CCKAR Antibody
-
中文名稱:CCKAR兔多克隆抗體
-
貨號:CSB-PA004772LA01HU
-
規格:¥440
-
圖片:
-
Western Blot
Positive WB detected in: A549 whole cell lysate
All lanes: CCKAR antibody at 3.4µg/ml
Secondary
Goat polyclonal to rabbit IgG at 1/50000 dilution
Predicted band size: 48 kDa
Observed band size: 48 kDa -
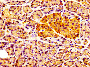
IHC image of CSB-PA004772LA01HU diluted at 1:100 and staining in paraffin-embedded human pancreatic tissue performed on a Leica BondTM system. After dewaxing and hydration, antigen retrieval was mediated by high pressure in a citrate buffer (pH 6.0). Section was blocked with 10% normal goat serum 30min at RT. Then primary antibody (1% BSA) was incubated at 4°C overnight. The primary is detected by a biotinylated secondary antibody and visualized using an HRP conjugated SP system.
-
Immunofluorescence staining of Hela cells with CSB-PA004772LA01HU at 1:100, counter-stained with DAPI. The cells were fixed in 4% formaldehyde, permeabilized using 0.2% Triton X-100 and blocked in 10% normal Goat Serum. The cells were then incubated with the antibody overnight at 4°C. The secondary antibody was Alexa Fluor 488-congugated AffiniPure Goat Anti-Rabbit IgG(H+L).
-
-
其他:
產品詳情
-
產品名稱:Rabbit anti-Homo sapiens (Human) CCKAR Polyclonal antibody
-
Uniprot No.:
-
基因名:
-
別名:CCKAR; CCKRA; Cholecystokinin receptor type A; CCK-A receptor; CCK-AR; Cholecystokinin-1 receptor; CCK1-R
-
宿主:Rabbit
-
反應種屬:Human
-
免疫原:Recombinant Human Cholecystokinin receptor type A protein (235-313AA)
-
免疫原種屬:Homo sapiens (Human)
-
標記方式:Non-conjugated
本頁面中的產品,CCKAR Antibody (CSB-PA004772LA01HU),的標記方式是Non-conjugated。對于CCKAR Antibody,我們還提供其他標記。見下表:
-
克隆類型:Polyclonal
-
抗體亞型:IgG
-
純化方式:>95%, Protein G purified
-
濃度:It differs from different batches. Please contact us to confirm it.
-
保存緩沖液:Preservative: 0.03% Proclin 300
Constituents: 50% Glycerol, 0.01M PBS, pH 7.4 -
產品提供形式:Liquid
-
應用范圍:ELISA, WB, IHC, IF
-
推薦稀釋比:
Application Recommended Dilution WB 1:500-1:5000 IHC 1:20-1:200 IF 1:50-1:200 -
Protocols:
-
儲存條件:Upon receipt, store at -20°C or -80°C. Avoid repeated freeze.
-
貨期:Basically, we can dispatch the products out in 1-3 working days after receiving your orders. Delivery time maybe differs from different purchasing way or location, please kindly consult your local distributors for specific delivery time.
-
用途:For Research Use Only. Not for use in diagnostic or therapeutic procedures.
相關產品
靶點詳情
-
功能:Receptor for cholecystokinin. Mediates pancreatic growth and enzyme secretion, smooth muscle contraction of the gall bladder and stomach. Has a 1000-fold higher affinity for CCK rather than for gastrin. It modulates feeding and dopamine-induced behavior in the central and peripheral nervous system. This receptor mediates its action by association with G proteins that activate a phosphatidylinositol-calcium second messenger system.
-
基因功能參考文獻:
- CCK1R may play a role differing from CCK2R in colon carcinogenesis, nuclear CCK1R represents a potential biomarker for poor prognosis. PMID: 26508021
- Study shows downregulation of CCKAR gene expression in A1/A1 genotype of gallstone disease patients as compared with control with significant variation in its expression pattern in relation to polymorphism. PMID: 27287528
- Our study showed significantly higher expression of CCKAR and down regulation of CCKBR in pancreatic cancer as compared to control while CCKBR/GR was detected in majority of stomach cancer samples. Thus, our study suggests that CCK and Gs receptors may have diagnostic and therapeutic implications. PMID: 27072272
- The neurotransmitter cholecystokinin (CCK), along with its receptors, CCKAR and CCKBR, have been previously associated with psychiatric disorders, suggesting that variants near these genes may play a role in the pre-pulse/startle response in this cohort PMID: 26608796
- CCK-AR polymorphism is protective against functional dyspepsia. PMID: 26551933
- There is functional synergy between cholecystokinin receptors CCKAR and CCKBR in mammalian brain development. PMID: 25875176
- Age related differential expression of CCKAR in GBC may suggest two possible variants of the disease in this endemic belt. PMID: 25025063
- Y140A mutation within a cholesterol-binding motif results in ligand binding and activity characteristics similar to wild type CCK1R. in a high cholesterol environment PMID: 24825903
- The findings suggest that variants in the CCKAR gene may influence the risk of gallbladder cancer in women. PMID: 23701593
- A significant association of the cholecystokinin-A receptor (CCKAR) gene variation rs1800857 and language lateralization, is reported. PMID: 23341962
- The results showed that three individual haplotypes of CCKAR were strongly associated with increased risk of schizophrenia. PMID: 22825913
- Data suggest that CCK-1R expression is up-regulated in kidney tubules (but not in glomeruli) in patients with diabetic nephropathy; increased expression of CCK-1R in tubules appears to be biomarker of severity of proteinuria in these patients. PMID: 22396142
- data may suggest that the TM3 CRAC cholesterol-binding motif could be responsible for the cholesterol sensitivity of the CCK1R. PMID: 22021636
- CCKAR expression was significantly increased in gallbladder cancer compared to gallstone disease. PMID: 21813391
- Data indicate that the Homo-Phe derivative 2 (VL-0797) enhanced 12-fold the affinity for the rat CCK(1)-R affinity and 15-fold for the human CCK(1)-R relative to the reference compound 12 (VL-0395). PMID: 21728335
- An association is not found between cholecystokinin A receptor polymorphisms and antipsychotic induced weight gain in schizophrenia patients. PMID: 20732371
- LPS can up-regulate the expression of CCK-AR and CCK-BR mRNA in vascular endothelial cells. PMID: 19751565
- a 2-marker haplotype (rs1800855/rs1800857) in the CCKAR gene protected women against PD (P=0.004). In addition, we found two novel rare missense variations in the CCKBR gene (Lys329Asn and Pro446Leu) in two and one patient, respectively PMID: 20023595
- an intron 1 polymorphism in the cholecystokinin A receptor gene is associated with schizophrenia in males PMID: 19753663
- Significant association between polymorphism at the -85 locus of the CCKAR gene in patients with hallucination, especially patients with hallucination in delirium tremens. PMID: 12198366
- the presence of CCK receptors in human ductal pancreatic tumor samples is mainly due to CCK2 expression in residual pancreatic islets and CCK1 in pancreatic nerves. PMID: 12851875
- heterodimerization of type A and B cholecystokinin receptors forms a powerful signaling unit with potential clinical significance in promoting cell growth PMID: 14534299
- In this review, both localization and functional studies suggest that the motor effects of cholecystokinin are mediated by CCK1/CCKA receptors in humans. PMID: 15100163
- CCK-AR gene polymorphism may be involved in the neurobiology of panic disorder. PMID: 15108185
- CCK-AR gene is suggested to predispose persons to schizophrenia. PMID: 15363473
- analysis of partial and full agonism mediated by the human cholecystokinin-1 receptor PMID: 15632187
- Finds significant differences in intelligence for Cholecystokinin A receptor gene promoter polymorphisms A-81G and G-128T in community-living Japanese. PMID: 15723764
- the deficiency of CCK-R may be a key point leading to the impairment of gallbladder motor function and the pathogenesis of cholesterol gallstone formation PMID: 15786550
- possible role of the CCK-AR gene in the vulnerability to schizophrenia in patients with auditory hallucinations PMID: 17413443
- No evidence for the association between the CCK-AR gene and schizophrenia in the Japanese population. PMID: 17413452
- CCK-A receptor agonist, GI181771X, did not reduce body in obese patients, suggesting that CCK-A by itself does not have a central role in long-term energy balance. PMID: 17597711
- Responses of human esophageal sphincter sling and clasp fibers to cholecystokinin (CCK) and gastrin through CCK-A and -B receptors are reported. PMID: 18444993
- Report effects of cholecystokinin-58 on type 1 cholecystokinin receptor function and regulation. PMID: 18776046
顯示更多
收起更多
-
亞細胞定位:Cell membrane; Multi-pass membrane protein.
-
蛋白家族:G-protein coupled receptor 1 family
-
數據庫鏈接:
Most popular with customers
-
-
YWHAB Recombinant Monoclonal Antibody
Applications: ELISA, WB, IHC, IF, FC
Species Reactivity: Human, Mouse, Rat
-
Phospho-YAP1 (S127) Recombinant Monoclonal Antibody
Applications: ELISA, WB, IHC
Species Reactivity: Human
-
-
-
-
-















