CD27 Antibody
-
中文名稱:CD27兔多克隆抗體
-
貨號:CSB-PA123791
-
規格:¥1100
-
圖片:
-
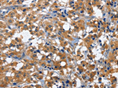
The image on the left is immunohistochemistry of paraffin-embedded Human colon cancer tissue using CSB-PA123791(CD27 Antibody) at dilution 1/60, on the right is treated with fusion protein. (Original magnification: ×200)
-
The image on the left is immunohistochemistry of paraffin-embedded Human thyroid cancer tissue using CSB-PA123791(CD27 Antibody) at dilution 1/60, on the right is treated with fusion protein. (Original magnification: ×200)
-
Gel: 10%SDS-PAGE, Lysate: 40 μg, Lane 1-2: Raji cells, lovo cells, Primary antibody: CSB-PA123791(CD27 Antibody) at dilution 1/701, Secondary antibody: Goat anti rabbit IgG at 1/8000 dilution, Exposure time: 1 minute
-
-
其他:
產品詳情
-
Uniprot No.:
-
基因名:
-
別名:CD27; TNFRSF7; CD27 antigen; CD27L receptor; T-cell activation antigen CD27; T14; Tumor necrosis factor receptor superfamily member 7; CD antigen CD27
-
宿主:Rabbit
-
反應種屬:Human
-
免疫原:Fusion protein of Human CD27
-
免疫原種屬:Homo sapiens (Human)
-
標記方式:Non-conjugated
-
抗體亞型:IgG
-
純化方式:Antigen affinity purification
-
濃度:It differs from different batches. Please contact us to confirm it.
-
保存緩沖液:-20°C, pH7.4 PBS, 0.05% NaN3, 40% Glycerol
-
產品提供形式:Liquid
-
應用范圍:ELISA,WB,IHC
-
推薦稀釋比:
Application Recommended Dilution ELISA 1:2000-1:5000 WB 1:500-1:2000 IHC 1:50-1:200 -
Protocols:
-
儲存條件:Upon receipt, store at -20°C or -80°C. Avoid repeated freeze.
-
貨期:Basically, we can dispatch the products out in 1-3 working days after receiving your orders. Delivery time maybe differs from different purchasing way or location, please kindly consult your local distributors for specific delivery time.
-
用途:For Research Use Only. Not for use in diagnostic or therapeutic procedures.
相關產品
靶點詳情
-
功能:Receptor for CD70/CD27L. May play a role in survival of activated T-cells. May play a role in apoptosis through association with SIVA1.
-
基因功能參考文獻:
- Results suggests that CD27 could be a marker for poor prognosis for non-ETV6-RUNX1 B-cell precursor acute lymphoblastic leukemia. PMID: 28649984
- The authors observed differential expression of CD95(Fas) in CD27(+) B-cells from cirrhotic patients that was inversely correlated with peripheral CD27(+) B-cell frequency. They conclude that peripheral CD27(+) memory B-cells in cirrhosis exhibit increased sensitivity to Fas-induced apoptosis in an activation-dependent manner to which endotoxin contributes, associated with reduced frequency of circulating memory B-cells. PMID: 27857173
- Preclinical testing supports the safety and efficacy of a CD27-containing CAR targeting CD70-expressing tumors PMID: 27803044
- Crystal structure of CD27 in complex with a neutralizing noncompeting antibody has been reported. PMID: 28471362
- High CD27 expression is associated with B-cell Lymphoma. PMID: 28108506
- activated CD70-expressing lymphocytes may trigger CD27 on AML blasts or stem/progenitor cells PMID: 28031480
- the CD70-CD27 pathway appears to be a crucial component of EBV-specific T cell immunity and more generally for the immune surveillance of B cells and may be a target for immunotherapy of B cell malignancies. PMID: 28011863
- This study demonstrates increased level of sCD27 in patients with active vitiligo. PMID: 27556155
- This study demonstrated that Soluble CD27 in cerebrospinal fluid of patients with Clinically Isolated Syndrome was associated with multiple sclerosis diagnosis and a high relapse rate. PMID: 28055081
- These findings support a potential new role for B cells in dengue pathogenesis, and sCD27 and sCD38 are novel biomarkers associated with clinical outcome during dengue virus infection. PMID: 27467579
- Novel mutations in TNFRSF7/CD27 cause EBV-associated lymphoproliferative disease/hemophagocytic lymphohistiocytosis, Hodgkin lymphoma, uveitis, and recurrent infections. PMID: 25843314
- NFKB1, CD27, LAG3 and IKZF3 are new susceptibility genes for psoriasis. PMID: 25006012
- results provide the first evidence for differential expression of CD27 among CLL prognostic groups, suggest a role for ZAP-70 dependent signaling in CD27 induction and implicate CD27 in cell-cell interactions with the lymphoid tissue microenvironment PMID: 26002513
- Multiple layers of memory B cells to T cell- dependent antigens describe immunoglobulin IgM+ B cells representing a memory reservoir that can re-enter the germinal center, ensuring replenishment of class-switched memory CD27+ B cells. PMID: 24965774
- Data indicate a unique expansion of CD27(high) plasmablasts in both the cerebrospinal fluid and periphery of transverse myelitis (TM). patients PMID: 23594958
- CD27positive B cells from common variable immunodeficiency (CVID) patients are more sensitive than CD27negative B cells to spontaneous apoptosis and less sensitive to rescue from apoptosis; these B cells fail to differentiate to memory or plasma cells. PMID: 23738704
- lack of functional CD27 predisposes towards a combined immunodeficiency associated with potentially fatal EBV-driven hemo-phagocytosis, lymphoproliferation, and lymphoma development. PMID: 22801960
- The CCR7+CD45RA-CD27+CD28+ central memory subset is significantly decreased in the peripheral blood CD4+ T cells from rheumatoid arthritis patients. PMID: 23747721
- We identified soluble CD27 as an immune modulator associated with enhanced human T cell activation PMID: 23677477
- These results highlight the importance of the CD27-CD70 costimulation pathway for the development of CMV-specific T cell immunity during acute and persistent infection. PMID: 23576505
- The expression of CD27 together with CD44 showed a relationship with several established risk factors as well as response to therapy, indicating the biological significance of these molecules in acute lymphoblastic leukemia PMID: 23263849
- CD27 and CD28 costimulatory receptors play central roles in differentiation and activation of gamma-delta T Lymphocytes. (Review) PMID: 23456842
- IgM(+)IgD(+)CD27(+) but not switched B cells were strongly reduced in MYD88-, IRAK-4-, and TIRAP-deficient patients, but not UNC-93B-deficient patients. PMID: 23002119
- serum sCD27 level is associated with CD27 expression on lymphoma cells, and may have a role in diffuse large B-cell lymphoma PMID: 22280534
- These results indicate that CD27 and CD70 gene polymorphisms may affect the risk of breast cancer and show that some SNPs are associated with breast cancer characteristics in a northern Chinese population. PMID: 22399187
- Decreased CD27 on B lymphocytes in patients with primary hepatocellular carcinoma. PMID: 22429370
- gene deficiency is associated with combined immunodeficiency and symptomatic EBV viremia PMID: 22197273
- down-regulation of CD27 on MTB-specific CD4 T cell could be used as a biomarker of active TB, potentially preceding clinical TB disease PMID: 22087280
- Data show that in a mouse model of chronic myelogenous leukemia, BCR/ABL+ leukemia stem and progenitor cells express CD27, and reveal a mechanism by which adaptive immunity contributes to leukemia progression. PMID: 22232214
- Data show that CD27(+)/IgD(-)/ZAP70(+) memory B cells accumulate preferentially in the joints of RA, suggesting a dynamic maturation of the B cells in this compartment. PMID: 21607290
- CD27 signalling does influence T(H) cell differentiation. PMID: 21277898
- CD27(+) lymphocytes represent abnormal mononuclear cell populations in atrophic oral lichen planus (OLP) lesions indicating forms of OLP might exist with different pathogenesis, despite similar histology and clinical behavior. PMID: 21237436
- no correlation between expression on T-lymphocytes and sera levels in children with asthma PMID: 20800938
- CD27 may have a role in infection in systemic lupus erythematosus PMID: 20879061
- In this review, CD27 and CD70 constitute a unique ligand and receptor pair which can activate innate and adaptive immunity as well as regulate immunity versus tolerance. PMID: 20699361
- These data collectively establish a novel role for the CD70-CD27 axis in human gammadelta T-cell activation and hence open new perspectives for its modulation in clinical settings. PMID: 21182090
- Compared with tuberculin-positive controls, patients with bacterial culture-positive pulmonary TB had significantly reduced CD27 expression on antigen-specific CD4 T cells PMID: 20393787
- higher proportion of protein-expressing B-cells in the blood of patients with systemic lupus erythematosus PMID: 19866343
- the CD70-CD27 interaction may play an important role in inducing effective immune responses in dendritic cell-based PMID: 20201989
- Systemic lupus erythematosus flares may relate to the retention of CD27+ memory B cells. (review) PMID: 15230280
- Functionally differentiated Vgamma9delta2+ T cells lack CD27 expression and are found in reduced numbers in immunocompromised hosts (such as healthy newborns and HIV-infected adults) and during active pulmonary tuberculosis. PMID: 11801693
- Increased levels of soluble CD27 in the cerebrospinal fluid are not diagnostic for leptomeningeal involvement by lymphoid malignancies.The positive predictive value of sCD27 determination for LI was only 54%, but the negative predictive value was 92%. PMID: 11976819
- intragraft gene expression is a risk factor for acute cardiac allograft rejection PMID: 12009595
- IL-10 enhances B-cell IgE synthesis by promoting differentiation into plasma cells, a process that is inhibited by CD27/CD70 interaction PMID: 12197885
- CD27 and CD40 co-stimulatory signals regulated the p53-amplified apoptotic pathway in B cells through the inhibition of p53-independent apoptotic pathway primarily induced by BCR ligation PMID: 12324477
- CD27(-) effector CD8(+) T cells might be required for adequate control of chronic viral infection and prevention of disease development. PMID: 12464570
- CD148 and CD27 are expressed in a wide range of B cell non-Hodgkin's lymphomas and do not serve to distinguish between neoplastic cells of naive and memory B cell derivation PMID: 12685844
- In indolent lymphomas, sCD27 proved to be a powerful marker to predict progression-free survival (p = 0.008). PMID: 12743427
- Signals through CD70 in B lymphocytes of CD70 transgenic mice result in enhanced cell cycle entry while preventing differentiation into IgG-secreting plasma cells. PMID: 15356138
- In primary biliary cirrhosis CpG led to a markedly high frequency of intracellular IgM-positive B cells, associated with high levels of synthesized IgM and identified to be a function of CD27(+) memory B cells. PMID: 15685542
顯示更多
收起更多
-
相關疾病:Lymphoproliferative syndrome 2 (LPFS2)
-
亞細胞定位:Membrane; Single-pass type I membrane protein.
-
組織特異性:Found in most T-lymphocytes.
-
數據庫鏈接:
Most popular with customers
-
-
YWHAB Recombinant Monoclonal Antibody
Applications: ELISA, WB, IHC, IF, FC
Species Reactivity: Human, Mouse, Rat
-
Phospho-YAP1 (S127) Recombinant Monoclonal Antibody
Applications: ELISA, WB, IHC
Species Reactivity: Human
-
-
-
-
-















