CENPQ Antibody
-
中文名稱:CENPQ兔多克隆抗體
-
貨號:CSB-PA005220ESR2HU
-
規格:¥440
-
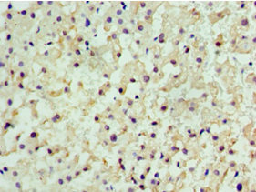
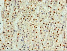
圖片:
-
其他:
產品詳情
-
產品名稱:Rabbit anti-Homo sapiens (Human) CENPQ Polyclonal antibody
-
Uniprot No.:
-
基因名:CENPQ
-
別名:CENP Q antibody; CENP-Q antibody; Cenpq antibody; CENPQ_HUMAN antibody; Centromere protein Q antibody; FLJ10545 antibody; OTTHUMP00000016579 antibody
-
宿主:Rabbit
-
反應種屬:Human
-
免疫原:Recombinant Human Centromere protein Q protein (131-268AA)
-
免疫原種屬:Homo sapiens (Human)
-
標記方式:Non-conjugated
-
克隆類型:Polyclonal
-
抗體亞型:IgG
-
純化方式:Antigen Affinity Purified
-
濃度:It differs from different batches. Please contact us to confirm it.
-
保存緩沖液:PBS with 0.02% sodium azide, 50% glycerol, pH7.3.
-
產品提供形式:Liquid
-
應用范圍:ELISA, IHC
-
推薦稀釋比:
Application Recommended Dilution IHC 1:20-1:200 -
Protocols:
-
儲存條件:Upon receipt, store at -20°C or -80°C. Avoid repeated freeze.
-
貨期:Basically, we can dispatch the products out in 1-3 working days after receiving your orders. Delivery time maybe differs from different purchasing way or location, please kindly consult your local distributors for specific delivery time.
-
用途:For Research Use Only. Not for use in diagnostic or therapeutic procedures.
相關產品
靶點詳情
-
功能:Component of the CENPA-CAD (nucleosome distal) complex, a complex recruited to centromeres which is involved in assembly of kinetochore proteins, mitotic progression and chromosome segregation. May be involved in incorporation of newly synthesized CENPA into centromeres via its interaction with the CENPA-NAC complex. Plays an important role in chromosome congression and in the recruitment of CENP-O complex (which comprises CENPO, CENPP, CENPQ and CENPU), CENPE and PLK1 to the kinetochores.
-
基因功能參考文獻:
- CENP-Q - a subunit of the CENP-O complex (comprising CENP-O, CENP-P, CENP-Q and CENP-U) that targets polo-like kinase (Plk1) to kinetochores - is also required for the recruitment of CENP-E to kinetochores. PMID: 25395579
- Plk1 regulates the timing of the delocalization and ultimate destruction of the PBIP1.CENP-Q complex. PMID: 25670858
- Data propose that CENP-P/O/R/Q/U self-assembles on kinetochores with varying stoichiometry and undergoes a pre-mitotic maturation step that could be important for kinetochores switching into the correct conformation for microtubule-attachment. PMID: 23028590
- Mammalian polo-like kinase 1-dependent regulation of the PBIP1-CENP-Q complex at kinetochores. PMID: 21454580
-
亞細胞定位:Nucleus. Chromosome, centromere. Note=Localizes exclusively in the centromeres. The CENPA-CAD complex is probably recruited on centromeres by the CENPA-NAC complex.
-
蛋白家族:CENP-Q/OKP1 family
-
數據庫鏈接:
Most popular with customers
-
-
YWHAB Recombinant Monoclonal Antibody
Applications: ELISA, WB, IHC, IF, FC
Species Reactivity: Human, Mouse, Rat
-
Phospho-YAP1 (S127) Recombinant Monoclonal Antibody
Applications: ELISA, WB, IHC
Species Reactivity: Human
-
-
-
-
-















