CCR6 Antibody
-
中文名稱:CCR6兔多克隆抗體
-
貨號:CSB-PA244343
-
規格:¥1100
-
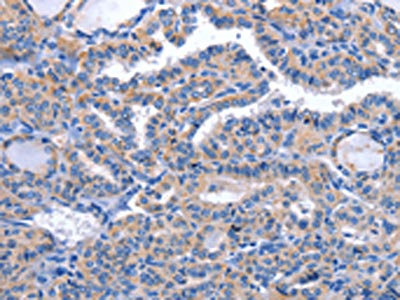
圖片:
-
The image on the left is immunohistochemistry of paraffin-embedded Human Lymphoma tissue using CSB-PA244343(CCR6 Antibody) at dilution 1/50, on the right is treated with synthetic peptide. (Original magnification: ×200)
-
The image on the left is immunohistochemistry of paraffin-embedded Human thyroid cancer tissue using CSB-PA244343(CCR6 Antibody) at dilution 1/50, on the right is treated with synthetic peptide. (Original magnification: ×200)
-
-
其他:
產品詳情
-
Uniprot No.:
-
基因名:
-
別名:CCR6; CKRL3; CMKBR6; GPR29; STRL22; C-C chemokine receptor type 6; C-C CKR-6; CC-CKR-6; CCR-6; Chemokine receptor-like 3; CKR-L3; DRY6; G-protein coupled receptor 29; GPR-CY4; GPRCY4; LARC receptor; CD antigen CD196
-
宿主:Rabbit
-
反應種屬:Human
-
免疫原:Synthetic peptide of Human CCR6
-
免疫原種屬:Homo sapiens (Human)
-
標記方式:Non-conjugated
-
抗體亞型:IgG
-
純化方式:Antigen affinity purification
-
濃度:It differs from different batches. Please contact us to confirm it.
-
保存緩沖液:-20°C, pH7.4 PBS, 0.05% NaN3, 40% Glycerol
-
產品提供形式:Liquid
-
應用范圍:ELISA,IHC
-
推薦稀釋比:
Application Recommended Dilution ELISA 1:1000-1:5000 IHC 1:50-1:200 -
Protocols:
-
儲存條件:Upon receipt, store at -20°C or -80°C. Avoid repeated freeze.
-
貨期:Basically, we can dispatch the products out in 1-3 working days after receiving your orders. Delivery time maybe differs from different purchasing way or location, please kindly consult your local distributors for specific delivery time.
-
用途:For Research Use Only. Not for use in diagnostic or therapeutic procedures.
相關產品
靶點詳情
-
功能:Receptor for the C-C type chemokine CCL20. Binds to CCL20 and subsequently transduces a signal by increasing the intracellular calcium ion levels. Although CCL20 is its major ligand it can also act as a receptor for non-chemokine ligands such as beta-defensins. Binds to defensin DEFB1 leading to increase in intracellular calcium ions and cAMP levels. Its binding to DEFB1 is essential for the function of DEFB1 in regulating sperm motility and bactericidal activity. Binds to defensins DEFB4 and DEFB4A/B and mediates their chemotactic effects. The ligand-receptor pair CCL20-CCR6 is responsible for the chemotaxis of dendritic cells (DC), effector/ memory T-cells and B-cells and plays an important role at skin and mucosal surfaces under homeostatic and inflammatory conditions, as well as in pathology, including cancer and various autoimmune diseases. CCR6-mediated signals are essential for immune responses to microbes in the intestinal mucosa and in the modulation of inflammatory responses initiated by tissue insult and trauma. CCR6 is essential for the recruitment of both the proinflammatory IL17 producing helper T-cells (Th17) and the regulatory T-cells (Treg) to sites of inflammation. Required for the normal migration of Th17 cells in Peyers-patches and other related tissue sites of the intestine and plays a role in regulating effector T-cell balance and distribution in inflamed intestine. Plays an important role in the coordination of early thymocyte precursor migration events important for normal subsequent thymocyte precursor development, but is not required for the formation of normal thymic natural regulatory T-cells (nTregs). Required for optimal differentiation of DN2 and DN3 thymocyte precursors. Essential for B-cell localization in the subepithelial dome of Peyers-patches and for efficient B-cell isotype switching to IgA in the Peyers-patches. Essential for appropriate anatomical distribution of memory B-cells in the spleen and for the secondary recall response of memory B-cells. Positively regulates sperm motility and chemotaxis via its binding to CCL20.
-
基因功能參考文獻:
- Co-culture with BD2 and BD3 led to up-regulation of CD4+ T cell proliferation after 72 h whereas, CD4+ T cell proliferation was suppressed after 96 h. On the other hand, CCR6- and CCR6+ T cell proliferation was up-regulated after 72 h. PMID: 30098283
- Identified a population of gut-derived TREG cells producing CCR6 and CXCR6 which are significantly reduced in inflammatory bowel disease. PMID: 29981781
- CCR6 facilitates tumor angiogenesis via the AKT/NF-kappaB/VEGF pathway in colorectal cancer PMID: 29097259
- expression increased on B cells of systemic lupus erythematosus patients PMID: 28444576
- In conclusion, it seems that decreased expression of CXCR3 and higher expression of CCR6 were associated with HTLV-1 infection, what indicate that these alterations may favor virus dissemination but not disease manifestation. PMID: 28206670
- Bin1-N-BAR domains assemble into scaffolds of low long-range order that form flexible membrane tubule in the sarcolemma PMID: 27016283
- CCR6 defines memory B cell precursors in mouse and human germinal centers, revealing light-zone location and predominant low antigen affinity. PMID: 29262350
- High expression of CCR6 is associated with cutaneous T-cell lymphoma. PMID: 26789110
- CCR6(-) regulatory T cells blunt the restoration of gut Th17 cells along the CCR6-CCL20 axis in treated HIV-1-infected patients. PMID: 26883727
- results provide a potential explanation for involvement of the CCL20-CCR6 system in the trafficking of IL-17-producing cells to degenerated IVD tissues PMID: 23823618
- High CCR6 expression is associated with B-lymphoblastic lymphoma with inflammation. PMID: 27018255
- CCR6 expression was higher in cells derived from node-positive cases and highest expression was in cells derived from metastatic cases of colon cancer. PMID: 27149649
- The study suggests that a genetic interaction between DPP4 and CCR6 is involved in RA susceptibility PMID: 27587881
- point mutations in CCR6 can result in either a gain or loss of receptor function PMID: 27789680
- Rheumatoid arthritis-associated double nucleotide polymorphism in CCR6 regulates CCR6 via PARP-1. PMID: 27626929
- This study evaluated the role of CCL20 and CCR6 in the regulation of laryngeal neoplasms; it showed that these proteins acted on proliferation and metastasis via the p38 pathway and multiple microRNAs. PMID: 27916417
- CCR6 expression may be a novel biomarker for predicting clinical outcomes for gastric cancer patients. PMID: 26489425
- Cell migration assays showed that TNF-alpha treatment significantly increased the rate of migrated cells in those cells in which it also increased the membrane expression of CCR6 (TPC-1 and BCPAP) as compared to basal condition PMID: 26577851
- There were early increased plasma concentrations of CCL20 and CCR6 in patients with sepsis. CCL20 and CCR6 correlate with severity of illness in ICU patients. Levels of CCR6 predicted the length of patients' admission. PMID: 26771764
- High CCR6 expression is associated with Inflammatory Bowel Disease. PMID: 26536229
- Tregs of unexplained recurrent miscarriage patients was significantly lower than that in controls. CCL20-CCR6 could drive immune activity of CD4(+)FOXP3(+) Tregs, followed by their migration to the feto-maternal microenvironment PMID: 26345847
- AEG-1 mediates CCL20/CCR6-induced EMT development via both Erk1/2 and Akt signaling pathway in cervical cancer, which indicates that CCL20/CCR6-AEG-1-EMT pathway could be suggested as a useful target to affect the progression of cervical cancer. PMID: 26156805
- The involvement of cell surface nucleolin in the initiation of CCR6 signaling in human hepatocellular carcinoma.Expression of nucleolin and CCR6 correlates with overall survival in hepatocellular carcinoma patients. PMID: 25698534
- Late-onset cytomegalovirus infection was preceded by an immune phenotype characterized by increased CCR6 expression on bulk CD4(+) T cells following solid organ transplant. PMID: 25690781
- The data reviewed suggest the necessity of evaluation of other blood redox-balance and nitric oxide in psoriasis should with additional investigations to targeting CCR6 rs3093024 in the genetic susceptibility of psoriasis. PMID: 25879557
- the current data demonstrate a genetic association between CCR6 variants and susceptibility to lupus nephritis PMID: 26138531
- Th17 cells are recruited into tumor tissues preferentially through CCR6-CCL20 pathway PMID: 25768730
- High CCR6 expression is associated with colon cancer. PMID: 24866282
- Leukocytes expressing CCR6 are present in the ovary immediately prior to ovulation. PMID: 26125463
- The data of this study suggested that CCR6 expression, which shows an increase in both moderatesevere and mild Alaheimer disease patients, is related to the pathological process underlying Alzaheimer disease. PMID: 25408215
- CCR6 SNPs are a risk factor for presence of anti-topoisomerase I antibodies in systemic sclerosis. PMID: 26314374
- CCL20 cooperated with CCR6 could recruit T regulatory cells to tumor sites, and chemotherapy medicine docetaxel could decrease the expression of CCL20. PMID: 25661365
- hBD-3 stimulates IL-37 expression through CCR6 in keratinocytes PMID: 25541254
- RNASET2 tag SNP but not CCR6 polymorphisms is associated with autoimmune thyroid diseases in the Chinese Han population PMID: 25928629
- PLZF regulates CCR6 and is critical for the acquisition and maintenance of the Th17 phenotype in human cells. PMID: 25833398
- CKR-L3 with other minor coreceptors may contribute to HIV and SIV pathogenesis including dissemination, trafficking and latency especially when major coreceptors become compromised. PMID: 24980635
- These findings support the hypothesis that CCR6 up-regulation stimulated by IL-17 may play an active role in colorectal cancer cell migration. PMID: 25201147
- The tumor expression of CCR6 plays a critical role in colorectal cancer metastasis. PMID: 24979261
- CCR6/CCL20 biological axis increased the capacity of proliferation and adhesion, as well as the chemotactic migration and the level of cytokines related to degraded extracellular matrix. PMID: 24743888
- genetic and biological role of the C-C chemokine ligand CCL20 and the C-C chemokine receptor CCR6in rheumatoid arthritis, is discussed.[review] PMID: 24394994
- CCR6 is highly expressed in thyroid cancer cells.CCR6 promotes the invasion and migration of thyroid cancer cells via NF-kappa B signaling-induced MMP-3 production. PMID: 24984269
- CCR6+ naive precursors contain a predetermined reservoir to replenish IL-17-secreting cells and may have implications in balancing the Th17 effector and IL-17+ Treg compartments that are perturbed during HIV infection. PMID: 24958901
- CCR6 protein level was higher in hepatocellular carcinoma (HCC) than in adjacent noncancerous tissues. CCR6 expression correlated with multicentricity and vascular invasion. CCR6 expression was an independent prognostic factor for overall survival. PMID: 24634224
- CCR6 expression is regulated by miR-518a-5p in colorectal cancer cells. PMID: 24559209
- DPP4, CDK5RAP2, and CCR6 are risk loci for rheumatoid arthritis in Han Chinese and congruence with risk variants in Europeans. PMID: 24782177
- interfering with IL-1beta and IL-12 signaling in Th17 cells during inflammation may be a promising therapeutic approach to reduce their differentiation into "pathogenic" CCR6+ CXCR3+ Th1/17 cells in patients with autoimmune diseases. PMID: 24890729
- Dendritic and T cells in psoriasis express CCL20 and CCR6 as part of the pathology. PMID: 24401998
- High CCR6/CCR7 expression and Foxp3 positive T regulatory cell number are positively related to the progression of laryngeal squamous cell carcinoma PMID: 23835793
- A CCR6 variant strongly associated with rheumatoid arthritis in two populations is not associated with ankylosing spondylitis. PMID: 22527137
- Chemokine receptor CCR6-dependent accumulation of gammadelta T cells in injured liver restricts hepatic inflammation and fibrosis. PMID: 23959575
顯示更多
收起更多
-
亞細胞定位:Cell membrane; Multi-pass membrane protein. Cell surface.
-
蛋白家族:G-protein coupled receptor 1 family
-
組織特異性:Sperm. Mainly localized in the tail and in the postacrosomal region but is also found in the midpiece and basal region in a small percentage of sperm cells. Reduced levels found in the sperms of asthenozoospermia and leukocytospermia patients (at protein
-
數據庫鏈接:
Most popular with customers
-
-
YWHAB Recombinant Monoclonal Antibody
Applications: ELISA, WB, IHC, IF, FC
Species Reactivity: Human, Mouse, Rat
-
Phospho-YAP1 (S127) Recombinant Monoclonal Antibody
Applications: ELISA, WB, IHC
Species Reactivity: Human
-
-
-
-
-















