CDR2 Antibody
-
中文名稱:CDR2兔多克隆抗體
-
貨號:CSB-PA283856
-
規格:¥1100
-
圖片:
-
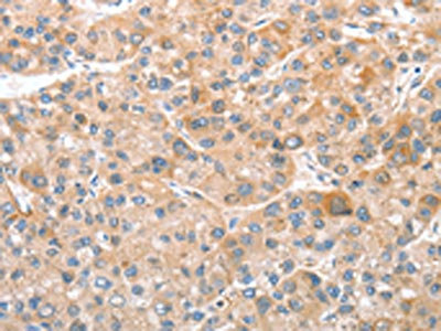
The image on the left is immunohistochemistry of paraffin-embedded Human thyroid cancer tissue using CSB-PA283856(CDR2 Antibody) at dilution 1/30, on the right is treated with fusion protein. (Original magnification: ×200)
-
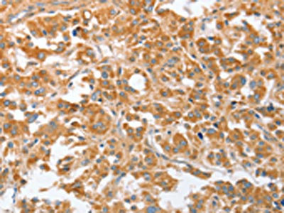
The image on the left is immunohistochemistry of paraffin-embedded Human liver cancer tissue using CSB-PA283856(CDR2 Antibody) at dilution 1/30, on the right is treated with fusion protein. (Original magnification: ×200)
-
-
其他:
產品詳情
-
Uniprot No.:
-
基因名:CDR2
-
別名:AA617262 antibody; CDR 2 antibody; CDR 62 antibody; CDR2 antibody; CDR2_HUMAN antibody; CDR62 antibody; Cerebellar degeneration related protein 2 62kDa antibody; Cerebellar degeneration related protein 2 antibody; Cerebellar degeneration related protein antibody; Cerebellar degeneration-related protein 2 antibody; Major Yo paraneoplastic antigen antibody; MGC116181 antibody; MGC144810 antibody; MGC144811 antibody; Paraneoplastic cerebellar degeneration associated antigen antibody; Paraneoplastic cerebellar degeneration-associated antigen antibody; PCD 17 antibody; PCD17 antibody; RGD1310578 antibody; Yo antibody; Yo paraneoplastic antigen antibody
-
宿主:Rabbit
-
反應種屬:Human,Mouse
-
免疫原:Fusion protein of Human CDR2
-
免疫原種屬:Homo sapiens (Human)
-
標記方式:Non-conjugated
-
抗體亞型:IgG
-
純化方式:Antigen affinity purification
-
濃度:It differs from different batches. Please contact us to confirm it.
-
保存緩沖液:-20°C, pH7.4 PBS, 0.05% NaN3, 40% Glycerol
-
產品提供形式:Liquid
-
應用范圍:ELISA,IHC
-
推薦稀釋比:
Application Recommended Dilution ELISA 1:1000-1:2000 IHC 1:25-1:100 -
Protocols:
-
儲存條件:Upon receipt, store at -20°C or -80°C. Avoid repeated freeze.
-
貨期:Basically, we can dispatch the products out in 1-3 working days after receiving your orders. Delivery time maybe differs from different purchasing way or location, please kindly consult your local distributors for specific delivery time.
-
用途:For Research Use Only. Not for use in diagnostic or therapeutic procedures.
相關產品
Most popular with customers
-
YWHAB Recombinant Monoclonal Antibody
Applications: ELISA, WB, IHC, IF, FC
Species Reactivity: Human, Mouse, Rat
-
Phospho-YAP1 (S127) Recombinant Monoclonal Antibody
Applications: ELISA, WB, IHC
Species Reactivity: Human
-
-
-
-
-
-















