CD177 Antibody
-
中文名稱:CD177兔多克隆抗體
-
貨號:CSB-PA982897
-
規格:¥1100
-
圖片:
-
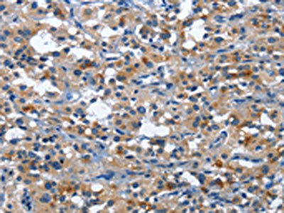
The image on the left is immunohistochemistry of paraffin-embedded Human thyroid cancer tissue using CSB-PA982897(CD177 Antibody) at dilution 1/30, on the right is treated with fusion protein. (Original magnification: ×200)
-
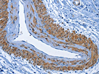
The image on the left is immunohistochemistry of paraffin-embedded Human cervical cancer tissue using CSB-PA982897(CD177 Antibody) at dilution 1/30, on the right is treated with fusion protein. (Original magnification: ×200)
-
-
其他:
產品詳情
-
Uniprot No.:
-
基因名:
-
別名:CD177 antibody; CD177 antigen antibody; CD177 molecule antibody; CD177_HUMAN antibody; HNA-2a antibody; HNA2A antibody; Human neutrophil alloantigen 2a antibody; NB1 antibody; NB1 glycoprotein antibody; NB1 GP antibody; Polycythemia rubra vera 1 antibody; Polycythemia rubra vera protein 1 antibody; PRV-1 antibody; PRV1 antibody
-
宿主:Rabbit
-
反應種屬:Human
-
免疫原:Fusion protein of Human CD177
-
免疫原種屬:Homo sapiens (Human)
-
標記方式:Non-conjugated
-
抗體亞型:IgG
-
純化方式:Antigen affinity purification
-
濃度:It differs from different batches. Please contact us to confirm it.
-
保存緩沖液:-20°C, pH7.4 PBS, 0.05% NaN3, 40% Glycerol
-
產品提供形式:Liquid
-
應用范圍:ELISA,IHC
-
推薦稀釋比:
Application Recommended Dilution ELISA 1:1000-1:2000 IHC 1:25-1:100 -
Protocols:
-
儲存條件:Upon receipt, store at -20°C or -80°C. Avoid repeated freeze.
-
貨期:Basically, we can dispatch the products out in 1-3 working days after receiving your orders. Delivery time maybe differs from different purchasing way or location, please kindly consult your local distributors for specific delivery time.
-
用途:For Research Use Only. Not for use in diagnostic or therapeutic procedures.
相關產品
靶點詳情
-
功能:In association with beta-2 integrin heterodimer ITGAM/CD11b and ITGB2/CD18, mediates activation of TNF-alpha primed neutrophils including degranulation and superoxide production. In addition, by preventing beta-2 integrin internalization and attenuating chemokine signaling favors adhesion over migration. Heterophilic interaction with PECAM1 on endothelial cells plays a role in neutrophil transendothelial migration in vitro. However, appears to be dispensable for neutrophil recruitment caused by bacterial infection in vivo. Acts as a receptor for the mature form of protease PRTN3 allowing its display at the cell surface of neutrophils. By displaying PRTN3 at the neutrophil cell surface, may play a role in enhancing endothelial cell junctional integrity and thus vascular integrity during neutrophil diapedesis.
-
基因功能參考文獻:
- Characterization of the CD177 interaction with the ANCA antigen proteinase 3 responsible for autoimmune diseases has been reported. PMID: 28240246
- our results have highlighted for the first time an up-regulated transcriptomics and phenotypic expression of neutrophil CD177 in septic shock patients compared to healthy volunteers. PMID: 27568821
- CD177 signals in a beta2 integrin-dependent manner to orchestrate a set of activation-mediated mechanisms that impair human neutrophil migration. PMID: 28807980
- Data show that CD177 protein is monoallelically expressed in neutrophils and neutrophil-differentiated hematopoietic stem cells (HSCs). PMID: 28559244
- Abundance of CD177hi neutrophils correlates with homozygosity for CD177 reference allele, while heterozygosity for ectopic CD177P1 gene conversion correlates with increased CD177neg neutrophils, in which both CD177P1 partially incorporated allele and paired intact CD177 allele are transcribed PMID: 27227454
- Data indicate that high percentage of CD177 antigen-positive neutrophils undergo dynamic change during sepsis. PMID: 26829180
- the CD177 SNP is the primary genetic determinant for HNA-2 deficiency and expression variations. The mechanistic delineation of HNA-2 genetics will enable the development of genetic tests for diagnosis and prognosis of HNA-2-related human diseases. PMID: 26024230
- This is the first report showing a prognostic correlation between CD177 expression and solid tumor behavior. PMID: 23899160
- Skewed low neutrophil CD177(%) is highly associated with clonal myeloid disorders, particularly myelodysplasia, and may be useful for detecting clonal myeloid disorders. PMID: 24124144
- CD177/PECAM-1 adhesive interaction, while contributing to neutrophil-endothelial cell interaction in neutrophil transendothelial migration, does not contribute to or is redundant in platelet-neutrophil interactions PMID: 22690867
- PRV1 overexpression is associated with Essential Thrombocythemia and Myelofibrosis. PMID: 22300941
- NB1-proteinase 3 interactions may play a role in aiding neutrophil transmigration. PMID: 22266279
- pivotal role of the NB1-Mac-1 receptor interaction for PR3-ANCA-mediated neutrophil activation PMID: 21193407
- The increased membrane expression of PR3 found in ANCA-associated systemic vasculitis is not linked directly to circulating PR3 or PR3 gene transcription, but is dependent upon CD177 expression and correlated with the transcription of the CD177 gene. PMID: 20491791
- heterophilic PECAM-1/CD177 interactions affect the phosphorylation state of PECAM-1 and endothelial cell junctional integrity in such a way as to facilitate neutrophil transmigration in a previously unrecognized allele-specific manner. PMID: 20194726
- Testins for PRV-1 expression is useful in the diagnosis of essential thrombocythaemia, but not in the diagnosis of polycythaemia vera. PMID: 19999391
- biochemical characterization; overexpressed in polycythemia rubra vera PMID: 12239154
- overexpression of PRV-1 to discrimitate essential thrombocythemia and polycythemia vera from secondary thrombocytosis and secondary erythrocytosis PMID: 12377969
- No evidence for a PRV-1 gene rearrangement was found in metaphase or interphase cells in polycythemia vera and thus, overexpression of PRV-1 in granulocytes in PV is related to mechanisms that do not involve structural genetic changes. PMID: 12591276
- review of gene structure, gene expression, polymorphisms, and relevance to diseases PMID: 12617169
- Comparing cDNA sequences of donors with a large (> 60%) and those with a small (< 40%) NB1 GP-expressing subpopulation, we found 6 polymorphisms. 3 were significantly associated with a small NB1 GP-expressing subpopulation. PMID: 12623849
- association between elevated PRV-1 mRNA expression and low plasma erythropoietin concentration in essential thrombocythaemia and the effect of platelet lowering treatment on the ratio PMID: 12756017
- This review summarizes and evaluates recent advances in our understanding of molecular aberrations in PV. PMID: 12901344
- PRV-1 and NB1 are alleles of polymorphic gene CD177. The most common single nucleotide polymorphisms in bp 42 predicted an amino acid change that may have an effect on protein expression. PMID: 14692971
- neutrophil PRV-1 up-regulation is a characteristic feature of polycythemia vera that may not be affected by fibrotic transformation PMID: 14701686
- Change in the number of neutrophils and monocytes is related to HNA-2a expression during pregnancy and postpartum. Both decrease postpartum and in threatened premature labor. PMID: 15043575
- The PRV1 protein altered expression provide an opportunity to diagnose and identify subpopulations of MPD patients. PMID: 15572213
- PRV-1 overexpression is associated with a significantly increased risk of thrombosis, whereas decreased c-Mpl expression is not PMID: 15951300
- Presence of the Janus kinase 2 V617F mutation was very highly correlated with polycythemia rubra vera 1 overexpression PMID: 15985544
- RT-PCR is the most rapid, reliable, and feasible method for the detection of PRV-1 overexpression in highly purified peripheral blood granulocytes in polycythemia rubra vera and essential thrombocythemia. PMID: 16502591
- FISH study showed no cytogenetic abnormalities in any of the analyzed cases. PMID: 16682284
- Proteinase 3 and NB1 coimmunoprecipitated from and colocalized on the neutrophil plasma membrane. PMID: 17244676
- neutrophil-specific CD177 is a heterophilic binding partner of PECAM-1 PMID: 17580308
- DNA methylation regulates PRV-1 expression under physiologic and pathologic conditions PMID: 17976520
- a novel function for Prv-1 as a signaling molecule in cytokine signaling cascades and may lead to a greater understanding of the mechanism of overexpression of Prv-1 in myeloproliferative disorders. PMID: 17980909
- The NB1-bound PR3 was active and was cleared from the surface by alpha-1-protease inhibitor PMID: 18854317
- elevated percentage of CD177 expressing neutrophils in patients with ANCA-associated vasculitis and systemic lupus erythematosus PMID: 19185066
顯示更多
收起更多
-
亞細胞定位:Cell membrane; Lipid-anchor, GPI-anchor. Membrane raft; Lipid-anchor, GPI-like-anchor. Secreted. Cytoplasmic granule membrane. Cell projection, lamellipodium.
-
組織特異性:Highly expressed in normal bone marrow and weakly expressed in fetal liver. During neutrophil differentiation, expression begins at the metamyelocyte stage and continues throughout the subsequent stages (at protein level). Expressed by a subset of mature
-
數據庫鏈接:
Most popular with customers
-
-
YWHAB Recombinant Monoclonal Antibody
Applications: ELISA, WB, IHC, IF, FC
Species Reactivity: Human, Mouse, Rat
-
Phospho-YAP1 (S127) Recombinant Monoclonal Antibody
Applications: ELISA, WB, IHC
Species Reactivity: Human
-
-
-
-
-















