CDCA7L Antibody
-
中文名稱:CDCA7L兔多克隆抗體
-
貨號:CSB-PA850301LA01HU
-
規格:¥440
-
圖片:
-
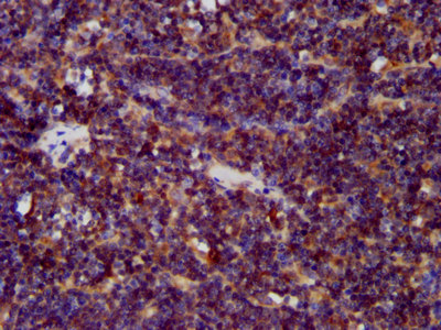
IHC image of CSB-PA850301LA01HU diluted at 1:400 and staining in paraffin-embedded human lymph node tissue performed on a Leica BondTM system. After dewaxing and hydration, antigen retrieval was mediated by high pressure in a citrate buffer (pH 6.0). Section was blocked with 10% normal goat serum 30min at RT. Then primary antibody (1% BSA) was incubated at 4°C overnight. The primary is detected by a biotinylated secondary antibody and visualized using an HRP conjugated SP system.
-
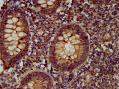
IHC image of CSB-PA850301LA01HU diluted at 1:400 and staining in paraffin-embedded human appendix tissue performed on a Leica BondTM system. After dewaxing and hydration, antigen retrieval was mediated by high pressure in a citrate buffer (pH 6.0). Section was blocked with 10% normal goat serum 30min at RT. Then primary antibody (1% BSA) was incubated at 4°C overnight. The primary is detected by a biotinylated secondary antibody and visualized using an HRP conjugated SP system.
-
-
其他:
產品詳情
-
產品名稱:Rabbit anti-Homo sapiens (Human) CDCA7L Polyclonal antibody
-
Uniprot No.:
-
基因名:CDCA7L
-
別名:c Myc Interacting protein JPO2 antibody; CDA7L_HUMAN antibody; Cdca7l antibody; Cell division cycle-associated 7-like protein antibody; DKFZp762L0311 antibody; HR1 antibody; JPO2 antibody; Protein JPO2 antibody; R1 antibody; RAM2 antibody; Transcription factor RAM2 antibody
-
宿主:Rabbit
-
反應種屬:Human
-
免疫原:Recombinant Human Cell division cycle-associated 7-like protein (14-167AA)
-
免疫原種屬:Homo sapiens (Human)
-
標記方式:Non-conjugated
本頁面中的產品,CDCA7L Antibody (CSB-PA850301LA01HU),的標記方式是Non-conjugated。對于CDCA7L Antibody,我們還提供其他標記。見下表:
-
克隆類型:Polyclonal
-
抗體亞型:IgG
-
純化方式:>95%, Protein G purified
-
濃度:It differs from different batches. Please contact us to confirm it.
-
保存緩沖液:Preservative: 0.03% Proclin 300
Constituents: 50% Glycerol, 0.01M PBS, pH 7.4 -
產品提供形式:Liquid
-
應用范圍:ELISA, IHC
-
推薦稀釋比:
Application Recommended Dilution IHC 1:200-1:500 -
Protocols:
-
儲存條件:Upon receipt, store at -20°C or -80°C. Avoid repeated freeze.
-
貨期:Basically, we can dispatch the products out in 1-3 working days after receiving your orders. Delivery time maybe differs from different purchasing way or location, please kindly consult your local distributors for specific delivery time.
-
用途:For Research Use Only. Not for use in diagnostic or therapeutic procedures.
相關產品
靶點詳情
-
功能:Plays a role in transcriptional regulation as a repressor that inhibits monoamine oxidase A (MAOA) activity and gene expression by binding to the promoter. Plays an important oncogenic role in mediating the full transforming effect of MYC in medulloblastoma cells. Involved in apoptotic signaling pathways; May act downstream of P38-kinase and BCL-2, but upstream of CASP3/caspase-3 as well as CCND1/cyclin D1 and E2F1.
-
基因功能參考文獻:
- Suppression of CDCA7L limits multiple myeloma proliferation through apoptosis. PMID: 27882933
- We identify the Myc-interacting protein JPO2 and its partner binding protein LEDGF/p75 as critical modulators of PI3K/AKT signaling and metastasis in medulloblastoma PMID: 27013196
- common LEDGF/p75 interaction interface shared by JPO2, PogZ, MLL1, IWS1 and HIV IN PMID: 26245978
- The data are consistent with the rs4487645-CDCA7L loci being responsible for the chromosome 7p11.2 association with multiple myeloma risk, probably exerting its effects through an extended pathway involving IRF4 and MYC. PMID: 25480495
- Data indicate that JPO2 and LEDGF/p75 interact directly and specifically in vivo through the specific interaction domain of JPO2 and the C-terminal domain of LEDGF/p75. PMID: 24634210
- CDCA7L was able to activate the extracellular signal-regulated kinase 1/2 (ERK1/2) signaling pathway and regulate the cell cycle, thus promoting HCC progression. PMID: 24141559
- Reduction in R1 repressor protein correlates significantly with an increase (approximately 40%) in monoamine oxidase A protein levels within the major depressive disorder groups compared with controls. PMID: 21654740
- monoamine oxidase A activation of glucocorticoids and androgens is regulated differently by R1 and Sp1 PMID: 16728402
- demonstrates the functions of MAO A and its repressor R1(RAM2/CDCA7L/JPO2) in apoptotic signaling pathways PMID: 16829576
- Over-expression of JPO2 resulted in a modest but reproducible inhibition of HIV-1 replication, consistent with competition between integrase and JPO2 for binding to LEDGF/p75 PMID: 17669426
顯示更多
收起更多
-
亞細胞定位:Cytoplasm. Nucleus. Note=Associates with chromatin. Translocates from cytoplasm to nucleus under dexamethasone induction.
-
組織特異性:Ubiquitous. Overexpressed in medulloblastoma.
-
數據庫鏈接:
Most popular with customers
-
-
YWHAB Recombinant Monoclonal Antibody
Applications: ELISA, WB, IHC, IF, FC
Species Reactivity: Human, Mouse, Rat
-
Phospho-YAP1 (S127) Recombinant Monoclonal Antibody
Applications: ELISA, WB, IHC
Species Reactivity: Human
-
-
-
-
-















