CD300A Antibody
-
中文名稱:CD300A兔多克隆抗體
-
貨號:CSB-PA887023ESR1HU
-
規格:¥440
-
圖片:
-
Western Blot Positive WB detected in: THP-1 whole cell lysate(30μg), HL-60 whole cell lysate(30μg), JK whole cell lysate(30μg), K562 whole cell lysate(30μg), Raji whole cell lysate(30μg), Mouse Spleen tissue lysate(30μg),Rat Spleen tissue lysate(30μg) All lanes: CD300A antibody at 1:1000 Secondary Goat polyclonal to rabbit IgG at 1/20000 dilution Predicted band size: 34,21,12,17 kDa Observed band size: 60 kDa Exposure time: 120s
-
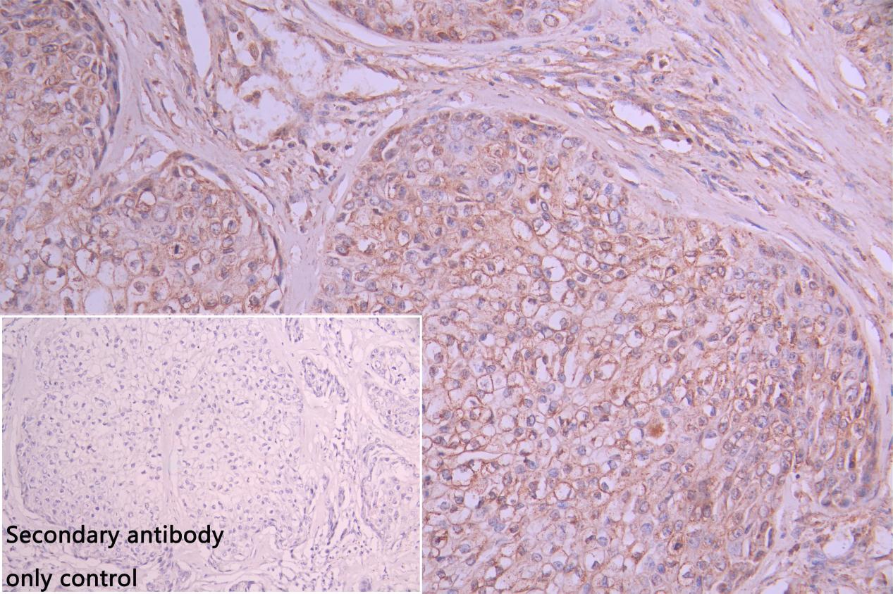
IHC image of CSB-PA887023ESR1HU diluted at 1:50 and staining in paraffin-embedded human pancreatic cancer performed on a Leica BondTM system. After dewaxing and hydration, antigen retrieval was mediated by high pressure in a citrate buffer (pH 6.0). Section was blocked with 10% normal goat serum 30min at RT. Then primary antibody (1% BSA) was incubated at 4°C overnight. The primary is detected by a Goat anti-rabbit polymer IgG labeled by HRP and visualized using 0.05% DAB. Secondary antibody only control: uses 1% BSA instead of primary antibody
-
Immunofluorescence staining of HepG2 cell with CSB-PA887023ESR1HU at 1:30, counter-stained with DAPI. The cells were fixed in 4% formaldehyde and blocked in 10% normal Goat Serum. The cells were then incubated with the antibody overnight at 4C. The secondary antibody was Alexa Fluor 488-congugated AffiniPure Goat Anti-Rabbit IgG(H+L).
-
Immunofluorescence staining of HepG2 cell with 5% goat serum, counter-stained with DAPI. The cells were fixed in 4% formaldehyde and blocked in 10% normal Goat Serum. The cells were then incubated with the antibody overnight at 4C. The secondary antibody was Alexa Fluor 488-congugated AffiniPure Goat Anti-Rabbit IgG(H+L).
-
-
其他:
產品詳情
-
產品名稱:Rabbit anti-Homo sapiens (Human) CD300A Polyclonal antibody
-
Uniprot No.:
-
基因名:
-
別名:CD300 antigen-like family member A antibody; CD300a antibody; CD300a antigen antibody; CD300a molecule antibody; CLM-8 antibody; CLM8_HUMAN antibody; CMRF 35 H9 antibody; CMRF-35-H9 antibody; CMRF35-H antibody; CMRF35-H9 antibody; CMRF35-like molecule 8 antibody; CMRF35H antibody; CMRF35H leukocyte immunoglobulin like receptor antibody; CMRF35H9 antibody; IgSF12 antibody; Immunoglobulin superfamily member 12 antibody; Inhibitory receptor protein 60 antibody; IRC1 antibody; IRC1/IRC2 antibody; IRC2 antibody; IRp60 antibody; Leukocyte membrane antigen antibody; Mast cell derived paired immunoglobulin like receptor 1 antibody; NK inhibitory receptor antibody; Polymeric immunoglobulin receptor 4 antibody
-
宿主:Rabbit
-
反應種屬:Human, Mouse,Rat
-
免疫原:Recombinant Human CMRF35-like molecule 8 protein (18-180AA)
-
免疫原種屬:Homo sapiens (Human)
-
標記方式:Non-conjugated
-
克隆類型:Polyclonal
-
抗體亞型:IgG
-
純化方式:Antigen Affinity Purified
-
濃度:It differs from different batches. Please contact us to confirm it.
-
保存緩沖液:Preservative: 0.03% Proclin 300
Constituents: 50% Glycerol, 0.01M PBS, pH 7.4 -
產品提供形式:Liquid
-
應用范圍:ELISA, WB, IHC, IF
-
推薦稀釋比:
Application Recommended Dilution WB 1:1000-1:3000 IHC 1:50-1:200 IF 1:10-1:100 -
Protocols:
-
儲存條件:Upon receipt, store at -20°C or -80°C. Avoid repeated freeze.
-
貨期:Basically, we can dispatch the products out in 1-3 working days after receiving your orders. Delivery time maybe differs from different purchasing way or location, please kindly consult your local distributors for specific delivery time.
-
用途:For Research Use Only. Not for use in diagnostic or therapeutic procedures.
相關產品
靶點詳情
-
功能:Inhibitory receptor which may contribute to the down-regulation of cytolytic activity in natural killer (NK) cells, and to the down-regulation of mast cell degranulation. Negatively regulates the Toll-like receptor (TLR) signaling mediated by MYD88 but not TRIF through activation of PTPN6.
-
基因功能參考文獻:
- Results provide an insight into the novel set of paired receptors CD300a and CD300c that are distinctively expressed on CD56(bright) natural killers (NK) cells with varied effector functions and show there differential binding to their ligands phosphatidylethanolamine and phosphatidylserine (PS) resulting in their differential ability to affect CD56(bright) NK cell functions. PMID: 27040328
- High CD300A expression is associated with diffuse large B-cell lymphoma. PMID: 26435477
- US3 protein kinase of pseudorabies virus triggers the binding of the inhibitory natural killer cell receptor CD300a to the surface of the infected cell, and protects of virus infected cells against natural killer cell-mediated lysis. PMID: 26581992
- Overall, these data indicate that CD300a is a novel Dengue virus binding receptor that recognizes phosphatidylethanolamine and phosphatidylserine present on virions and enhance infection. PMID: 26468529
- Data show that peroxisome proliferator activator receptor delta (PPARdelta/beta) directly regulates CD300a protein in macrophages. PMID: 24958459
- CD300a induction by the hypoxic environment represents a mechanism of regulation of monocyte/macrophage pro-inflammatory responses at pathologic sites PMID: 24131792
- interaction with phosphatidylserines inhibits IgE/FcepsilonRI-dependent anaphylactic basophil degranulation PMID: 24815424
- The inhibitory receptor CD300a is regulator of monocytes transendothelial migration. PMID: 24058511
- SHP-1, but not SHP-2 or the src homology 2 domain containing inositol 5' phosphatase SHIP, was utilized by CD300a for its inhibitory activity. These studies provide new insights into the function of CD300a in tuning T and B cell responses. PMID: 22537350
- CD300a is expressed on human peripheral blood basophils and rapidly up-regulated upon cross-linking of IgE/Fc-epsilon-RI and suppresses anaphylactic degranulation. PMID: 22173928
- our results indicate that phosphatidylethanolamine and phosphatidylserine are ligands for CD300a, and that this interaction plays an important role in regulating the removal of dead cells. PMID: 22302738
- These results indicated that CD300a is a new phosphatidylserine receptor. PMID: 22185693
- CD300a blocked TLR4-mediated and TLR9-mediated expression of pro-inflammatory mediators without affecting TLR3-mediated events. PMID: 22043923
- Down-regulation of CD300a is associated with HIV infection. PMID: 21482706
- CD300a is an inhibitory receptor expressed by human natural killer (NK) cells, but surprisingly, not all NK clones are inhibited in a CD300a-dependent manner. PMID: 20656921
- CD300a(+) human Th1 cells tend to be polyfunctional and after stimulation up-regulate Eomes. PMID: 20498708
- CMRF35A and CMRF35H have roles in immunoglobulin signaling; CMRF35H is an inhibitory molecule [review] PMID: 12456026
- IRp60 is constitutively expressed on mast cells but is down-regulated by eosinophil major basic protein and eosinophil-derived neurotoxin. Cross-linking of IRp60 led to inhibition of IgE-induced degranulation and stem cell factor-mediated survival PMID: 16339535
- Human neutrophils from peripheral blood express the ITIM containing CD300a (also known as IRp60 and CMRF-35H) receptor. Co-ligation of CD300a with (FcgammaRIIa) activation receptor inhibited CD32a mediated signalling. PMID: 17588661
- CD300a as a novel regulator of Kit in human MC and suggest roles for this receptor as a suppressor of Kit signaling in MC-related disorders. PMID: 18424727
顯示更多
收起更多
-
亞細胞定位:Cell membrane; Single-pass type I membrane protein.
-
蛋白家族:CD300 family
-
組織特異性:Expressed not only by natural killer (NK) cells but also by T-cell subsets, B-cells, dendritic cells, mast cells, granulocytes and monocytes.
-
數據庫鏈接:
Most popular with customers
-
YWHAB Recombinant Monoclonal Antibody
Applications: ELISA, WB, IHC, IF, FC
Species Reactivity: Human, Mouse, Rat
-
-
-
-
-
-
-















