CD48 Antibody
-
中文名稱:CD48兔多克隆抗體
-
貨號:CSB-PA074453
-
規格:¥1100
-
圖片:
-
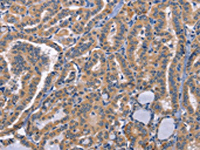
The image on the left is immunohistochemistry of paraffin-embedded Human thyroid cancer tissue using CSB-PA074453(CD48 Antibody) at dilution 1/50, on the right is treated with synthetic peptide. (Original magnification: ×200)
-
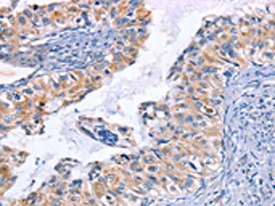
The image on the left is immunohistochemistry of paraffin-embedded Human cervical cancer tissue using CSB-PA074453(CD48 Antibody) at dilution 1/50, on the right is treated with synthetic peptide. (Original magnification: ×200)
-
Gel: 12%SDS-PAGE, Lysate: 40 μg, Lane: Raw264.7 cells, Primary antibody: CSB-PA074453(CD48 Antibody) at dilution 1/550, Secondary antibody: Goat anti rabbit IgG at 1/8000 dilution, Exposure time: 3 minutes
-
-
其他:
產品詳情
-
Uniprot No.:
-
基因名:
-
別名:Antigen CD48 antibody; B cell membrane protein antibody; B lymphocyte activation marker BLAST 1 antibody; B-cell activation marker antibody; B-lymphocyte activation marker BLAST-1 antibody; BCM 1 surface antigen antibody; BCM1 antibody; BCM1 surface antigen antibody; BLAST 1 antibody; BLAST antibody; BLAST1 antibody; CD 48 antibody; CD48 antibody; CD48 antigen (B cell membrane protein) antibody; CD48 antigen antibody; CD48 molecule antibody; CD48 protein antibody; CD48_HUMAN antibody; hCD48 antibody; Leucocyte antigen MEM 102 antibody; Leukocyte antigen MEM-102 antibody; mCD48 antibody; MEM 102 antibody; MEM-102 antibody; MEM102 antibody; Signaling lymphocytic activation molecule 2 antibody; SLAM family member 2 antibody; SLAMF 2 antibody; SLAMF2 antibody; TCT.1 antibody
-
宿主:Rabbit
-
反應種屬:Human,Mouse
-
免疫原:Synthetic peptide of Human CD48
-
免疫原種屬:Homo sapiens (Human)
-
標記方式:Non-conjugated
-
抗體亞型:IgG
-
純化方式:Antigen affinity purification
-
濃度:It differs from different batches. Please contact us to confirm it.
-
保存緩沖液:-20°C, pH7.4 PBS, 0.05% NaN3, 40% Glycerol
-
產品提供形式:Liquid
-
應用范圍:ELISA,WB,IHC
-
推薦稀釋比:
Application Recommended Dilution ELISA 1:1000-1:2000 WB 1:200-1:1000 IHC 1:50-1:200 -
Protocols:
-
儲存條件:Upon receipt, store at -20°C or -80°C. Avoid repeated freeze.
-
貨期:Basically, we can dispatch the products out in 1-3 working days after receiving your orders. Delivery time maybe differs from different purchasing way or location, please kindly consult your local distributors for specific delivery time.
-
用途:For Research Use Only. Not for use in diagnostic or therapeutic procedures.
相關產品
靶點詳情
-
功能:Ligand for CD2. Might facilitate interaction between activated lymphocytes. Probably involved in regulating T-cell activation.
-
基因功能參考文獻:
- soluble CD48 levels were significantly elevated in patients with nonallergic asthma compared to control and to the allergic asthma cohort PMID: 30306094
- mCD48 and sCD48 are differentially expressed in the peripheral blood of asthma patients of varying severity. sCD48 inhibits CD244-mediated eosinophil activation. These findings suggest that CD48 may play an important role in human asthma. PMID: 27859399
- The present study provides further insights into the role of the 2B4-CD48 interaction in the fine regulation of CD8(+) T-cell effector function upon antigenic stimulation. PMID: 26860368
- Data show that 2B4 not only can bind to CD48 in trans but also interacts with CD48 in cis by using the same binding interface. Also, the results demonstrated that constitutive phosphorylation of 2B4 occurs only in the presence of CD48, and that cis binding is sufficient to induce substantial levels of baseline phosphorylation. PMID: 27249817
- Our data indicate sCD48 as a SEB-induced 'decoy' receptor derived from eosinophil and therefore as a potential anti-inflammatory tool in S. aureus-induced eosinophil inflammation often associated with allergy. PMID: 26836239
- CD48 expression was increased in patients with a short disease duration compared to both controls and patients with longer disease duration. In patients with short disease duration, increased CD48 expression was associated with alveolar inflammation. PMID: 26926492
- These data demonstrate the important role of CD48 in SA/exotoxins-eosinophil activating interactions that can take place during allergic responses and indicate CD48 as a novel therapeutic target for allergy and especially of AD. PMID: 25255823
- Blockade of 2B4/CD48 interaction resulted in improvement in function via perforin expression and degranulation as measured by CD107a surface mobilization on HTLV-1 specific CD8+ T cells. PMID: 24505299
- we propose that SLAMF2 engagement regulates adaptive immune responses PMID: 24670806
- Monocyte-induced natural killer cell dysfunction was markedly attenuated by blocking CD48 receptor 2B4 on NK cells, but not by blockade of NKG2D and NKp30. PMID: 23225218
- replication study of association of 2 SNPs in HERV-K18 and 19 tagSNPs in CD48 with schizophrenia (SZ)and type 2 diabetes (T2D) in patients with SZ in 2 Danish samples; no association was found with SZ or with T2D among individuals with SZ for any of the SNPs PMID: 22495247
- Stimulation of CD48 induces rearrangement of signaling factors in lipid rafts, Lck-kinase activity, and tyrosine phosphorylation. PMID: 20833258
- The ligand (CD48) of the 2B4 receptor can exert both activating and inhibiting signals; natural killer (NK) cells might be at risk for self-killing were it not for the inhibiting signals generated by the 2B4-CD48 interaction. PMID: 20164429
- CM1-induced apoptosis is achieved via different initiation pathways, which are cell-type dependent PMID: 12072193
- Signal-dependent adhesion of resting NK cells initiated by expression of ICAM-1 is greatly enhanced by coexpression of CD48, even in the absence of cytokines. PMID: 12496412
- Engagement of natural killer (NK) cell receptor 2B4 by its counterreceptor, CD48, expressed on target cells leads to an inhibition in NK cytotoxicity independent of signaling lymphocytic activation molecule-associated protein (SAP) expression. PMID: 15356144
- IL-18, IL-18 receptor alpha, and CD48 complex formation via glycosylphosphatidylinositol anchor glycan triggers binding to IL-18 receptor beta, and thereby induces intracellular signal transduction and IFN-gamma production. PMID: 15760905
- Review of recent studies suggests an important role for interactions between 2B4 and CD48 in the course of T cell activation and proliferation PMID: 16081768
- 2B4 (CD244) can stimulate NK cell cytotoxicity and cytokine production by interacting with NK cell expressed CD48 and adds CD48 to the growing number of activating NK cell receptors PMID: 16585556
- CD48 is an interleukin (IL)-3-induced activating receptor on eosinophils and may be involved in promoting allergic inflammation. PMID: 16785501
- In conclusion, we cannot confirm a role of human endogenous retrovirus-K18 superantigen polymorphisms or of the CD48 CA repeat for type 1 diabetes susceptibility. PMID: 16866884
- findings indicate that FimH induces host cell signalling cascades that are involved in E. coli K1 invasion of human brain microvascular endothelial cells (HBMEC) and CD48 is a putative HBMEC receptor for FimH PMID: 17222190
- the mechanism of signal transduction by CD244 is to regulate FYN kinase recruitment and/or activity and the outcome of CD48/CD244 interactions is determined by which other receptors are engaged. PMID: 17599905
顯示更多
收起更多
-
亞細胞定位:Cell membrane; Lipid-anchor, GPI-anchor.
-
數據庫鏈接:
Most popular with customers
-
-
YWHAB Recombinant Monoclonal Antibody
Applications: ELISA, WB, IHC, IF, FC
Species Reactivity: Human, Mouse, Rat
-
Phospho-YAP1 (S127) Recombinant Monoclonal Antibody
Applications: ELISA, WB, IHC
Species Reactivity: Human
-
-
-
-
-















