CASP2 Antibody
-
中文名稱:CASP2兔多克隆抗體
-
貨號:CSB-PA004547LA01HU
-
規格:¥440
-
圖片:
-
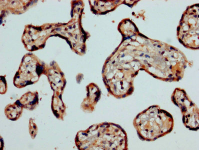
IHC image of CSB-PA004547LA01HU diluted at 1:1200 and staining in paraffin-embedded human placenta tissue performed on a Leica BondTM system. After dewaxing and hydration, antigen retrieval was mediated by high pressure in a citrate buffer (pH 6.0). Section was blocked with 10% normal goat serum 30min at RT. Then primary antibody (1% BSA) was incubated at 4°C overnight. The primary is detected by a biotinylated secondary antibody and visualized using an HRP conjugated SP system.
-
Immunofluorescence staining of Hela cells with CSB-PA004547LA01HU at 1:400, counter-stained with DAPI. The cells were fixed in 4% formaldehyde, permeabilized using 0.2% Triton X-100 and blocked in 10% normal Goat Serum. The cells were then incubated with the antibody overnight at 4°C. The secondary antibody was Alexa Fluor 488-congugated AffiniPure Goat Anti-Rabbit IgG(H+L).
-
-
其他:
產品詳情
-
產品名稱:Rabbit anti-Homo sapiens (Human) CASP2 Polyclonal antibody
-
Uniprot No.:
-
基因名:
-
別名:CASP 2 antibody; CASP-2 antibody; Casp2 antibody; CASP2_HUMAN antibody; Caspase 2 antibody; Caspase 2 apoptosis related cysteine peptidase antibody; Caspase-2 subunit p12 antibody; Caspase2 antibody; ICH 1 antibody; ICH 1 protease antibody; ICH 1L antibody; ICH1 antibody; ICH1 protease antibody; ICH1L antibody; NEDD-2 antibody; NEDD2 antibody; Neural precursor cell expressed developmentally down-regulated protein 2 antibody; PPP1R57 antibody; Protease ICH-1 antibody; Protein phosphatase 1 regulatory subunit 57 antibody
-
宿主:Rabbit
-
反應種屬:Human
-
免疫原:Recombinant Human Caspase-2 protein (2-452AA)
-
免疫原種屬:Homo sapiens (Human)
-
標記方式:Non-conjugated
本頁面中的產品,CASP2 Antibody (CSB-PA004547LA01HU),的標記方式是Non-conjugated。對于CASP2 Antibody,我們還提供其他標記。見下表:
-
克隆類型:Polyclonal
-
抗體亞型:IgG
-
純化方式:>95%, Protein G purified
-
濃度:It differs from different batches. Please contact us to confirm it.
-
保存緩沖液:Preservative: 0.03% Proclin 300
Constituents: 50% Glycerol, 0.01M PBS, PH 7.4 -
產品提供形式:Liquid
-
應用范圍:ELISA, IHC, IF
-
推薦稀釋比:
Application Recommended Dilution IHC 1:1000-1:2000 IF 1:200-1:500 -
Protocols:
-
儲存條件:Upon receipt, store at -20°C or -80°C. Avoid repeated freeze.
-
貨期:Basically, we can dispatch the products out in 1-3 working days after receiving your orders. Delivery time maybe differs from different purchasing way or location, please kindly consult your local distributors for specific delivery time.
-
用途:For Research Use Only. Not for use in diagnostic or therapeutic procedures.
相關產品
靶點詳情
-
功能:Involved in the activation cascade of caspases responsible for apoptosis execution. Might function by either activating some proteins required for cell death or inactivating proteins necessary for cell survival. Associates with PIDD1 and CRADD to form the PIDDosome, a complex that activates CASP2 and triggers apoptosis in response to genotoxic stress.
-
基因功能參考文獻:
- these data identify a novel caspase-2-interacting factor, FAN, and expand the role for the enzyme in seemingly non-apoptotic cellular mechanisms. PMID: 29621545
- Results suggest that TG-induced macrophage cell death is mediated via the caspase-2. PMID: 28768565
- study demonstrates that apoptosis inhibitor 5 (API5/AAC11) is an endogenous and direct inhibitor of caspase-2. API5 protein directly binds to the caspase recruitment domain (CARD) of caspase-2 and impedes dimerization and activation of caspase-2. PMID: 28336776
- This peptide, Ac-VDTTD-AFC, was efficiently cleaved by purified caspase-2 and auto-activating caspase-2 in mammalian cells, and exhibited better selectivity for caspase-2 relative to caspase-3 than reagents that are currently available. PMID: 27919034
- There results support a special role for miR-149 in malignant glioma by targeting Caspase-2 PMID: 27049919
- Whole exome sequencing (WES) of an affected fetus, and subsequent Sanger sequencing of the second fetus, revealed a homozygous frameshift variant in CRADD, which encodes an adaptor protein that interacts with PIDD and caspase-2 to initiate apoptosis PMID: 28686357
- This study shows that human procaspase-2 interaction with 14-3-3 zeta is governed by phosphorylation at both S139 and S164. PMID: 28943433
- NPM1-dependent nucleolar PIDDosome is a key initiator of the caspase-2 activation cascade. PMID: 28432080
- Sensitization of colon carcinoma cells to radiation-induced cell death and DNA-damage by HuR knockdown critically depends on caspase-2. PMID: 28219770
- BCL9L dysfunction contributes to aneuploidy tolerance in both TP53-WT and mutant cells by reducing basal caspase-2 levels and preventing cleavage of MDM2 and BID. PMID: 28073006
- CASP2 down-regulation had a reverse relationship with miR-383 down-regulation in regulating epithelial ovarian cancer development. PMID: 27567588
- Results suggest that mutations at all three cleavage sites of caspase-2 protein neither affect the macromolecular core complex assembly, nor modify caspase-2 activity upon DNA damage. Consequently, caspase-2 activation occurs in the macromolecular complex without its dissociation. PMID: 27193717
- These findings indicate that miR-125a-5p decreases after HOTAIR knockdown to promote cancer cell apoptosis by releasing caspase 2. PMID: 26962687
- these studies elucidate a Caspase-2-p53 signaling network that impacts lung tumorigenesis and chemotherapy response in vivo. PMID: 25301067
- We have also demonstrated that these correlations are tissue specific being reduced (CASP9 and CASP10) or different (CASP2) in the liver PMID: 25330190
- the initiator caspase-2 is required for robust death of ovarian cancer cells induced by FASN inhibitors PMID: 25151963
- HuR sensitizes adenocarcinoma cells to the intrinsic apoptotic pathway by upregulating the translation of caspase-2. PMID: 25010987
- Authors have demonstrated in vitro and in vivo that loss of function of caspase-2 allows to escape oncogenic stress induced senescence. PMID: 25114039
- Data strongly argue against a critical role for caspase-2 in ER-stress-induced apoptosis. PMID: 24292555
- axon regeneration promoted by suppression of CASP2 and CASP6 is CNTF-dependent and mediated through the JAK/STAT signalling pathway PMID: 24727569
- Our results reveal a novel mechanism of caspase-2 pre-mRNA splicing. PMID: 24321384
- TRIM16 can promote apoptosis by directly modulating caspase-2 activity in cancer cells. PMID: 23404198
- The role of caspase-2 isoforms in the progression of breast cancer may considerably differ between pre- and post-chemotherapy patients. PMID: 23469978
- MiR-708 may act as an oncogene and induce the carcinogenicity of bladder cancer by down-regulating Caspase-2 level. PMID: 23568547
- caspase-2 has a role as an initiator caspase in lipoapoptosis PMID: 23553630
- Data indicate induction of caspase-2 by sorting nexin 5 (SNX5) in papillary thyroid carcinoma PMID: 22486813
- activated human caspase-2 shares remarkably overlapping protease specificity with the prototype apoptotic executioner caspases-3 and -7, suggesting that caspase-2 could function as a proapoptotic caspase once released from the activating complex. PMID: 22825847
- IRE1alpha regulates translation of a proapoptotic protein, Caspase-2, through terminating microRNA biogenesis, and noncoding RNAs are part of the ER stress response PMID: 23042294
- These results revealed a thus far unknown, obligatory role for caspase-2 as an initiator caspase during pore-forming toxins -mediated apoptosis. PMID: 22531785
- caspase-2 acts upstream of caspase-3 and that caspase-2 functions in response to DNA damage in both PhSe-T- and MeSe-T-induced apoptosis. PMID: 22002103
- Tumor-suppressing function of caspase-2 requires catalytic site Cys-320 and site Ser-139 in mice. PMID: 22396545
- TAp73alpha represses caspase-2 enzymatic activity and by this means reduce caspase-2 induced Bax activation, loss of mitochondrial transmembrane potential and resulting apoptosis in small cell lung carcinoma cells. PMID: 22201672
- Data suggest that this novel role of caspase-2 as a translational regulator of p21 expression occurs not only independently of its enzymatic activity but also does not require known caspase-2-activating platforms. PMID: 21475302
- Findings suggest that XPC enhances DNA damage-induced apoptosis through inhibition of caspase-2 (casp-2S) transcription. PMID: 22174370
- Studies indicate that DNA damage may trigger caspase 2 activation. PMID: 22077397
- somatic mutation of caspase-2 is rare in gastric and colorectal carcinomas. PMID: 21940110
- ras-induced down-regulation of caspase-2 represents a novel mechanism by which oncogenic Ras protects malignant intestinal epithelial cells from anoikis PMID: 21903589
- Structural and enzymatic insights into caspase-2 protein substrate recognition and catalysis. PMID: 21828056
- Caspase-2 directly cleaves the E3 ubiquitin ligase Mdm2 at Asp 367, leading to loss of the C-terminal RING domain responsible for p53 ubiquitination. PMID: 21726810
- analyzed cancer tissues from acute leukemias, breast cancers, lung cancers, and liver cancers for the detection of caspase-2 somatic mutations PMID: 21332795
- The changes of caspase-2 and caspase-5 activities could be indicative of their involvement in the cervical malignancy mechanisms. PMID: 21051981
- Activation of caspase-9, but not caspase-2 or caspase-8, is essential for heat-induced apoptosis in Jurkat cells. PMID: 20978129
- This review discusses recent advances that have been made to help elucidate the true role of caspase 2 and the potential contribution of caspase-2 to the pathology of human diseases including cancer. PMID: 20158568
- caspase-2 activation is commonly associated with induction of IFN-beta-induced apoptosis in IFN-beta-sensitive melanoma cells PMID: 20187765
- we suggest that caspase-2 and/or -8 plays an important role in regulating gamma-secretase and may possibly provide a basis for the development of therapeutics targeting apoptosis PMID: 20143425
- The expressions of PIDD and RAIDD are upregulated during tumour progression in renal cell carcinomas. PMID: 20208132
- caspase 2 functions as an endogenous inhibitor of NFkappaB-dependent cell survival and this mechanism may contribute to tumor suppression in humans. PMID: 19935698
- Data show that the N-t-boc-Daidzein induced apoptosis is characterized by caspase activation, XIAP and AKT degradation. PMID: 19738422
- Data indicate that caspase activity was not essential for docetaxel-induced cytotoxicity since cell death associated with lysosomal membrane permeabilization still occurred in the presence of caspase inhibitors. PMID: 19715609
- role in cytochrome C release and apoptosis from the nucleus PMID: 11823470
顯示更多
收起更多
-
蛋白家族:Peptidase C14A family
-
組織特異性:Expressed at higher levels in the embryonic lung, liver and kidney than in the heart and brain. In adults, higher level expression is seen in the placenta, lung, kidney, and pancreas than in the heart, brain, liver and skeletal muscle.
-
數據庫鏈接:
Most popular with customers
-
-
YWHAB Recombinant Monoclonal Antibody
Applications: ELISA, WB, IHC, IF, FC
Species Reactivity: Human, Mouse, Rat
-
Phospho-YAP1 (S127) Recombinant Monoclonal Antibody
Applications: ELISA, WB, IHC
Species Reactivity: Human
-
-
-
-
-















