CDKN2A Antibody
-
中文名稱:CDKN2A兔多克隆抗體
-
貨號:CSB-PA233193
-
規格:¥1100
-
圖片:
-
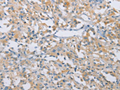
The image on the left is immunohistochemistry of paraffin-embedded Human gastic cancer tissue using CSB-PA233193(CDKN2A Antibody) at dilution 1/50, on the right is treated with synthetic peptide. (Original magnification: ×200)
-
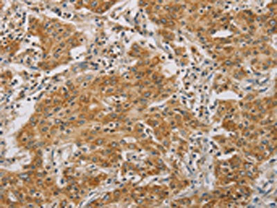
The image on the left is immunohistochemistry of paraffin-embedded Human thyroid cancer tissue using CSB-PA233193(CDKN2A Antibody) at dilution 1/50, on the right is treated with synthetic peptide. (Original magnification: ×200)
-
-
其他:
產品詳情
-
Uniprot No.:
-
基因名:
-
別名:CDKN2A antibody; CDKN2 antibody; MTS1 antibody; Cyclin-dependent kinase inhibitor 2A antibody; Cyclin-dependent kinase 4 inhibitor A antibody; CDK4I antibody; Multiple tumor suppressor 1 antibody; MTS-1 antibody; p16-INK4a antibody; p16-INK4 antibody; p16INK4A antibody
-
宿主:Rabbit
-
反應種屬:Human
-
免疫原:Synthetic peptide of Human CDKN2A
-
免疫原種屬:Homo sapiens (Human)
-
標記方式:Non-conjugated
-
抗體亞型:IgG
-
純化方式:Antigen affinity purification
-
濃度:It differs from different batches. Please contact us to confirm it.
-
保存緩沖液:-20°C, pH7.4 PBS, 0.05% NaN3, 40% Glycerol
-
產品提供形式:Liquid
-
應用范圍:ELISA,IHC
-
推薦稀釋比:
Application Recommended Dilution ELISA 1:1000-1:5000 IHC 1:50-1:200 -
Protocols:
-
儲存條件:Upon receipt, store at -20°C or -80°C. Avoid repeated freeze.
-
貨期:Basically, we can dispatch the products out in 1-3 working days after receiving your orders. Delivery time maybe differs from different purchasing way or location, please kindly consult your local distributors for specific delivery time.
-
用途:For Research Use Only. Not for use in diagnostic or therapeutic procedures.
相關產品
靶點詳情
-
功能:Acts as a negative regulator of the proliferation of normal cells by interacting strongly with CDK4 and CDK6. This inhibits their ability to interact with cyclins D and to phosphorylate the retinoblastoma protein.
-
基因功能參考文獻:
- Increased expression of epithelial and stromal p16(CDKN2A) in all grades of cervical intraepithelial neoplasia and cancer PMID: 30059872
- Data indicate a cell regulatory mechanism through which lysine-specific demethylase 2B (KDM2B) promotes triple negative breast cancer (TNBC) cell proliferation by binding to the promoters of cell cycle inhibitors p15INK4B, p16INK4A, and p57KIP2. PMID: 30060056
- results suggest that lower P16(INK4A) expression associated with highercancer stem cells (CSCs) markers predicts poor prognostic outcomes and is a promising target in patients with cervical cancer. PMID: 30150594
- In this review, we discuss recent findings on the regulation of p16-INK4a by covalent modifications at both transcriptional and post-translational levels. PMID: 30482142
- Knockdown of cyclin dependent kinase inhibitor 2A (p16INK4A) in cardiac stem/progenitor cell (hCPC) reverses the senescent phenotype and has an antioxidant effect on aging hCPCs via NF-KAPPA B (NF-kB) signaling. PMID: 29675777
- CDKN2A methylation is involved in the carcinogenesis, progression, and metastasis of head and neck squamous cell carcinoma; could be a potential diagnostic and prognostic biomarker (Meta-Analysis) PMID: 30355925
- CDKN2A overexpression was cell-type dependent in adenoid cystic carcinoma in the lacrimal gland, while HPV infection was negative. PMID: 29430168
- Study reveals the novel function of NOX4 in reprogramming aerobic glycolysis initiated by activated Kras and inactivated p16 in pancreatic ductal adenocarcinoma. PMID: 28232723
- we were able to document the loss of p16 protein expression and CDKN2A gene aberrancy in a subset of conventional and fibrosarcomatous dermatofibrosarcoma protuberans cases PMID: 29743142
- ARF is a tumor suppressor protein that has a pivotal role in the prevention of cancer development through regulating cell proliferation, senescence, and apoptosis. As a factor that induces senescence, the role of ARF as a tumor suppressor is closely linked to the p53-MDM2 axis, which is a key process that restrains tumor formation. Review. PMID: 29665672
- p16/Ki-67 dual immunostaining had comparable sensitivity and improved specificity in screening high-grade cervical intraepithelial neoplasm (HGCIN) or CC when compared with hrHPV detection. Further studies may be beneficial to assess the efficacy of this novel biomarker, which can be potentially used as one of the initial screening assays. PMID: 30249873
- Findings outlined in the current study demonstrated that the inhibition of P16 decreased the growth and metastasis potential of BC cells by inhibiting IL-6/JAK2/STAT3 signaling. PMID: 29388151
- Loss of P14ARF expression is associated with small intestinal adenocarcinoma. PMID: 30375264
- These results...suggest that nucleolar p14ARF can be used as early prognostic marker in chronic liver disease to reliably identify patients with high risk for developing liver cancer PMID: 29228217
- a antagonizing mechanism coordinating Arg 138 methylation and Ser 140 phosphorylation to regulates p16 function as well as cellular apoptosis and senescence. PMID: 28120917
- The aim of this study was to investigate the expression of p16 and SATB1 proteins in regard to expression of the Ki-67 antigen and available clinicopathological data (i.a. receptor status, staging and grading PMID: 29936452
- rognostic impact of p16 can be emphasized in a subgroup of oropharyngeal squamous cell carcinoma (OSCC) patients undergoing surgery. Surgery with sufficient surgical margin may be chosen as the first treatment for HPV-negative OSCC in some cases PMID: 29936482
- Low P16INK4A expression is associated with laryngeal squamous cell carcinomas. PMID: 30275203
- These results confirm that CDKN2A is a tumor suppressor gene driving human cancer development by inducing cell aneuploidy and cell cycle up-regulation PMID: 30136875
- This study demonstrated that p16/Ki-67 dual staining represents an effective method for cervical cancer screening. Application of this method could lead to a reduction of unnecessary colposcopy referrals and misdiagnosis. PMID: 29758205
- Non-significant association was seen in the two single nucleotide polymorphisms (SNPs) of CDKAL1 (rs7754840) and CDKN2A/2B (rs10811661) with gestational diabetes mellitus (GDM). PMID: 29544538
- In conclusion, this meta-analysis showed that decreased p16(INK4a) expression is associated with lower overall survival rate in patients with STS, and it is an effective biomarker of prognosis. PMID: 29798963
- CDKN2A mutation carriers presented more atypical naevi, multiple melanomas, and basal cell carcinoma. PMID: 29405243
- hsa_circ_0014717 acts as a potential tumor suppressor that inhibits colorectal cancer growth, partly at least, through upregulating p16 expression. PMID: 29571246
- Anti-E2, -L1, and -p16(INK4A) antibodies in sera were determined by western blot. Among 116 samples, 69 (60%) were HPV DNA-positive. Percentages seropositive for anti-E2, -L1, and -p16(INK4A) antibodies were 39.6, 22.4, and 23.3%, respectively. PMID: 29744680
- p16 represents a useful supplementary marker for diagnosis of SCLC, even in cases where only cytological material is available PMID: 29566943
- this study shows that basaloid squamous cell carcinoma and basal cell carcinoma of the head and neck can be readily distinguished by a limited panel consisting primarily of EMA, and supported by SOX2 and p16 PMID: 27438511
- p16 IHC is an independent prognostic biomarker in pleural mesothelioma PMID: 28889523
- It plays a role for small intestine-specific gene regulation and alterations of the CDKN2A/CDKN2B locus could affect the pathophysiology of inflammatory bowel disease. PMID: 29063720
- p16/Ki-67 dual staining can increase the efficiency of screening methods for cervical cancer. PMID: 29895125
- The methylation of the p16 gene promoter could significantly reduce p16 expression, losing its tumor suppressor activity and promoting the development of cervical cancer. PMID: 28617556
- Co-administration of VOR did not increase the overall response rate (P = 0.84) or overall survival (OS; P = 0.32). Specifically, no benefit was identified in either de novo or relapsed AML. Mutations in the genes CDKN2A (P = 0.0001), IDH1 (P = 0.004), and TP53 (P = 0.003) were associated with reduced OS PMID: 28765326
- The increased expression of p16ink4a may affect the activity of Wnt/betacatenin signaling through modulation of the expression of betacatenin. PMID: 29207089
- Alterations in chromatin-remodeling genes and CDKN2A contribute to metastasis of pancreatic neuroendocrine tumors. PMID: 29486199
- data suggest that a P16-dependent pathway drives the induction of cellular senescence in dental follicle cells. PMID: 28770470
- rs2518719 is a pleiotropic CDKN2A variant associated with the risk of developing pancreatic neuroendocrine tumors PMID: 28008994
- Hypermethylation of p14 appears to be an important event in the development of mucoepidermoid carcinoma. High frequency of gene hypermethylation and high incidence of methylation at multiple sites point to the importance of epigenetic phenomena in the pathogenesis of MECs, although with modest impact on clinical parameters. PMID: 29079368
- perinatal methylation at CDKN2A is associated with childhood bone development. PMID: 28419547
- Final follow-up showed 45 cases of spontaneous lesion regression and 42 cases of persistence with absence of protein p164NK4a in all of them PMID: 29787011
- CDKN2A/p16 frequently alters in oral cancer progression with a deletion/loss of function in the recurrent cases displaying its role in aiding several molecular events for the malignant transformations occurring throughout disease progression PMID: 28939073
- Data suggest that stromal cyclin-dependent kinase inhibitor p16 (p16) expression is involved in the development and progression of gastric-type mucinous carcinoma (MC-G). PMID: 29848709
- Report p16 immunohistochemistry in oropharyngeal squamous cell carcinoma and high-risk human papillomavirus RNA status. PMID: 28621317
- CDKN2A/B locus SNPs may impact type 2 diabetes risk by modulating islet gene expression and beta-cell proliferation. PMID: 29432124
- miR663 is upregulated in the serum of patients with NPC and NPC cells, and may promote the proliferation and cell cycle progression of NPC cells, at least in part through direct targeting of CDKN2A. PMID: 28765905
- Studied CDKN2A/B gene variants and association with increased risk of breast cancer; results show a correlation between the genetic polymorphism, rs10811661, in CDKN2A/B gene and breast cancer. PMID: 28276595
- p16 inhibits tenogenic differentiation of tendon stem/progenitor cells via microRNA signaling pathways. PMID: 29036495
- Oncogenic signaling induces ARF, and ARF further promotes p53 activation to inhibit proliferation. PMID: 28484034
- Data show that p16(INK4a) mRNA expression level was significantly negatively associated with handgrip strength in men but not in women. PMID: 27549351
- Significant immunoreactivity for p16(INK4a) was present in about one-fifth of the samples and figured as a surrogate marker of high-risk human papillomavirus infection in squamous cell carcinoma of the nasal vestibule. PMID: 28371015
- The p16-/HPV L1- pattern was significantly associated with the regression of CIN1. Moving from cervical intraepithelial neoplasia 1 (CIN1) to CIN2+ over time, p16+/HPV L1+ decreased, and p16+/HPV L1- increased. PMID: 28277314
顯示更多
收起更多
-
相關疾病:Melanoma, cutaneous malignant 2 (CMM2); Familial atypical multiple mole melanoma-pancreatic carcinoma syndrome (FAMMMPC); Melanoma-astrocytoma syndrome (MASTS)
-
亞細胞定位:Cytoplasm. Nucleus.
-
蛋白家族:CDKN2 cyclin-dependent kinase inhibitor family
-
組織特異性:Widely expressed but not detected in brain or skeletal muscle. Isoform 3 is pancreas-specific.
-
數據庫鏈接:
Most popular with customers
-
-
YWHAB Recombinant Monoclonal Antibody
Applications: ELISA, WB, IHC, IF, FC
Species Reactivity: Human, Mouse, Rat
-
Phospho-YAP1 (S127) Recombinant Monoclonal Antibody
Applications: ELISA, WB, IHC
Species Reactivity: Human
-
-
-
-
-















