CD80 Antibody
-
中文名稱:CD80兔多克隆抗體
-
貨號:CSB-PA129040
-
規格:¥1090
-
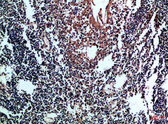
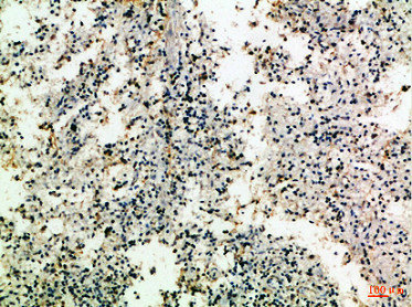
圖片:
-
其他:
產品詳情
-
Uniprot No.:
-
基因名:
-
別名:CD80; CD28LG; CD28LG1; LAB7; T-lymphocyte activation antigen CD80; Activation B7-1 antigen; BB1; CTLA-4 counter-receptor B7.1; B7; CD antigen CD80
-
宿主:Rabbit
-
反應種屬:Human
-
免疫原:Synthetic peptide from Human protein at AA range: 100-160
-
免疫原種屬:Homo sapiens (Human)
-
標記方式:Non-conjugated
-
純化方式:The antibody was affinity-purified from rabbit serum by affinity-chromatography using specific immunogen.
-
濃度:It differs from different batches. Please contact us to confirm it.
-
保存緩沖液:Liquid in PBS containing 50% glycerol, 0.5% BSA and 0.02% sodium azide.
-
產品提供形式:Liquid
-
應用范圍:IHC,ELISA
-
推薦稀釋比:
Application Recommended Dilution IHC IHC-p:1:50-300 ELISA 1:10000-20000 -
Protocols:
-
儲存條件:Upon receipt, store at -20°C or -80°C. Avoid repeated freeze.
-
貨期:Basically, we can dispatch the products out in 1-3 working days after receiving your orders. Delivery time maybe differs from different purchasing way or location, please kindly consult your local distributors for specific delivery time.
-
用途:For Research Use Only. Not for use in diagnostic or therapeutic procedures.
相關產品
靶點詳情
-
功能:Involved in the costimulatory signal essential for T-lymphocyte activation. T-cell proliferation and cytokine production is induced by the binding of CD28, binding to CTLA-4 has opposite effects and inhibits T-cell activation.; (Microbial infection) Acts as a receptor for adenovirus subgroup B.
-
基因功能參考文獻:
- Addition of TNFalpha to podocytes causes CD80 upregulation, actin reorganization and podocyte injury. PMID: 29022109
- Urinary CD80 levels were significantly higher in the children with minimal change disease than in the controls and patients with other causes of nephrotic syndrome. PMID: 29507273
- Results showed novel genetic associations with bone phenotypes and points to the CD80 gene as relevant in postmenopausal bone loss. PMID: 28466138
- Increased expressions of TLR-3, TLR-4 and CD80 mRNA and the level of urinary CD80/creatinine could be useful markers to differentiate patients of steroid-sensitive nephrotic syndrome in relapse from those with steroid-resistant nephrotic syndrome. PMID: 28210837
- The rs1915087 (C>T), rs6804441 (A>G) and rs41271391 (G>T) of B7 antigens were suspected as the factors associated with reduced risk of recurrent spontaneous abortion. PMID: 29069644
- Tregs were observed to regulate CD4(+), but not CD8(+), T cell infiltration into tumors through a CTLA-4/CD80 dependent mechanism. Disrupting CTLA-4 interaction with CD80 was sufficient to induce CD4 T cell infiltration into tumors. PMID: 28856392
- Results show that CD80 down-regulation is associated to aberrant DNA methylation in dysplasia of sporadic colonic carcinogenesis. This study indicates that the failure of immune surveillance mechanisms in non-inflammatory colon carcinogenesis may be linked to genomic methylation directly or indirectly affecting CD80 expression. PMID: 27377375
- Fabry disease is characterized by early occurrence of increased uCD80 excretion that appears to be a consequence of glycolipid accumulation. PMID: 27733175
- CTLA-4(+) microvesicles can competitively bind B7 costimulatory molecules on bystander dendritic cells, resulting in downregulation of B7 surface expression. PMID: 26979751
- The expression of B7-H6 is up-regulated in U87-derived glioma stem like cells. PMID: 27609569
- PD-1 receptor has a role in interacting with programmed cell death ligands and B7-1 PMID: 28270509
- CD80-QPAR platform provides a useful predictive model for unknown RA extract's bioactivities using the chemical fingerprint inputs PMID: 28337449
- this study shows that dendritic cells from rheumatoid arthritis patients have low expression levels of CD80 PMID: 27421624
- B7-1 is not expressed by podocytes in LN. A renoprotective effect of B7-1 blockade in LN patients cannot be ruled out but, if confirmed, cannot be the result of an effect on podocyte B7-1 PMID: 27198457
- analysis of CTLA4-Ig in B7-1-positive diabetic and non-diabetic kidney disease [review] PMID: 26409459
- Genetic interaction of CD80 and ALOX5AP was observed in systemic lupus erythematosus in Asian populations. PMID: 25862617
- Inhibitory Profile of Liver CD68+ Cells during HCV Infection as Observed by an Increased CD80 and PD-L1 but Not CD86 Expression PMID: 27065104
- Triple costimulation via CD80, 4-1BB, and CD83 ligand elicits the long-term growth of Vgamma9Vdelta2 T cells in low levels of IL-2. PMID: 26561569
- B7-1 is not induced in podocytes from patients with minimal change disease or focal segmental glomerulosclerosis. PMID: 26697986
- In the present study, we investigated the prognostic significance of the expression of three genes in the PD-L1 pathway, including PD-L1, B7.1 and PD-1, in three independent bladder cancer datasets in the Gene Expression Omnibus database. PMID: 25963805
- SNP rs1599795 in CD80 3'-UTR, through disrupting the regulatory role of miR-132-3p, miR-212-3p, and miR-361-5p in CD80 expression, contributed to the occurrence of gastric cancer. PMID: 24981235
- Meningococcal capsular polysaccharide-loaded vaccine nanoparticles induce expression of CD80. PMID: 24981893
- These findings reveal the distinct but complementary roles of CD80 and CD86 IgV and IgC domains in T cell activation. PMID: 24845157
- Expression of costimulatory molecules CD80/86 is an absolute requirement for efficient CD8 T cell priming by adenoviral vectors. PMID: 24951814
- Single-nucleotide polymorphisms in CD80 gene is associated with breast cancer risk after menopausal hormone replacement therapy. PMID: 24080446
- Data indicate that STAT5A and STAT5B transcription activator complex induces expression of CD80 gene. PMID: 24523507
- NOTCH1 protein regulates CD80/CD86-induced phosphatidylinositol 3-kinase signaling in interleukin-6 and indoleamine 2,3-dioxygenase production by dendritic cells PMID: 24415757
- lower expression on CD1c+ myeloid and CD303+ plasmacytoid DCs in pre-eclampsia PMID: 23773232
- No role in CD80 expression by podocytes was found for cytokines released by peripheral blood mononuclear cells PMID: 23689904
- Data indicate that low-dose decitabine (DAC) treatment can induce CD80 gene expression in a variety of cancer cells. PMID: 23671644
- These studies identify CD80-Fc as an alternative and potentially more efficacious therapeutic agent for overcoming PDL1-induced immune suppression and facilitating tumor-specific immunity PMID: 23918985
- Data indicate that the frequencies of CD11c, CD11c/CD86, HLA-DR/CD86, CD83 and CD80 were significantly high, while CD11c/HLA-DR was low in Hepatitis E infection. PMID: 23246582
- Lower expression of B7-1 and B7-2 proteins on peripheral monocytes in pre-eclampsia might indicate a secondary regulatory mechanism in response to the ongoing systemic maternal inflammation. PMID: 23289444
- he aim of this work was to analyse the interaction between early events in colonic ulcerative colitis-related and non-inflammatory carcinogenesis and CD80 expression to clarify what stimuli induce its up-regulation in these patients. PMID: 22704122
- mRNA expression analysis of B7-1 and NPHS1 in urinary sediment may be useful to differentiate between different histologic subtypes of glomerular kidney disease, particularly between minimal change disease and focal segmental glomerulosclerosis. PMID: 21414970
- Data suggest that expression of CD80, CD86, and CD40 on dendritic cells in normal endometrium is higher than on tumor infiltrating dendritic cells in endometrioid adenocarcinoma; this may reflect roles in antigen presentation/tumor escape. PMID: 22142817
- Data show that CD80 promoter and CD86 exon 8 allele frequencies vary significantly among populations of different ancestries. PMID: 22074996
- The interaction between PDL1 on antigen prresenting cells and B7.1 on T cells plays a dominant role in bidirectional interactions between these two molecules during alloimmune responses. PMID: 21697455
- the expression of the co-stimulatory molecule CD80 was decreased in intestines of celiac disease children after gluten-free diet. PMID: 21288140
- the costimulatory molecule CD80 prevents PDL1-mediated immune suppression by tumor cells and restores T cell activation PMID: 21555531
- Efficiency of GHA priming chemotherapy on refractory acute myeloid leukemia and myelodysplastic syndrome may be correlated with B7.1 expression. PMID: 18928583
- The low expression of CD80 and CD86 in thyroid papillary carcinoma may help them evade the immune system. PMID: 21469977
- study shows CTLA-4 can capture its ligands (CD80, CD86)from opposing cells by trans-endocytosis; data reveal mechanism of immune regulation in which CTLA-4 acts as an effector molecule to inhibit CD28 costimulation by cell-extrinsic depletion of ligands PMID: 21474713
- These results suggest that the polymorphisms of the CD86 gene may be used as genetic markers for making the diagnosis and prognosis of Graves' ophthalmopathy. PMID: 20884055
- Thalidomide can up-regulate the expression of B7-1 molecules on myeloma cells. PMID: 20034904
- increased CD80 and CD86 expression with the progression of tubulointerstitial lesion might play an important role in the development of lupus nephropathy PMID: 20979791
- B7-1 costimulation is required for induction and maintenance of lymphocytic choriomeningitis virus (LCMV)-specific CD8+ T cell memory, in T cell receptor (TCR)transgenic mice. PMID: 20601595
- B7-H1 and B7-1 significantly correlated with the pathological grade and tumor-node-metastasis (TNM) stage, respectively in pancreatic cancer. PMID: 20145927
- Data show that pollen grains triggered the production of IL-8, TNF-alpha, IL-6 and strongly upregulated the membrane expression of CD80, CD86, CD83, HLA-DR and caused only a slight increase in the expression of CD40. PMID: 20118277
- Thus, this study is the first demonstration of a distinct signaling event induced by CD80 and CD86 molecules in B cell lymphoma. PMID: 11726649
顯示更多
收起更多
-
亞細胞定位:Membrane; Single-pass type I membrane protein.
-
組織特異性:Expressed on activated B-cells, macrophages and dendritic cells.
-
數據庫鏈接:
Most popular with customers
-
-
YWHAB Recombinant Monoclonal Antibody
Applications: ELISA, WB, IHC, IF, FC
Species Reactivity: Human, Mouse, Rat
-
Phospho-YAP1 (S127) Recombinant Monoclonal Antibody
Applications: ELISA, WB, IHC
Species Reactivity: Human
-
-
-
-
-















