disequilibrium were generally low across the CHAT locus but two of the coding variants, D7N and A120T, proved to be in complete linkage disequilibrium (late-onset Alzheimer disease). PMID: 12759818
- previously identified polymorphism in choline acetyltransferase is not associated with Alzheimer's disease PMID: 12770689
- Choline acetyltransferase neurons in the human parietal neocortex, strongly supports the existence of intrinsic cholinergic innervation of the human neocortex PMID: 14514417
- ChAT is differentially phosphorylated by protein kinase C isoforms on four serines (Ser-440, Ser-346, Ser-347, and Ser-476) and one threonine (Thr-255) PMID: 15381704
- These findings show that significant thalamic presynaptic cholinergic deficits occur only in cases of combined cortical and subcortical neurodegeneration in which dementia developed after prolonged parkinsonism. PMID: 15913843
- one SNP, rs733722, in a promoter region of CHAT, is associated with response of AD patients to cholinesterase inhibitors PMID: 16424819
- No relationship between pattern of cholinergic deficits and distribution pattern of lesions in amygdala of patients with Alzheimer's disease or dementia with Lewy bodies. PMID: 16468020
- There is considerable effect of the ChAT polymorphisms on Alzheimer's disease in Korean population and this effect is dependent on apolipoprotein E genotypes PMID: 16480703
- Structure of human ChAT to a resolution of 2.2 A along with structures for binary complexes of ChAT with choline, coenzyme A and a nonhydrolyzable acetyl-CoA analogue. PMID: 17144655
- This multiplex PCR technique can be carried out in a single tube and can differentiate between the three polymorphic sites of this gene associated with Alzheimer's disease. PMID: 17378730
- ChAT, polymorphisms do not constitute a major genetic risk factor for susceptibility to Alzheimer's disease in a Sardinian population. PMID: 17503475
- findings tentatively implicate a genetic influence of ChAt in the disorder's susceptibility. PMID: 17503482
- From a panel of 59 single-nucleotide polymorphisms (SNPs) located on 11 candidate genes, we identify four SNPs (one each on CHRNA5 and CHRNA2 and two on CHAT) that appear to have pharmacogenetic relevance in smokin cessation therapy. PMID: 18165968
- Alzheimer's disease nucleus basalis forebrain neurons, hyperinnervated by galanin, displays a significant upregulation in choline acetyltransferase. PMID: 18322398
- These results indicate that basal forebrain cholinergic neuron abnormalities are present very early in aging and in the course of Alzheimer disease. PMID: 18379437
顯示更多
收起更多
-
相關疾病:Myasthenic syndrome, congenital, 6, presynaptic (CMS6)
-
蛋白家族:Carnitine/choline acetyltransferase family
-
數據庫鏈接:
Most popular with customers
-
-
YWHAB Recombinant Monoclonal Antibody
Applications: ELISA, WB, IHC, IF, FC
Species Reactivity: Human, Mouse, Rat
-
Phospho-YAP1 (S127) Recombinant Monoclonal Antibody
Applications: ELISA, WB, IHC
Species Reactivity: Human
-
-
-
-
-















