CCL27 Antibody
-
中文名稱:CCL27兔多克隆抗體
-
貨號:CSB-PA896726LA01HU
-
規格:¥440
-
圖片:
-
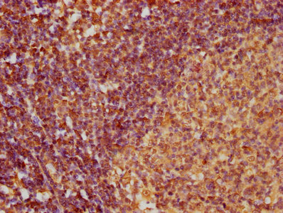
IHC image of CSB-PA896726LA01HU diluted at 1:100 and staining in paraffin-embedded human lymph node tissue performed on a Leica BondTM system. After dewaxing and hydration, antigen retrieval was mediated by high pressure in a citrate buffer (pH 6.0). Section was blocked with 10% normal goat serum 30min at RT. Then primary antibody (1% BSA) was incubated at 4°C overnight. The primary is detected by a biotinylated secondary antibody and visualized using an HRP conjugated SP system.
-
-
其他:
產品詳情
-
產品名稱:Rabbit anti-Homo sapiens (Human) CCL27 Polyclonal antibody
-
Uniprot No.:
-
基因名:
-
別名:ALP antibody; C-C motif chemokine 27 antibody; CC chemokine ILC antibody; Ccl27 antibody; CCL27_HUMAN antibody; Chemokine (C-C motif) ligand 27 antibody; CTACK antibody; CTAK antibody; Cutaneous T cell attracting chemokine antibody; Cutaneous T-cell-attracting chemokine antibody; ESkine antibody; IL 11 R alpha locus chemokine antibody; IL-11 R-alpha-locus chemokine antibody; ILC antibody; PESKY antibody; SCYA27 antibody; Skinkine antibody; Small inducible cytokine A27 antibody; small inducible cytokine subfamily A (Cys-Cys); member 27 antibody; Small-inducible cytokine A27 antibody
-
宿主:Rabbit
-
反應種屬:Human
-
免疫原:Recombinant Human C-C motif chemokine 27 protein (25-112AA)
-
免疫原種屬:Homo sapiens (Human)
-
標記方式:Non-conjugated
本頁面中的產品,CCL27 Antibody (CSB-PA896726LA01HU),的標記方式是Non-conjugated。對于CCL27 Antibody,我們還提供其他標記。見下表:
-
克隆類型:Polyclonal
-
抗體亞型:IgG
-
純化方式:>95%, Protein G purified
-
濃度:It differs from different batches. Please contact us to confirm it.
-
保存緩沖液:Preservative: 0.03% Proclin 300
Constituents: 50% Glycerol, 0.01M PBS, pH 7.4 -
產品提供形式:Liquid
-
應用范圍:ELISA, IHC
-
推薦稀釋比:
Application Recommended Dilution IHC 1:20-1:200 -
Protocols:
-
儲存條件:Upon receipt, store at -20°C or -80°C. Avoid repeated freeze.
-
貨期:Basically, we can dispatch the products out in 1-3 working days after receiving your orders. Delivery time maybe differs from different purchasing way or location, please kindly consult your local distributors for specific delivery time.
-
用途:For Research Use Only. Not for use in diagnostic or therapeutic procedures.
相關產品
靶點詳情
-
功能:Chemotactic factor that attracts skin-associated memory T-lymphocytes. May play a role in mediating homing of lymphocytes to cutaneous sites. Binds to CCR10.
-
基因功能參考文獻:
- Plasma CCL27 levels were significantly lower in the VCA-IgA-negative normal subjects than in either the VCA-IgA-positive healthy donorsor the NPC patients. PMID: 29295705
- CCR10/CCL27 crosstalk mediated drug resistance, contributing to failure of proteasome-inhibitors in multiple myeloma. PMID: 27732933
- detected in the nucleus in eczema, cytoplasm in psoriasis PMID: 27193975
- CCL27 drives baseline recruitment of Herpes simplex virus-specific CD8 T cells expressing CCR10, while interferon-responsive CXCR3 ligands recruit additional cells in response to virus-driven inflammation. PMID: 28701399
- We therefore concluded that the cross talk between TNFa and ROS after keratinocytes was exposed to radiation, triggered CCL27 secretion for subsequent inflammation response. PMID: 27879026
- Our study showed that a higher immunostaining of CCL27 in supratumoral epidermis is associated with longer progression-free interval and melanoma-specific survival. PMID: 27325798
- Our data supports previous reports showing IL-17 and -23 upregulation in association with Multiple sclerosis and potentially identify a previously unknown involvement for CCL27. PMID: 26295034
- NOS2 and CCL27: clinical implications for psoriasis and eczema diagnosis and management. PMID: 25539641
- Findings support the notion that CCR10 and its ligand CCL27 may contribute to the skin infiltration of malignant T-cells in mycosis fungoides and adult T-cell leukemia/lymphoma. PMID: 24970722
- Our study suggests that CTACK/CCL27 may have a pivotal role in the early stage of psoriasis plaque formation, but should be downregulated in the later stage to induce inflammation characteristic for chronic psoriasis plaques PMID: 24710735
- Seventeen mediators were identified in burn wound exudates (concentration range 0.0006-9 ng/mg total protein), including the skin-specific chemokine CCL27. PMID: 23980822
- We show that the adult but not prenatal human keratinocytes produce and release large amounts of CCL27. PMID: 24037339
- CCL27 chemokine implicates cholesteatoma keratinocytes as contributors in cholesteatoma progression. PMID: 23670528
- low CCL27/CCR10 and CXCL12/CXCR4 intratumoral mRNA ratios are associated with melanoma progression PMID: 22526457
- Serum concentrations of TARC and CTACK were significantly higher in AD (atopic dermatitis) children than in healthy controls, and correlated with severity of symptoms. PMID: 22017510
- IL-1beta-induced CCL27 gene expression in normal human keratinocytes is regulated through the p38 MAPK/MSK1/Mnk1+2 as well as the IKKbeta/NF-kappaB signalling pathways. PMID: 21993219
- expression of CCL27 and CCL17 in the inflammatory skin diseases: psoriasis, atopic dermatitis and acute allergic contact dermatitis induced in nickel-sensitive individuals PMID: 21707761
- member of cytokine family; a chemokine PMID: 11821893
- membrane of cytokine family PMID: 11821900
- Serum CTACK levels in patients with atopic dermatitis(AD) and psoriasis vulgaris(pSv) were significantly higher. CTACK was strongly expressed in lesional ke-ratinocytes of patients with AD and PsV. PMID: 12642842
- serum levels significantly correlated with disease activity in patients with atopic dermatitis PMID: 14767451
- primary Th2-dominated inflammatory reaction in atopic dermatitis induced by TARC leads to an augmented skin-specific inflammatory reaction through CTACK. PMID: 15335355
- PSGL-1 interacts with CCL27 (CTACK/ILC/ESkine), a skin-associated chemokine that attracts skin-homing T lymphocytes PMID: 15466853
- CCL27 expression is under the control of NF-kappaB, and that NF-kappaB, as indicated by others, may be an attractive target for therapy in inflammatory skin diseases PMID: 15598438
- IL-1alpha, TNF-alpha, CCL20, CCL27, and CXCL8 alarm signals are induced in human cells after allergen and irritant exposure PMID: 15679580
- CCL28 produced by keratinocytes is mediated by different signal pathways from CCL27, and both CCL27 and CCL28 are involved in the pathogenesis of inflammatory skin diseases. PMID: 16433680
- CCR10-CTACK/CCL27 interactions between circulating T cells and keratinocytes would seem to play an important role in the pathophysiology of mycosis fungoides. PMID: 16675558
- LTB(4) may enhance TNF-alpha-induced CCL27 production by activating NF-kappaB via the BLT1/G(i/o)/PI3K/ERK pathway in human keratinocytes. PMID: 17581202
- Human keratinocyte-derived skin tumors may evade T cell-mediated antitumor immune responses by down-regulating the expression of CCL27 through the activation of epidermal growth factor receptor (EGFR)-Ras-MAPK-signaling pathways. PMID: 18025475
- Serum concentrations of CCL17, CCL22, and CCL27 correlate well with the extent and intensity of Atopic dermatitis (AD) in infants. Of the three Th2 chemokines examined, serum CCL27 correlated most significantly with the severity of AD PMID: 18266834
- a novel mechanism for the recruitment of CCR10-positive T cells to skin-draining LN following the rapid release of preformed CCL27 from the epidermis PMID: 18453562
- Significantly lower serum concentration of CXCL-9, CXCL-10, CCL-17, and IL-18 and higher concentration of CXCL-12 and CCL-27 were found in atopic dermatitis patients under 10 years old when compared to Control. PMID: 19639049
顯示更多
收起更多
-
亞細胞定位:Secreted.
-
蛋白家族:Intercrine beta (chemokine CC) family
-
組織特異性:Testis, thymus, placenta, ovary and skin.
-
數據庫鏈接:
Most popular with customers
-
-
YWHAB Recombinant Monoclonal Antibody
Applications: ELISA, WB, IHC, IF, FC
Species Reactivity: Human, Mouse, Rat
-
-
-
-
-
-















