CDK5 Antibody
-
中文名稱:CDK5兔多克隆抗體
-
貨號:CSB-PA280305
-
規格:¥1100
-
圖片:
-
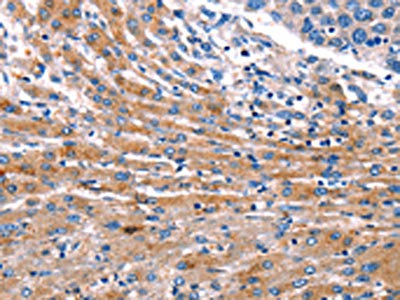
The image on the left is immunohistochemistry of paraffin-embedded Human liver cancer tissue using CSB-PA280305(CDK5 Antibody) at dilution 1/10, on the right is treated with fusion protein. (Original magnification: ×200)
-
Gel: 10+12%SDS-PAGE, Lysate: 30 μg, Lane 1-2: Human fetal brain tissue, Human colon cancer tissue, Primary antibody: CSB-PA280305(CDK5 Antibody) at dilution 1/150, Secondary antibody: Goat anti rabbit IgG at 1/8000 dilution, Exposure time: 5 minutes
-
-
其他:
產品詳情
-
Uniprot No.:
-
基因名:
-
別名:Cdk 5 antibody; Cdk5 antibody; CDK5_HUMAN antibody; Cell division protein kinase 5 antibody; Crk6 antibody; Cyclin dependent kinase 5 antibody; Cyclin-dependent kinase 5 antibody; Protein kinase CDK5 splicing antibody; PSSALRE antibody; Serine threonine protein kinase PSSALRE antibody; Serine/threonine-protein kinase PSSALRE antibody; Tau protein kinase II catalytic subunit antibody; TPKII catalytic subunit antibody
-
宿主:Rabbit
-
反應種屬:Human,Mouse,Rat
-
免疫原:Fusion protein of Human CDK5
-
免疫原種屬:Homo sapiens (Human)
-
標記方式:Non-conjugated
-
抗體亞型:IgG
-
純化方式:Antigen affinity purification
-
濃度:It differs from different batches. Please contact us to confirm it.
-
保存緩沖液:-20°C, pH7.4 PBS, 0.05% NaN3, 40% Glycerol
-
產品提供形式:Liquid
-
應用范圍:ELISA,WB,IHC
-
推薦稀釋比:
Application Recommended Dilution ELISA 1:1000-1:2000 WB 1:200-1:1000 IHC 1:10-1:50 -
Protocols:
-
儲存條件:Upon receipt, store at -20°C or -80°C. Avoid repeated freeze.
-
貨期:Basically, we can dispatch the products out in 1-3 working days after receiving your orders. Delivery time maybe differs from different purchasing way or location, please kindly consult your local distributors for specific delivery time.
-
用途:For Research Use Only. Not for use in diagnostic or therapeutic procedures.
相關產品
靶點詳情
-
功能:Proline-directed serine/threonine-protein kinase essential for neuronal cell cycle arrest and differentiation and may be involved in apoptotic cell death in neuronal diseases by triggering abortive cell cycle re-entry. Interacts with D1 and D3-type G1 cyclins. Phosphorylates SRC, NOS3, VIM/vimentin, p35/CDK5R1, MEF2A, SIPA1L1, SH3GLB1, PXN, PAK1, MCAM/MUC18, SEPT5, SYN1, DNM1, AMPH, SYNJ1, CDK16, RAC1, RHOA, CDC42, TONEBP/NFAT5, MAPT/TAU, MAP1B, histone H1, p53/TP53, HDAC1, APEX1, PTK2/FAK1, huntingtin/HTT, ATM, MAP2, NEFH and NEFM. Regulates several neuronal development and physiological processes including neuronal survival, migration and differentiation, axonal and neurite growth, synaptogenesis, oligodendrocyte differentiation, synaptic plasticity and neurotransmission, by phosphorylating key proteins. Activated by interaction with CDK5R1 (p35) and CDK5R2 (p39), especially in post-mitotic neurons, and promotes CDK5R1 (p35) expression in an autostimulation loop. Phosphorylates many downstream substrates such as Rho and Ras family small GTPases (e.g. PAK1, RAC1, RHOA, CDC42) or microtubule-binding proteins (e.g. MAPT/TAU, MAP2, MAP1B), and modulates actin dynamics to regulate neurite growth and/or spine morphogenesis. Phosphorylates also exocytosis associated proteins such as MCAM/MUC18, SEPT5, SYN1, and CDK16/PCTAIRE1 as well as endocytosis associated proteins such as DNM1, AMPH and SYNJ1 at synaptic terminals. In the mature central nervous system (CNS), regulates neurotransmitter movements by phosphorylating substrates associated with neurotransmitter release and synapse plasticity; synaptic vesicle exocytosis, vesicles fusion with the presynaptic membrane, and endocytosis. Promotes cell survival by activating anti-apoptotic proteins BCL2 and STAT3, and negatively regulating of JNK3/MAPK10 activity. Phosphorylation of p53/TP53 in response to genotoxic and oxidative stresses enhances its stabilization by preventing ubiquitin ligase-mediated proteasomal degradation, and induces transactivation of p53/TP53 target genes, thus regulating apoptosis. Phosphorylation of p35/CDK5R1 enhances its stabilization by preventing calpain-mediated proteolysis producing p25/CDK5R1 and avoiding ubiquitin ligase-mediated proteasomal degradation. During aberrant cell-cycle activity and DNA damage, p25/CDK5 activity elicits cell-cycle activity and double-strand DNA breaks that precedes neuronal death by deregulating HDAC1. DNA damage triggered phosphorylation of huntingtin/HTT in nuclei of neurons protects neurons against polyglutamine expansion as well as DNA damage mediated toxicity. Phosphorylation of PXN reduces its interaction with PTK2/FAK1 in matrix-cell focal adhesions (MCFA) during oligodendrocytes (OLs) differentiation. Negative regulator of Wnt/beta-catenin signaling pathway. Activator of the GAIT (IFN-gamma-activated inhibitor of translation) pathway, which suppresses expression of a post-transcriptional regulon of proinflammatory genes in myeloid cells; phosphorylates the linker domain of glutamyl-prolyl tRNA synthetase (EPRS) in a IFN-gamma-dependent manner, the initial event in assembly of the GAIT complex. Phosphorylation of SH3GLB1 is required for autophagy induction in starved neurons. Phosphorylation of TONEBP/NFAT5 in response to osmotic stress mediates its rapid nuclear localization. MEF2 is inactivated by phosphorylation in nucleus in response to neurotoxin, thus leading to neuronal apoptosis. APEX1 AP-endodeoxyribonuclease is repressed by phosphorylation, resulting in accumulation of DNA damage and contributing to neuronal death. NOS3 phosphorylation down regulates NOS3-derived nitrite (NO) levels. SRC phosphorylation mediates its ubiquitin-dependent degradation and thus leads to cytoskeletal reorganization. May regulate endothelial cell migration and angiogenesis via the modulation of lamellipodia formation. Involved in dendritic spine morphogenesis by mediating the EFNA1-EPHA4 signaling. The complex p35/CDK5 participates in the regulation of the circadian clock by modulating the function of CLOCK protein: phosphorylates CLOCK at 'Thr-451' and 'Thr-461' and regulates the transcriptional activity of the CLOCK-ARNTL/BMAL1 heterodimer in association with altered stability and subcellular distribution.
-
基因功能參考文獻:
- Our findings demonstrate that TRPA1 is a substrate of Cdk5 and that Cdk5 activity is also able to modulate TRPA1 agonist-induced calcium influx and chemo-nociceptive behavioral responses. PMID: 29352128
- High CDK5 expression is associated with Parkinson's disease. PMID: 29571747
- Here the authors show that cyclin I-like (CCNI2), a homolog of CCNI, interacts with CDK5 and activates the kinase activity of CDK5. Different from CCNI, which colocalizes with CDK5 in the nuclei in transfected cells, CCNI2 mainly retains CDK5 in the cytoplasm as well as on the cell membrane. PMID: 28112194
- Methamphetamine can impair the endoplasmic reticulum-associated degradation pathway and induce neuronal apoptosis through endoplasmic reticulum stress, which is mainly mediated by abnormal CDK5-regulated Tau phosphorylation. PMID: 29705343
- Mcl-1 is a disease-specific target of Cdk5, which associates with Cdk5 under basal conditions, but is not regulated by it. PMID: 28751497
- Stress-induced nuclear translocation of CDK5 suppresses neuronal death by downregulating ERK activation via VRK3 phosphorylation PMID: 27346674
- these results demonstrate an important role for miR-26a and CDK5 together in the survival and growth of Diffuse large B-cell lymphoma cells. PMID: 28640256
- In this review various possible mechanisms by which deregulated CDK5 may alter synaptic transmission and possibly lead to epileptogenesis have been discussed. Further, CDK5 has been proposed as a potential biomarker as well as a pharmacological target for developing treatments for epilepsy. PMID: 28639593
- Results show that Cdk5 is dysregulated in Alzheimer's disease which suggests an early role in neuronal cell death. Also, Cdk5 activation is under the action of Prx5 via reactive oxygen species-mediated Ca2+-mediated calpain activation. PMID: 28358580
- axonal impairment in temporal lobe epilepsy may be mediated by NMDAR via GSK-3beta and Cdk5. In addition, inhibiting either NMDARs or GSK-3beta lowered the relative tau phosphorylation level by reversing the decrease of total tau without affecting phosphorylated tau S396 and T231. PMID: 28595035
- In this review, we discuss the contribution of Cdk5 to molecular mechanisms that confer upon tumors the ability to grow, proliferate, and disseminate to secondary organs, as well as resistance to chemotherapies. We subsequently discuss existing and new strategies for targeting Cdk5 and its downstream mechanisms as anticancer treatments.[Review] PMID: 27917404
- Inhibition of CDK5 in endothelial or hepatocellular carcinoma (HCC) cells reduced HIF-1alpha levels in vitro and in vivo. PMID: 27027353
- One candidate pathway coupling actin filaments to microtubules consists of the actin filament-binding protein drebrin and the microtubule-binding +TIP protein EB3. This pathway is regulated proximally by cyclin-dependent kinase 5 phosphorylation of drebrin but the upstream elements in the pathway have yet to be identified. PMID: 28865014
- The CDK5 kinase activates the FAK/AKT signaling pathway to generate VM in a lung cancer cell line, which can help to develop potential therapeutic strategies against vessel-positive tumors. PMID: 28842255
- conditional inactivation of Cdk5 in the jck mice significantly attenuates cystic disease progression and is associated with shortening of ciliary length as well as restoration of cellular differentiation. Our results suggest that CDK5 may regulate ciliary length by affecting tubulin dynamics via its substrate collapsin response mediator protein 2. PMID: 27053712
- CRM1 and CDK5 co-expression was an independent prognostic factors for gastric cancer (GC). Combined CRM1 and CDK5 expression could provide a prognostic model for overall survival of GC. PMID: 28373767
- Studies indicate evidence for cyclin dependent kinase 5 (CDK5) in contributing to the onset and progression of tumorigenesis. PMID: 28077789
- this study revealed the functional and mechanistic links between CDK5 and the oncogenic ERK5-AP-1 signaling pathway in the pathogenesis of colorectal cancer. PMID: 27735944
- the silencing of Cyclin-dependent kinase 5 preventing memory dysfunction PMID: 27273428
- Increased CDK5 expression is associated with breast cancer. PMID: 28222068
- It is shown that p5 binds the kinase at the same CDK5/p25 and CDK5/p35 interfaces, and is thus a non-selective competitor of both activators, in agreement with available experimental data in vitro. PMID: 27387995
- the activated CDK5 kinase is involved in the EZH2 phosphorylation that is required for FBW7-mediated degradation. PMID: 28242758
- we supposed that EphA4 interacted with CDK5 and promoted its expression which in turn enhanced p-AKT expression and promoted cell adhesion-mediated drug resistance in multiple myeloma. PMID: 28351297
- the minor allele of CDK5R1 3'-UTR rs735555 polymorphism was associated with increased risk for NS-ID. In conclusion, our data suggest that mutations and polymorphisms in CDK5 and CDK5R1 genes may contribute to the onset of the NS-ID phenotype PMID: 26657932
- CDK5 was dynamically modified with O-GlcNAc in response to neuronal activity and that glycosylation represses CDK5-dependent apoptosis by impairing its association with p53 pathway. PMID: 27316643
- CDK5 may play a vital role in the development of cervical cancer, which may be a marker for the diagnosis, therapy and prognosis of cervical cancer. PMID: 27406233
- Cdk5-mediated phosphorylation of CHIP negatively regulates its neuroprotective function, thereby contributing to neuronal cell death progression following neurotoxic stimuli. PMID: 26206088
- High cyclin-dependent kinase 5 expression is associated with non-small cell lung cancer and small cell lung cancer. PMID: 26860827
- A novel role of STAT3/miR-21 axis and CDK5/CDK5R1 (p35) in metastasis of head and neck squamous cell carcinoma. PMID: 26690371
- A cyclin I-Cdk5 complex forms a critical antiapoptotic factor in the process of generating cisplatin resistance in cervical cancer. PMID: 26698249
- These results for the first time demonstrate a role of Cdk5/p35 in the regulation of cell cycle progression modulated by TGF-beta1. PMID: 26966064
- Data show that cyclin-dependent kinase 5 (Cdk5) could phosphorylate the adjacent S1627 in the leucine-rich repeat kinase 2 (LRRK2) R1628P mutant. PMID: 26930193
- These p35 mutations are unlikely to cause mental retardation. PMID: 26469698
- These data identify a novel oncogenic mechanism where CDK5 activation induces CRMP2A phosphorylation in the nuclei of tumour cells PMID: 26555036
- Increased expression of CDK5 infers poor outcomes for nasopharyngeal carcinoma patients. PMID: 26339373
- Results reveal a link between p25 and BACE1 in Alzheimer disease (AD) brains and suggest that upregulated Cdk5 activation by p25 accelerates AD pathogenesis by enhancing BACE1 activity via phosphorylation. PMID: 26317805
- Data indicate that combining the CDK inhibitor dinaciclib with the pan-AKT inhibitor MK-2206 showed promising therapeutic results in pancreatic cancer murine model. PMID: 25931518
- Functional inhibition of CDK5 using roscovitine and siRNA markedly suppressed the proliferation of A549 cells and resulted in a reduced tumor mass in vivo. PMID: 26018459
- High CDK5 expression is correlated with glioma. PMID: 26205145
- Cdk5 regulates lymphatic vessel formation and function via phosphorylation of Foxc2. PMID: 26027726
- we introduce Cdk5 as a novel drugable target for HCC treatment and suggest the combination of Cdk5 inhibition and DNA damaging agents as a novel therapeutic approach. PMID: 25660209
- CDK5 acts as a crucial signaling hub in prostate cancer cells by controlling androgen responses through AR, maintaining and accelerating cell proliferation through AKT activation, and releasing cell cycle breaks. PMID: 25851605
- In the postmortem brains of subjects with major depression, CDK5 activity was elevated in Brodmann's area 25, but not in entire prefrontal cortex and hippocampus. PMID: 26057048
- Nuclear Cdk5 is involved in the regulation of activity-dependent gene transcription and dendritic growth. PMID: 26558783
- low CDK5 expression is associated with poor overall survival in patients with gastric cancer, and nuclear accumulation of CDK5 inhibits the proliferation and tumorigenicity of human gastric cancer cells. PMID: 25609066
- These data show that cell cycle-dependent mechanisms can control ciliary length through a CDK5-FBW7-NDE1 pathway. PMID: 26206584
- Cdk5-mediated phosphorylation of RapGEF2 controls neuronal migration in the developing cerebral cortex. PMID: 25189171
- LRRK2 facilitates tau phosphorylation indirectly by recruiting tau or cdk5 rather than by directly phosphorylating tau PMID: 26268594
- Results indicate that cyclin-dependent kinase 5 (Cdk5) activation is important to all-trans retinoic acid (ATRA)-induced cell cycle arrest. PMID: 24851929
- CDK5 activity provides resistance to heat-induced apoptosis through the expression of miR-23a and subsequent suppression of NOXA synthesis PMID: 25829494
顯示更多
收起更多
-
相關疾?。?/div>Lissencephaly 7, with cerebellar hypoplasia (LIS7)亞細胞定位:[Isoform 1]: Cytoplasm. Cell membrane; Peripheral membrane protein. Perikaryon. Cell projection, lamellipodium. Cell projection, growth cone. Cell junction, synapse, postsynaptic density.; [Isoform 2]: Nucleus.蛋白家族:Protein kinase superfamily, CMGC Ser/Thr protein kinase family, CDC2/CDKX subfamily組織特異性:Isoform 1 is ubiquitously expressed. Accumulates in cortical neurons (at protein level). Isoform 2 has only been detected in testis, skeletal muscle, colon, bone marrow and ovary.數據庫鏈接:
Most popular with customers
-
-
YWHAB Recombinant Monoclonal Antibody
Applications: ELISA, WB, IHC, IF, FC
Species Reactivity: Human, Mouse, Rat
-
Phospho-YAP1 (S127) Recombinant Monoclonal Antibody
Applications: ELISA, WB, IHC
Species Reactivity: Human
-
-
-
-
-















