CCL7 Antibody
-
中文名稱:CCL7兔多克隆抗體
-
貨號:CSB-PA082817
-
規格:¥1100
-
圖片:
-
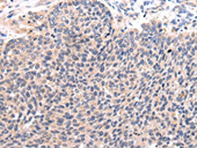
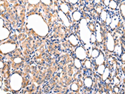
The image on the left is immunohistochemistry of paraffin-embedded Human lung cancer tissue using CSB-PA082817(CCL7 Antibody) at dilution 1/20, on the right is treated with synthetic peptide. (Original magnification: ×200)
-
The image on the left is immunohistochemistry of paraffin-embedded Human thyroid cancer tissue using CSB-PA082817(CCL7 Antibody) at dilution 1/20, on the right is treated with synthetic peptide. (Original magnification: ×200)
-
-
其他:
產品詳情
-
Uniprot No.:
-
基因名:
-
別名:C-C motif chemokine 7 antibody; Ccl7 antibody; CCL7_HUMAN antibody; Chemokine CC motif ligand 7 antibody; FIC antibody; MARC antibody; MCP-3 antibody; Monocyte chemoattractant protein 3 antibody; Monocyte chemotactic protein 3 antibody; NC28 antibody; RP23-350G1.4 antibody; SCYA6 antibody; SCYA7 antibody; Small-inducible cytokine A7 antibody
-
宿主:Rabbit
-
反應種屬:Human
-
免疫原:Synthetic peptide of Human CCL7
-
免疫原種屬:Homo sapiens (Human)
-
標記方式:Non-conjugated
-
抗體亞型:IgG
-
純化方式:Antigen affinity purification
-
濃度:It differs from different batches. Please contact us to confirm it.
-
保存緩沖液:-20°C, pH7.4 PBS, 0.05% NaN3, 40% Glycerol
-
產品提供形式:Liquid
-
應用范圍:ELISA,IHC
-
推薦稀釋比:
Application Recommended Dilution ELISA 1:2000-1:5000 IHC 1:25-1:100 -
Protocols:
-
儲存條件:Upon receipt, store at -20°C or -80°C. Avoid repeated freeze.
-
貨期:Basically, we can dispatch the products out in 1-3 working days after receiving your orders. Delivery time maybe differs from different purchasing way or location, please kindly consult your local distributors for specific delivery time.
-
用途:For Research Use Only. Not for use in diagnostic or therapeutic procedures.
相關產品
靶點詳情
-
功能:Chemotactic factor that attracts monocytes and eosinophils, but not neutrophils. Augments monocyte anti-tumor activity. Also induces the release of gelatinase B. This protein can bind heparin. Binds to CCR1, CCR2 and CCR3.
-
基因功能參考文獻:
- Enzyme-linked immunosorbent assay was used to detect the levels of chemokine (C-X-C motif) ligand 12, chemokine (C-X-C motif) ligand 7, hepatocyte growth factor, and fibroblast growth factor 1 in the supernatants of the laryngeal squamous cell carcinoma and control cells. PMID: 28475003
- Periprostatic adipocytes drive prostate cancer progression in obesity via CCL7 secretion which stimulates CCR3 expressing tumor cells. PMID: 26756352
- These results suggest that let-7d may suppress renal cell carcinoma growth, metastasis, and tumor macrophage infiltration at least partially through targeting COL3A1 and CCL7. PMID: 25193015
- Based on nasopharyngeal CCL7 gene expression in readily available Nasopharyngeal aspirate samples , we can discriminate between severity of disease in Respiratory syncytial virus infected infants. PMID: 25261323
- Overexpression of ISL1 in human mesnchymal stem cells promotes angiogenesis in vitro and in vivo through increasing secretion of MCP3 and other paracrine factors. PMID: 24578274
- Our data demonstrate that the monocyte-specific chemokine CCL7 and its receptor CCR2 are expressed in tumour cells of RCC PMID: 24327013
- Systemic IFN-gamma triggered the secretion of C-C motif ligand chemokines CCL2 and CCL7 leading to the egress of early, myeloid-committed progenitors from the bone marrow mediated by their common receptor CCR2. PMID: 23762028
- Anticancer effect of desmethyl-lasiodiplodin is mediated, in part, by upregulation of apoptotic genes and downregulation of MCP-3. PMID: 23764760
- Immunohistochemistry and real-time PCR analysis showed that CCL7 was expressed in normal colonic epithelium and the expression was higher in liver metastases compared to primary CRC. PMID: 22614322
- These results suggest that overexpression of CCL21 and CCL7 is associated with tumor metastasis and serves as a prognostic factor in patients with gastric cancer. PMID: 22468089
- MCP-3 is produced by human coronary artery smooth muscle cells and directly induces CASMC proliferation in vitro, suggesting a potential role for this chemokine in vascular pathology PMID: 21536288
- we established, for the first time, a significant association of MCP3 variants with atopic asthma. PMID: 21388664
- Basal monocyte migration may be facilitated by the astrocyte-derived cytokine CCL7 whose production is rapidly increased by TNF-alpha and thus likely plays a critical role in initiating neuroinvasion by SIV/HIV. PMID: 21279498
- The expression of MCP-3 in laryngeal squamous cell carcinoma is much higher than in normal tissue. PMID: 18533557
- IL-12 p35, ICAM-1 and MCP-3 mRNAs are expressed in primary nasal epithelial cells. PMID: 19253530
- Cytoplasmic GR interacts with a subset of CCL7 mRNA through specific sequences and can regulate turnover rates, a novel posttranscriptional role for GR as an RNA-binding protein. PMID: 21148795
- Monocyte chemoattractant protein-3 (MCP-3) was highly expressed in patients with chronic periodontitis, particularly in those with progressive periodontal lesions. PMID: 20151806
- higher expression in the genital mucosa than in the blood of HIV-1-infected women from Benin PMID: 19898927
- Elevated level of CCL7 is associated with invasion and migration of oral squamous cell carcinoma. PMID: 19937793
- The two most abundant alleles of the CA/GA microsatellite polymorphism in the promoter-enhancer region of the MCP-3 gene, A2 and A3, are significantly associated with multiple sclerosis in the Belgian case-control study, but not in the family study. PMID: 12127674
- overexpression of MCP-3 in early-stage systemic sclerosis suggests a novel role for this protein as a fibrotic mediator activating extracellular matrix gene expression in addition to promoting leukocyte trafficking. PMID: 12847692
- monocyte chemotactic protein-3 uses a different mode of action from eotaxin PMID: 14733956
- data suggest that cyclic mechanical stretch of the uterine cervix by the presenting part of the fetus during labour may augment both IL-8 and MCP-3 production in the uterine cervix via AP-1 activation. PMID: 15194816
- These results suggest that oxLDL delivers its signal for MCP-3 expression via PPARgamma, which may be further related to the atherogenesis. PMID: 15381085
- A non-heparin-binding mutant CCL7 inhibits chemotactic potential of synovial fluid from patients with active rheumatoid arthritis and demonstrates the glycosaminoglycan-binding requirement for chemokine-driven inflammation in vivo PMID: 16002730
- CCR8 ligands are allotropic, binding to distinct sites within CCR8; the human immune system may have evolved to use CCL7 as a selective antagonist of viral chemokine activity at CCR8 but not those of the host ligand PMID: 17023422
- MCP-3 is critical for monocyte mobilization and suggests new roles for monocyte chemoattractants in leukocyte homeostasis. PMID: 17364026
- CCL7 synergizes with coproduced CXCL8 in peripheral blood monocyte migration. PMID: 18469140
- increased plasma levels in patients with amnestic mild cognitive impairment PMID: 19403065
- High MCP-3 is associated with macrophage/microglia infiltration in gliomas. PMID: 19424580
顯示更多
收起更多
-
亞細胞定位:Secreted.
-
蛋白家族:Intercrine beta (chemokine CC) family
-
數據庫鏈接:
Most popular with customers
-
-
YWHAB Recombinant Monoclonal Antibody
Applications: ELISA, WB, IHC, IF, FC
Species Reactivity: Human, Mouse, Rat
-
-
-
-
-
-















