CEP63 Antibody
-
中文名稱:CEP63兔多克隆抗體
-
貨號:CSB-PA839376LA01HU
-
規格:¥440
-
圖片:
-
Western blot
All lanes: CEP63 antibody at 12µg/ml
Lane 1: K562 whole cell lysate
Lane 2: Hela whole cell lysate
Lane 3: NIH/3T3 whole cell lysate
Lane 4: Raji whole cell lysate
Secondary
Goat polyclonal to rabbit IgG at 1/10000 dilution
Predicted band size: 82, 64, 58, 56 kDa
Observed band size: 64 kDa -
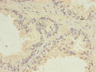
Immunohistochemistry of paraffin-embedded human prostate cancer using CSB-PA839376LA01HU at dilution of 1:100
-
-
其他:
產品詳情
-
產品名稱:Rabbit anti-Homo sapiens (Human) CEP63 Polyclonal antibody
-
Uniprot No.:
-
基因名:CEP63
-
別名:CEP63Centrosomal protein of 63 kDa antibody; Cep63 antibody
-
宿主:Rabbit
-
反應種屬:Human, Mouse
-
免疫原:Recombinant Human Centrosomal protein of 63 kDa protein (1-495AA)
-
免疫原種屬:Homo sapiens (Human)
-
標記方式:Non-conjugated
本頁面中的產品,CEP63 Antibody (CSB-PA839376LA01HU),的標記方式是Non-conjugated。對于CEP63 Antibody,我們還提供其他標記。見下表:
-
克隆類型:Polyclonal
-
抗體亞型:IgG
-
純化方式:>95%, Protein G purified
-
濃度:It differs from different batches. Please contact us to confirm it.
-
保存緩沖液:Preservative: 0.03% Proclin 300
Constituents: 50% Glycerol, 0.01M PBS, PH 7.4 -
產品提供形式:Liquid
-
應用范圍:ELISA, WB, IHC
-
推薦稀釋比:
Application Recommended Dilution WB 1:500-1:2000 IHC 1:20-1:200 -
Protocols:
-
儲存條件:Upon receipt, store at -20°C or -80°C. Avoid repeated freeze.
-
貨期:Basically, we can dispatch the products out in 1-3 working days after receiving your orders. Delivery time maybe differs from different purchasing way or location, please kindly consult your local distributors for specific delivery time.
-
用途:For Research Use Only. Not for use in diagnostic or therapeutic procedures.
相關產品
靶點詳情
-
功能:Required for normal spindle assembly. Plays a key role in mother-centriole-dependent centriole duplication; the function seems also to involve CEP152, CDK5RAP2 and WDR62 through a stepwise assembled complex at the centrosome that recruits CDK2 required for centriole duplication. Reported to be required for centrosomal recruitment of CEP152; however, this function has been questioned. Also recruits CDK1 to centrosomes. Plays a role in DNA damage response. Following DNA damage, such as double-strand breaks (DSBs), is removed from centrosomes; this leads to the inactivation of spindle assembly and delay in mitotic progression.
-
基因功能參考文獻:
- CEP63 is particularly important for brain development and might control the proliferation and migration of cells when those two events need to be highly coordinated. PMID: 26400686
- centrosomal Cdk1 signals were strongly diminished in cells treated with Cep63 siRNA when sc-54 was used for Cdk1 labeling PMID: 25643699
- both mouse and human Cep63 and Cep152 cooperate to ensure efficient centriole duplication by promoting the accumulation of essential centriole duplication factors upstream of SAS-6 recruitment and procentriole formation. PMID: 23936128
- Cep57, Cep63, and Cep152 are parts of a ring-like complex localizing around the proximal end of centrioles. PMID: 23333316
- One new SNP (rs112926188) in CEP63O was reported. Analysis showed that rs112926188 allele substituting proline at the 61st residue position of CEP63 produced more flexibility in three-deimensional space. PMID: 22555018
- Findings define Cep63 as a centrosomal recruitment factor for Cdk1 that is essential for mitotic entry, providing a physical link between the centrosome and the cell-cycle machinery. PMID: 21406398
- CEP63 transcripts exhibited three different expression patterns, downregulation was found in about 50% of the cases analyzed and CEP63 gene transcription was associated with invasive tumors. PMID: 16410684
顯示更多
收起更多
-
相關疾病:Seckel syndrome 6 (SCKL6)
-
亞細胞定位:Cytoplasm, cytoskeleton, microtubule organizing center, centrosome. Cytoplasm, cytoskeleton, microtubule organizing center, centrosome, centriole. Cytoplasm, cytoskeleton, microtubule organizing center, centrosome, centriolar satellite.
-
蛋白家族:CEP63 family
-
數據庫鏈接:
Most popular with customers
-
-
Phospho-YAP1 (S127) Recombinant Monoclonal Antibody
Applications: ELISA, WB, IHC
Species Reactivity: Human
-
-
-
-
-
-















