CAST Antibody
-
中文名稱:CAST兔多克隆抗體
-
貨號:CSB-PA004561YA01HU
-
規格:¥440
-
圖片:
-
Western Blot
Positive WB detected in: HL60 whole cell lysate, Mouse heart tissue
All lanes: CAST antibody at 2.6µg/ml
Secondary
Goat polyclonal to rabbit IgG at 1/50000 dilution
Predicted band size: 77, 76, 64, 72, 82, 85, 83, 75, 81 kDa
Observed band size: 77 kDa -
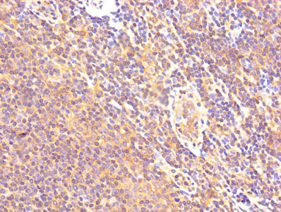
IHC image of CSB-PA004561YA01HU diluted at 1:500 and staining in paraffin-embedded human lymph node tissue performed on a Leica BondTM system. After dewaxing and hydration, antigen retrieval was mediated by high pressure in a citrate buffer (pH 6.0). Section was blocked with 10% normal goat serum 30min at RT. Then primary antibody (1% BSA) was incubated at 4°C overnight. The primary is detected by a biotinylated secondary antibody and visualized using an HRP conjugated SP system.
-
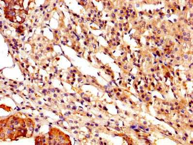
IHC image of CSB-PA004561YA01HU diluted at 1:500 and staining in paraffin-embedded human adrenal gland tissue performed on a Leica BondTM system. After dewaxing and hydration, antigen retrieval was mediated by high pressure in a citrate buffer (pH 6.0). Section was blocked with 10% normal goat serum 30min at RT. Then primary antibody (1% BSA) was incubated at 4°C overnight. The primary is detected by a biotinylated secondary antibody and visualized using an HRP conjugated SP system.
-
Immunofluorescence staining of A549 cells with CSB-PA004561YA01HU at 1:166, counter-stained with DAPI. The cells were fixed in 4% formaldehyde, permeabilized using 0.2% Triton X-100 and blocked in 10% normal Goat Serum. The cells were then incubated with the antibody overnight at 4°C. The secondary antibody was Alexa Fluor 488-congugated AffiniPure Goat Anti-Rabbit IgG(H+L).
-
-
其他:
產品詳情
-
產品名稱:Rabbit anti-Homo sapiens (Human) CAST Polyclonal antibody
-
Uniprot No.:
-
基因名:CAST
-
別名:BS 17 antibody; Calpain inhibitor antibody; Calpastatin antibody; Cast antibody; Heart type calpastatin antibody; ICAL_HUMAN antibody; MGC9402 antibody; Sperm BS 17 component antibody; Sperm BS-17 component antibody
-
宿主:Rabbit
-
反應種屬:Human, Mouse
-
免疫原:Recombinant Human Calpastatin protein (1-667AA)
-
免疫原種屬:Homo sapiens (Human)
-
標記方式:Non-conjugated
本頁面中的產品,CAST Antibody (CSB-PA004561YA01HU),的標記方式是Non-conjugated。對于CAST Antibody,我們還提供其他標記。見下表:
-
克隆類型:Polyclonal
-
抗體亞型:IgG
-
純化方式:>95%, Protein G purified
-
濃度:It differs from different batches. Please contact us to confirm it.
-
保存緩沖液:Preservative: 0.03% Proclin 300
Constituents: 50% Glycerol, 0.01M PBS, PH 7.4 -
產品提供形式:Liquid
-
應用范圍:ELISA, WB, IHC, IF
-
推薦稀釋比:
Application Recommended Dilution WB 1:1000-1:5000 IHC 1:500-1:1000 IF 1:50-1:200 -
Protocols:
-
儲存條件:Upon receipt, store at -20°C or -80°C. Avoid repeated freeze.
-
貨期:Basically, we can dispatch the products out in 1-3 working days after receiving your orders. Delivery time maybe differs from different purchasing way or location, please kindly consult your local distributors for specific delivery time.
-
用途:For Research Use Only. Not for use in diagnostic or therapeutic procedures.
相關產品
靶點詳情
-
功能:Specific inhibition of calpain (calcium-dependent cysteine protease). Plays a key role in postmortem tenderization of meat and have been proposed to be involved in muscle protein degradation in living tissue.
-
基因功能參考文獻:
- single nucleotide polymorphisms in CAST gene confer risk for keratoconus susceptibility in Han Chinese population PMID: 29428799
- Kaposi sarcoma-associated herpesvirus reduces CAST (calpastatin) and consequently decreases ATG5 expression in both THP-1 monocytoid cells and primary monocytes. PMID: 27715410
- Loss of CAST in angiogenic ECs facilitates mu-calpain-induced SOCS3 degradation, which amplifies pathological angiogenesis through interleukin-6/STAT3/VEGF-C axis. PMID: 25648699
- We describe PLACK syndrome, as a clinical entity of defective epidermal adhesion, caused by loss-of-function mutations in calpastatin. PMID: 25683118
- Calpastatin binds with Cav1.2 amino acid motifs in a calcium dependent manner. PMID: 24462690
- Calpastatin gene (CAST) is not associated with late onset sporadic Parkinson's disease in the Han Chinese population. PMID: 23951044
- Linkage analysis and genetic association support involvement of CAST gene in the genetic susceptibility to keratoconus. PMID: 23449483
- Neuronal overexpression of calpastatin modulates amyloid precursor protein processing in brains of transgenic beta-amyloid depositing mice. PMID: 22206846
- Calpastatin overexpression reduces calpain-mediated proteolysis and behavioral impairment after traumatic brain injury. PMID: 22572592
- Mycoplasma hyorhinis membrane lipoproteins induce calpastatin upregulation in human cells PMID: 22288381
- calpastatin-calpain balance varied during Th-1,2, and -17 development; overexpression of a domain of calpastatin suppressed production of IL-6 and IL-17 by Th cells and of IL-6 by fibroblasts; suppression of IL-6 occurred by reducing NF-kappaB signaling PMID: 22046434
- The data supports the hypothesis that calpastatin may play a role in regulating the initial metastatic dissemination of breast cancer. PMID: 21531560
- calpain basal activity becomes measurable at a significant extent in peripheral blood mononuclear cells from cystic fibrosis patients due to a 40-60% decrease in both calpastatin protein and inhibitory activity PMID: 21983488
- CSL competes with CaM as a partial agonist for the site in the IQ domain in the C-terminal region of the Cav1.2 channel, which may be involved in activation of the channel. PMID: 21937422
- intervertebral discs at early stages of degeneration expressed low levels of calpastatin, and few cells expressed degenerative enzymes. At more advanced stages of degeneration, expression and number of cells immunopositive for calpastatin were higher PMID: 21839844
- Variations in CAST gene is associated with femoral neck Low bone mineral density. PMID: 21424381
- A confirmation study reports that a single nucleotide polymorphism and CAST are associated with Parkinson disease. PMID: 20127884
- involved in the proteolysis of amyloid precursor protein, which is thought to be abnormal in patients with Alzheimer's disease PMID: 11849768
- Overexpression of calpastatin reduced muscle atrophy during 10 day unloading period. Overexpression completely prevented shift in myofibrillar myosin content from slow to fast isoforms, which normally occurs in muscle unloading. PMID: 12482888
- insights into how the calpain/calpastatin network is spatially and temporally regulated in cells binding to the extracellular matrix PMID: 14559243
- Calpastatin amino acid side chains at leucine-11 and isoleucine-18 interact with hydrophobic pockets in calpain, and each of these interactions is indispensable for effective inhibition of calpain. PMID: 14992597
- Overexpression of calpastatin in transgenic mice is associated with an increase in GLUT4 protein. PMID: 15014085
- A complete calpain-calpastatin system is expressed in the human oocyte and may play a role in the various calcium-mediated processes occurring during activation of human oocytes. PMID: 15950654
- Results suggest a regulation on the calpain-calpastatin expression response to muscle damaging eccentric exercise, but not concentric exercise. PMID: 18340456
- genetically determined IL-1alpha levels may modulate transcription of calpain and calpastatin PMID: 18498295
- NMR data of calapastin tripartite binding mode to capain induced by calcium were presented. PMID: 18519038
- performed a full NMR assignment of hCSD1 to characterize it in its solution state PMID: 18537264
- Role of the calpain-calpastatin system in the density-dependent growth arrest. PMID: 18809371
- recruitment of calpastatin into aggregates allows translocation and activation of protease to the membranes; on the contrary, the presence of large amounts of calpastatin in the cytosol prevents both processes, protecting the cell from proteolysis PMID: 19103264
- Genome-wide association study of gene-disease association and pharmacogenomic / toxicogenomic. (HuGE Navigator) PMID: 18195134
顯示更多
收起更多
-
相關疾病:Peeling skin with leukonychia, acral punctate keratoses, cheilitis, and knuckle pads (PLACK)
-
蛋白家族:Protease inhibitor I27 (calpastatin) family
-
數據庫鏈接:
Most popular with customers
-
-
YWHAB Recombinant Monoclonal Antibody
Applications: ELISA, WB, IHC, IF, FC
Species Reactivity: Human, Mouse, Rat
-
Phospho-YAP1 (S127) Recombinant Monoclonal Antibody
Applications: ELISA, WB, IHC
Species Reactivity: Human
-
-
-
-
-















