CARD17 Antibody
-
中文名稱:CARD17兔多克隆抗體
-
貨號:CSB-PA680389
-
規格:¥1100
-
圖片:
-
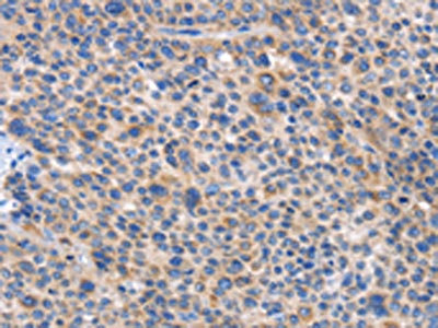
The image on the left is immunohistochemistry of paraffin-embedded Human thyroid cancer tissue using CSB-PA680389(CARD17 Antibody) at dilution 1/50, on the right is treated with synthetic peptide. (Original magnification: ×200)
-
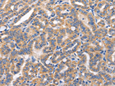
The image on the left is immunohistochemistry of paraffin-embedded Human liver cancer tissue using CSB-PA680389(CARD17 Antibody) at dilution 1/50, on the right is treated with synthetic peptide. (Original magnification: ×200)
-
-
其他:
產品詳情
-
Uniprot No.:
-
基因名:
-
別名:CAR17_HUMAN antibody; CARD 17 antibody; CARD17 antibody; Caspase 1 inhibitor antibody; Caspase recruitment domain containing protein 17 antibody; Caspase recruitment domain-containing protein 17 antibody; Caspase-1 inhibitor INCA antibody; Caspase1 inhibitor antibody; Inhibitory caspase recruitment domain (CARD) protein antibody; Inhibitory caspase recruitment domain protein antibody
-
宿主:Rabbit
-
反應種屬:Human
-
免疫原:Synthetic peptide of Human CARD17
-
免疫原種屬:Homo sapiens (Human)
-
標記方式:Non-conjugated
-
抗體亞型:IgG
-
純化方式:Antigen affinity purification
-
濃度:It differs from different batches. Please contact us to confirm it.
-
保存緩沖液:-20°C, pH7.4 PBS, 0.05% NaN3, 40% Glycerol
-
產品提供形式:Liquid
-
應用范圍:ELISA,IHC
-
推薦稀釋比:
Application Recommended Dilution ELISA 1:1000-1:5000 IHC 1:50-1:200 -
Protocols:
-
儲存條件:Upon receipt, store at -20°C or -80°C. Avoid repeated freeze.
-
貨期:Basically, we can dispatch the products out in 1-3 working days after receiving your orders. Delivery time maybe differs from different purchasing way or location, please kindly consult your local distributors for specific delivery time.
-
用途:For Research Use Only. Not for use in diagnostic or therapeutic procedures.
相關產品
靶點詳情
-
功能:Regulator of procaspase-1/CASP1 activation implicated in the regulation of the proteolytic maturation of pro-IL-1beta/IL1B and its release during inflammation. Inhibits the release of IL1B in response to LPS in monocytes. However, unlike CASP1, do not induce NF-kappa-B activation.
-
基因功能參考文獻:
- INCA is a novel intracellular regulator of procaspase-1 activation, involved in the regulation of pro-IL-1beta processing and its release during inflammation PMID: 15383541
-
亞細胞定位:Cytoplasm.
-
組織特異性:Ubiquitous.
-
數據庫鏈接:
Most popular with customers
-
-
YWHAB Recombinant Monoclonal Antibody
Applications: ELISA, WB, IHC, IF, FC
Species Reactivity: Human, Mouse, Rat
-
Phospho-YAP1 (S127) Recombinant Monoclonal Antibody
Applications: ELISA, WB, IHC
Species Reactivity: Human
-
-
-
-
-















