CDH5 Antibody
-
中文名稱:CDH5兔多克隆抗體
-
貨號:CSB-PA102499
-
規格:¥1100
-
圖片:
-
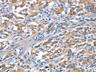
The image on the left is immunohistochemistry of paraffin-embedded Human thyroid cancer tissue using CSB-PA102499(CDH5 Antibody) at dilution 1/30, on the right is treated with synthetic peptide. (Original magnification: ×200)
-
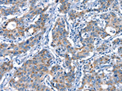
The image on the left is immunohistochemistry of paraffin-embedded Human gastric cancer tissue using CSB-PA102499(CDH5 Antibody) at dilution 1/30, on the right is treated with synthetic peptide. (Original magnification: ×200)
-
-
其他:
產品詳情
-
Uniprot No.:
-
基因名:
-
別名:CDH5; Cadherin-5; 7B4 antigen; Vascular endothelial cadherin; VE-cadherin; CD antigen CD144
-
宿主:Rabbit
-
反應種屬:Human
-
免疫原:Synthetic peptide of Human CDH5
-
免疫原種屬:Homo sapiens (Human)
-
標記方式:Non-conjugated
-
抗體亞型:IgG
-
純化方式:Antigen affinity purification
-
濃度:It differs from different batches. Please contact us to confirm it.
-
保存緩沖液:-20°C, pH7.4 PBS, 0.05% NaN3, 40% Glycerol
-
產品提供形式:Liquid
-
應用范圍:ELISA,IHC
-
推薦稀釋比:
Application Recommended Dilution ELISA 1:1000-1:2000 IHC 1:25-1:100 -
Protocols:
-
儲存條件:Upon receipt, store at -20°C or -80°C. Avoid repeated freeze.
-
貨期:Basically, we can dispatch the products out in 1-3 working days after receiving your orders. Delivery time maybe differs from different purchasing way or location, please kindly consult your local distributors for specific delivery time.
-
用途:For Research Use Only. Not for use in diagnostic or therapeutic procedures.
相關產品
靶點詳情
-
功能:Cadherins are calcium-dependent cell adhesion proteins. They preferentially interact with themselves in a homophilic manner in connecting cells; cadherins may thus contribute to the sorting of heterogeneous cell types. This cadherin may play a important role in endothelial cell biology through control of the cohesion and organization of the intercellular junctions. It associates with alpha-catenin forming a link to the cytoskeleton. Acts in concert with KRIT1 and PALS1 to establish and maintain correct endothelial cell polarity and vascular lumen. These effects are mediated by recruitment and activation of the Par polarity complex and RAP1B. Required for activation of PRKCZ and for the localization of phosphorylated PRKCZ, PARD3, TIAM1 and RAP1B to the cell junction.
-
基因功能參考文獻:
- VE-cadherin internalization from tensile adherens junctions is inhibited by Pacsin2 protein. PMID: 27417273
- It was found that the levels of integrin alpha1 and VE-cadherin mRNA increased during co-culturing of activated endothelium cells with mesenchymal stromal cells. PMID: 29504106
- Endothelial flow mechanotransduction through the junctional complex is mediated by a specific pool of VE-cadherin that is phosphorylated on cytoplasmic tyrosine Y658 and bound to LGN. PMID: 28712573
- BMP4 controls leukocyte recruitment through a VE-cadherin-dependent mechanism PMID: 28755278
- hsa-miR-6086 is induced by TNFalpha and mediates TNFalpha-induced HUVEC growth inhibition through downregulating CDH5 expression. Hence, hsa-miR-6086 might be a new target for treating TNFalpha-induced endothelial dysfunction. PMID: 29605606
- activation of PAR2 compromises the vascular endothelial barrier function by suppressing the expression of Ve-cadherin. PMID: 28485540
- C. pneumoniae infection promotes monocyte transendothelial migration by increasing vascular endothelial cell permeability via the tyrosine phosphorylation and internalization of VE-cadherin in vascular endothelial cells. PMID: 29462613
- The study shows a VE-cadherin-mediated cell dynamics and an endothelial-dependent proliferation in a differentiation-dependent manner. PMID: 29143117
- VE-cadherin activated cell stiffening depends on substrate stiffness. Force loading VE-cadherin receptors triggers cell-matrix junction remodeling. Local, VE-cadherin force transduction signals at the cell level do not alter the mechanical balance of endothelial colonies. PMID: 28624707
- HIF-2alpha and VM were overexpressed in pancreatic cancer tissues and were associated with poor pathological characteristics. HIF-2alpha contributes to VM formation by regulating the expression of VE-cadherin through the binding of the transcription factor Twist1 to the promoter of VE-cadherin in pancreatic cancer both in vitro and in vivo. PMID: 28599281
- These findings support a general role for VE-cadherin and other RGD cadherins as critical regulators of lung and liver metastasis in multiple solid tumours. These results pave the way for cadherin-specific RGD targeted therapies to control disseminated metastasis in multiple cancers. PMID: 27966446
- This study demonstrated that changes in gene expression of CDH5 and CLDN5 due to shear stress within individual differentiations also revealed no trend. PMID: 28774343
- Data suggest that cadherin 5 (CDH5) may play a key role in hematogenous recurrence of advanced gastric cancer and may be a viable treatment target. PMID: 29187459
- The present study investigated the interplay of VEGF-A165a isoform, the anti-angiogenic VEGF-A165b, placental growth factor (PIGF) and their receptors, VEGFR1 and VEGFR2.on junctional occupancy of VE-cadherin and macromolecular leakage in human endothelial monolayers and the perfused placental microvascular bed. PMID: 29054861
- These results suggest that SHP-2-via association with ICAM-1-mediates ICAM-1-induced Src activation and modulates VE-cadherin switching association with ICAM-1 or actin, thereby negatively regulating neutrophil adhesion to endothelial cells and enhancing their transendothelial migration. PMID: 28701303
- CDH5 and FABP1 expression levels were both elevated in drug-induced liver injury. PMID: 27224670
- Varenicline promotes HUVEC migration by lowering VE-cadherin expression due to activated ERK/p38/JNK signaling through alpha7 nAChR. These processes probably contribute to varenicline-aggravated atherosclerotic plaque. PMID: 28842382
- Plakoglobin maintains the integrity of vascular endothelial cell junctions and regulates VEGF-induced phosphorylation of VE-cadherin PMID: 28158602
- Endothelial Tspan5- and Tspan17-ADAM10 complexes may regulate inflammation by maintaining normal VE-cadherin expression and promoting T lymphocyte transmigration. PMID: 28600292
- Study found that high VE-cadherin gene expression levels were associated with low expression of miR-27b and that the latter directly bound to its 3'UTR to regulate its expression. PMID: 28396577
- Cells in high glucose for 7 days showed a significant decrease in mRNA expression of CD31 and VE-cadherin, and a significant increase in that of alpha-SMA and collagen I. PMID: 28347704
- AngII could induce pulmonary injury by triggering endothelial barrier injury, and such process may be related to the dephosphorylation of Y685-VE-cadherin and the endothelial skeletal rearrangement PMID: 28119542
- Breast cancer-secreted miR-939 downregulates VE-cadherin and destroys the barrier function of endothelial monolayers. PMID: 27693459
- EGFR genes are associated with overexpression of CDH5 through increased phosphorylation of EGFR and downstream Akt pathways. PMID: 27362942
- We found that patients with chronic spontaneous urticaria (CSU) had significantly higher CDH5 serum levels compared with patients with atopic dermatitis and control subjects. Moreover, serum levels ofCDH5 were closely associated with the severity of CSU. PMID: 28583263
- Results indicate that the posthemorrhagic shock mesenteric lymph in vitro increases the cellular permeability of human umbilical vein endothelial cells through suppression of F-actin and VE-cadherin. PMID: 27338534
- CMTM3 mediates cell-cell adhesion at adherens junctions and contributes to the control of vascular sprouting by regulation VE-cadherin turnover. PMID: 28428220
- Serum CDH5 correlates to poorer survival in patient with hormone-refractory metastatic breast cancer. PMID: 28056463
- Lateral accumulation of cadherin fingers in follower cells precedes turning, and increased actomyosin contractility can initiate cadherin finger extension as well as engulfment by a neighbouring cell, to promote follower behaviour. PMID: 27842057
- the conserved targeting of VE-cadherin by miR-22 regulates endothelial inflammation, tissue injury, and angiogenesis. PMID: 28112401
- High serum VE-cadherin expression is associated with non-alcoholic fatty liver disease. PMID: 26959535
- CDH5 may play a key role in the progression or metastasis of differentiated-type gastric cancer and serve as a target for its treatment. PMID: 27466381
- PDE4D acts to allow cAMP-elevating agents to regulate VECADs' role as a sensor of flow-associated fluid shear stress (FSS)-encoded information in arterial endothelial cells. PMID: 26658094
- Data suggest that the microRNA miR-27a-3p-mediated down-regulation of VE-cadherin and inhibition of epithelial-mesenchymal transition may be essential for Twist-1 to induce tumor metastasis and vasculogenic mimicry (VM). PMID: 26980408
- Quaking directly binds to the mRNA of VE-cadherin and beta-catenin and can induce mRNA translation mediated by the 3'UTR of these genes. PMID: 26905650
- Prophylactic UTI maintains the endothelial barrier function, increases VE-cadherin expression, and inhibits the phosphorylation of VE-cadherin at Tyr658 under inflammatory conditions PMID: 26681130
- S-nitrosylation regulates endothelial cell VE-cadherin phosphorylation and internalization in microvascular permeability. PMID: 26921435
- Data indicate that monoclonal antibody (mAb) against vascular endothelial cadherin 5 (VECDH5) has good binding ability and specificity. PMID: 26728385
- Rab11a/Rab11 family-interacting protein 2-mediated VE-cadherin recycling is required for formation of adherens junctions and restoration of vascular endothelial barrier integrity. PMID: 26663395
- our data show the importance of spatio-temporal regulation of the actin cytoskeleton through Trio and Rac1 at VE-cadherin-based cell-cell junctions in the maintenance of the endothelial barrier. PMID: 26116572
- ankyrin-G associates with and inhibits the endocytosis of VE-cadherin cis dimers. PMID: 26574545
- VE-cadherin complexes are central force transducers in endothelial barrier in response to force. PMID: 25663699
- Demonstrate that TrkB protects endothelial integrity during atherogenesis by promoting Ets1-mediated VE-cadherin expression and plays a previously unknown protective role in the development of coronary artery disease. PMID: 25633318
- homophilic interactions of VE-cadherin stabilize it at cell borders and prevent entry into the lateral border recycling compartment. PMID: 25501813
- Breast cancer cell incorporation into the vascular endothelium initiates by dislocating VE-cadherin at endothelial cell junctions. PMID: 25275457
- HIF-1alpha may modulate vascular mimicry in esophageal squamous cell carcinoma by regulating VE-cadherin expression. PMID: 25548487
- Girdin regulates the trafficking of VE-cadherin in synergy with R-Ras. PMID: 25869066
- preeclampsia does not significantly affect vascular growth or the expression of endothelial junction proteins in human placentas PMID: 25362142
- MRTF-A and p300 activated the transcription of VE-cadherin gene by enhancing acetylation of histones. PMID: 25746323
- the transmembrane domain of VE-cadherin mediates an essential adapter function by binding directly to the transmembrane domain of VEGFR2, as well as VEGFR3. PMID: 25800053
顯示更多
收起更多
-
亞細胞定位:Cell junction. Cell membrane; Single-pass type I membrane protein.
-
組織特異性:Endothelial tissues and brain.
-
數據庫鏈接:
Most popular with customers
-
-
YWHAB Recombinant Monoclonal Antibody
Applications: ELISA, WB, IHC, IF, FC
Species Reactivity: Human, Mouse, Rat
-
Phospho-YAP1 (S127) Recombinant Monoclonal Antibody
Applications: ELISA, WB, IHC
Species Reactivity: Human
-
-
-
-
-















