CCT6A Antibody
-
中文名稱:CCT6A兔多克隆抗體
-
貨號:CSB-PA004865ESR1HU
-
規格:¥440
-
圖片:
-
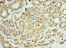
Immunohistochemistry of paraffin-embedded human breast cancer using CSB-PA004865ESR1HU at dilution of 1:100
-
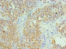
Immunohistochemistry of paraffin-embedded human tonsil tissue using CSB-PA004865ESR1HU at dilution of 1:100
-
Immunoprecipitating CCT6A in Hela whole cell lysate
Lane 1: Rabbit control IgG instead of CSB-PA004865ESR1HU in Hela whole cell lysate. For western blotting, a HRP-conjugated Protein G antibody was used as the secondary antibody (1/2000)
Lane 2: CSB-PA004865ESR1HU (8μg) + Hela whole cell lysate (500μg)
Lane 3: Hela whole cell lysate (10μg)
-
-
其他:
產品詳情
-
產品名稱:Rabbit anti-Homo sapiens (Human) CCT6A Polyclonal antibody
-
Uniprot No.:
-
基因名:CCT6A
-
別名:CCT6A antibody; CCT6 antibody; CCTZ antibody; T-complex protein 1 subunit zeta antibody; TCP-1-zeta antibody; Acute morphine dependence-related protein 2 antibody; CCT-zeta-1 antibody; HTR3 antibody; Tcp20 antibody
-
宿主:Rabbit
-
反應種屬:Human
-
免疫原:Recombinant Human T-complex protein 1 subunit zeta protein (80-250AA)
-
免疫原種屬:Homo sapiens (Human)
-
標記方式:Non-conjugated
-
克隆類型:Polyclonal
-
抗體亞型:IgG
-
純化方式:Antigen Affinity Purified
-
濃度:It differs from different batches. Please contact us to confirm it.
-
保存緩沖液:PBS with 0.02% sodium azide, 50% glycerol, pH7.3.
-
產品提供形式:Liquid
-
應用范圍:ELISA, IHC, IP
-
推薦稀釋比:
Application Recommended Dilution IHC 1:20-1:200 IP 1:200-1:2000 -
Protocols:
-
儲存條件:Upon receipt, store at -20°C or -80°C. Avoid repeated freeze.
-
貨期:Basically, we can dispatch the products out in 1-3 working days after receiving your orders. Delivery time maybe differs from different purchasing way or location, please kindly consult your local distributors for specific delivery time.
-
用途:For Research Use Only. Not for use in diagnostic or therapeutic procedures.
相關產品
靶點詳情
-
功能:Component of the chaperonin-containing T-complex (TRiC), a molecular chaperone complex that assists the folding of proteins upon ATP hydrolysis. The TRiC complex mediates the folding of WRAP53/TCAB1, thereby regulating telomere maintenance. The TRiC complex plays a role in the folding of actin and tubulin (Probable).
-
基因功能參考文獻:
- High expression of CCT6A is associated with Non-Small Cell Lung Cancer. PMID: 28104536
- selective inhibition of SMAD3 or CCT6A efficiently suppresses TGF-beta-mediated metastasis. Findings provide a mechanism that directs TGF-beta signaling toward its prometastatic arm and may contribute to the development of therapeutic strategies targeting TGF-beta for non-small-cell lung carcinoma. PMID: 28375158
- These data suggest that CCT6A is a novel autoantigen recognized by Vdelta2 gammadelta T cells, which deepens our understanding of mechanisms in autoimmune diseases. PMID: 27489109
- identified genes, which include Tcp20, may play important role in conferring radioresistance to oral squamous cell carcinoma and could be useful in identifying cases with more radioresistance PMID: 16211299
-
亞細胞定位:Cytoplasm.
-
蛋白家族:TCP-1 chaperonin family
-
數據庫鏈接:
Most popular with customers
-
-
YWHAB Recombinant Monoclonal Antibody
Applications: ELISA, WB, IHC, IF, FC
Species Reactivity: Human, Mouse, Rat
-
Phospho-YAP1 (S127) Recombinant Monoclonal Antibody
Applications: ELISA, WB, IHC
Species Reactivity: Human
-
-
-
-
-















