CDK5RAP3 Antibody
-
中文名稱:CDK5RAP3兔多克隆抗體
-
貨號:CSB-PA986354
-
規格:¥1100
-
圖片:
-
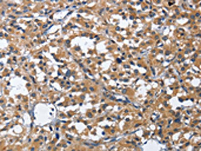
The image on the left is immunohistochemistry of paraffin-embedded Human thyroid cancer tissue using CSB-PA986354(CDK5RAP3 Antibody) at dilution 1/40, on the right is treated with fusion protein. (Original magnification: ×200)
-
The image on the left is immunohistochemistry of paraffin-embedded Human colon cancer tissue using CSB-PA986354(CDK5RAP3 Antibody) at dilution 1/40, on the right is treated with fusion protein. (Original magnification: ×200)
-
Gel: 6%SDS-PAGE, Lysate: 40 μg, Lane 1-2: Human brain malignant glioma tissue, Human bladder carcinoma tissue, Primary antibody: CSB-PA986354(CDK5RAP3 Antibody) at dilution 1/449, Secondary antibody: Goat anti rabbit IgG at 1/8000 dilution, Exposure time: 40 seconds
-
-
其他:
產品詳情
-
Uniprot No.:
-
基因名:CDK5RAP3
-
別名:C53 antibody; CDK5 activator binding protein C53 antibody; CDK5 activator-binding protein C53 antibody; CDK5 regulatory subunit associated protein 3 antibody; CDK5 regulatory subunit-associated protein 3 antibody; Cdk5rap3 antibody; CK5P3_HUMAN antibody; HSF 27 antibody; HSF27 antibody; IC53 antibody; Ischemic heart CDK5 activator binding protein C53 antibody; LXXLL/leucine zipper containing ARFbinding protein antibody; LZAP antibody; MST016 antibody; OK/SW cl.114 antibody; PP1553 antibody; Protein HSF-27 antibody
-
宿主:Rabbit
-
反應種屬:Human,Mouse,Rat
-
免疫原:Fusion protein of Human CDK5RAP3
-
免疫原種屬:Homo sapiens (Human)
-
標記方式:Non-conjugated
-
抗體亞型:IgG
-
純化方式:Antigen affinity purification
-
濃度:It differs from different batches. Please contact us to confirm it.
-
保存緩沖液:-20°C, pH7.4 PBS, 0.05% NaN3, 40% Glycerol
-
產品提供形式:Liquid
-
應用范圍:ELISA,WB,IHC
-
推薦稀釋比:
Application Recommended Dilution ELISA 1:2000-1:5000 WB 1:500-1:2000 IHC 1:25-1:100 -
Protocols:
-
儲存條件:Upon receipt, store at -20°C or -80°C. Avoid repeated freeze.
-
貨期:Basically, we can dispatch the products out in 1-3 working days after receiving your orders. Delivery time maybe differs from different purchasing way or location, please kindly consult your local distributors for specific delivery time.
-
用途:For Research Use Only. Not for use in diagnostic or therapeutic procedures.
相關產品
靶點詳情
-
功能:Substrate adapter for ufmylation, the covalent attachment of the ubiquitin-like modifier UFM1 to substrate proteins, in response to endoplasmic reticulum stress. Negatively regulates NF-kappa-B-mediated gene transcription through the control of RELA phosphorylation. Probable tumor suppressor initially identified as a CDK5R1 interactor controlling cell proliferation. Also regulates mitotic G2/M transition checkpoint and mitotic G2 DNA damage checkpoint. Through its interaction with CDKN2A/ARF and MDM2 may induce MDM2-dependent p53/TP53 ubiquitination, stabilization and activation in the nucleus, thereby promoting G1 cell cycle arrest and inhibition of cell proliferation. May also play a role in the rupture of the nuclear envelope during apoptosis. May regulate MAPK14 activity by regulating its dephosphorylation by PPM1D/WIP1. Required for liver development.; (Microbial infection) May be negatively regulated by hepatitis B virus large envelope protein mutant pre-s2 to promote mitotic entry.
-
基因功能參考文獻:
- CDK5RAP3 negatively regulates the beta-catenin signaling pathway by repressing GSK-3beta phosphorylation in gastric neoplasms. PMID: 27793695
- C53/LZAP protein bound indirectly to the microtubule (MT), and expression of the C53/LZAP cleavage product caused abnormal MT bundling and NE rupture. PMID: 23478299
- our findings provide the new evidence that overexpression of CDK5RAP3 promotes HCC metastasis via downregulation of p14(ARF). PMID: 22860085
- LZAP may play an important role in hepatocellular carcinoma progression PMID: 22028922
- our results strongly suggest that the binding of hepatitis viral pre-S2 LHBs with C53 is a novel negative regulator of the checkpoint response PMID: 21971960
- Data indicate that IC53 is a positive mediator for colon cancer progression, and IC53-rs2737 may serve as protection from the onset of colorectal cancer. PMID: 21394385
- Nuclear gamma-tubulin interacts with tumor suppressor protein C53 that is involved in regulation of DNA damage PMID: 21465471
- the ability of LZAP to alter p38 phosphorylation depended, at least partially, on the p38 phosphatase, Wip1 PMID: 21283629
- Findings reveal that CDK5RAP3 is widely overexpressed in hepatocellular carcinoma and that overexpression of CDK5RAP3 promotes HCC metastasis through PAK4 activation. PMID: 21385901
- IC53 is a novel gene, mainly expressed in vascular endothelial cells and mediates cell proliferation PMID: 12054757
- results strongly indicate that in response to genotoxic stress, Cdk5 activator-binding protein C53(C53) serves as an important regulatory component of DNA damage checkpoint through modulating cyclin dependent kinase 1-cyclin B1 function PMID: 15790566
- It is suggested that LZAP can regulate ARF biochemical and biological activity; additionally, LZAP has p53-dependent cell-cycle effects that are independent of ARF. PMID: 16173922
- it is concluded that CDK5RAP3, CCNB2, and RAGE genes may be used as a very reliable biomarkers of lung adenocarcinoma PMID: 17549666
- LZAP has a role in NF-kappaB regulation and tumor suppression. PMID: 17785205
- CDK5 regulatory subunit associated protein 3 promotes checkpoint kinase 1 activation and mitotic entry in both unperturbed cell-cycle progression and DNA damage response. PMID: 19223857
- Endothelium-specific overexpression of human IC53 downregulates endothelial nitric oxide synthase activity and elevates systolic blood pressure in mice. PMID: 19541669
顯示更多
收起更多
-
亞細胞定位:Nucleus. Cytoplasm. Cytoplasm, cytoskeleton, microtubule organizing center, centrosome.
-
蛋白家族:CDK5RAP3 family
-
組織特異性:Ubiquitously expressed. Expressed in heart, brain, placenta, lung, liver, skeletal muscle, kidney and pancreas. Isoform 3 is expressed in kidney, liver, skeletal muscle and placenta.
-
數據庫鏈接:
Most popular with customers
-
-
YWHAB Recombinant Monoclonal Antibody
Applications: ELISA, WB, IHC, IF, FC
Species Reactivity: Human, Mouse, Rat
-
Phospho-YAP1 (S127) Recombinant Monoclonal Antibody
Applications: ELISA, WB, IHC
Species Reactivity: Human
-
-
-
-
-















