CAPZA1 Antibody
-
中文名稱:CAPZA1兔多克隆抗體
-
貨號:CSB-PA928245
-
規格:¥1100
-
圖片:
-
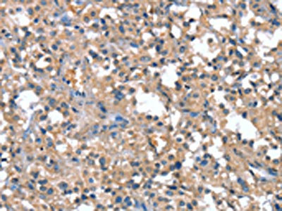
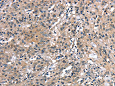
The image on the left is immunohistochemistry of paraffin-embedded Human thyroid cancer tissue using CSB-PA928245(CAPZA1 Antibody) at dilution 1/20, on the right is treated with synthetic peptide. (Original magnification: ×200)
-
The image on the left is immunohistochemistry of paraffin-embedded Human gastric cancer tissue using CSB-PA928245(CAPZA1 Antibody) at dilution 1/20, on the right is treated with synthetic peptide. (Original magnification: ×200)
-
-
其他:
產品詳情
-
Uniprot No.:
-
基因名:
-
別名:Cap Z antibody; Cappa 1 antibody; Cappa1 antibody; Capping protein (actin filament) muscle Z line alpha 1 antibody; Capping protein alpha 1 antibody; Capping protein muscle Z line alpha 1 antibody; CapZ alpha 1 antibody; CapZ alpha-1 antibody; CAPZ antibody; CAPZA 1 antibody; Capza1 antibody; CAZ 1 antibody; CAZ1 antibody; CAZA1_HUMAN antibody; F actin capping protein alpha 1 subunit antibody; F-actin-capping protein subunit alpha-1 antibody
-
宿主:Rabbit
-
反應種屬:Human,Mouse,Rat
-
免疫原:Synthetic peptide of Human CAPZA1
-
免疫原種屬:Homo sapiens (Human)
-
標記方式:Non-conjugated
-
抗體亞型:IgG
-
純化方式:Antigen affinity purification
-
濃度:It differs from different batches. Please contact us to confirm it.
-
保存緩沖液:-20°C, pH7.4 PBS, 0.05% NaN3, 40% Glycerol
-
產品提供形式:Liquid
-
應用范圍:ELISA,IHC
-
推薦稀釋比:
Application Recommended Dilution ELISA 1:1000-1:2000 IHC 1:25-1:100 -
Protocols:
-
儲存條件:Upon receipt, store at -20°C or -80°C. Avoid repeated freeze.
-
貨期:Basically, we can dispatch the products out in 1-3 working days after receiving your orders. Delivery time maybe differs from different purchasing way or location, please kindly consult your local distributors for specific delivery time.
-
用途:For Research Use Only. Not for use in diagnostic or therapeutic procedures.
相關產品
靶點詳情
-
功能:F-actin-capping proteins bind in a Ca(2+)-independent manner to the fast growing ends of actin filaments (barbed end) thereby blocking the exchange of subunits at these ends. Unlike other capping proteins (such as gelsolin and severin), these proteins do not sever actin filaments. May play a role in the formation of epithelial cell junctions.
-
基因功能參考文獻:
- Data show that CAPZA1 inhibits EMT in hepatocellular carcinoma (HCC cells by regulating actin cytoskeleton remodeling, thereby reducing the metastatic ability of the cells. PMID: 28093067
- Disease causing mutations in inverted formin 2 regulate its binding to G-actin, F-actin capping protein (CapZ alpha-1) and profilin 2. PMID: 26764407
- mDia1 displaced from the barbed end by CapZ Actin Capping Protein can randomly slide along the actin filament and later return. PMID: 26566078
- The present study suggests that CAPZA1 could be a marker of good prognosis in gastric cancer and shows that CAPZA1 is associated with decreased cancer cell migration and invasion. PMID: 23545944
- CAPAZA1 is over expressed in malignant melanoma. PMID: 21566537
- V-1, a protein expressed transiently during murine cerebellar development, regulates actin polymerization via interaction with capping protein PMID: 12488317
- Cd2 antigen is linked to this protein via CMS and CIN85. PMID: 12690097
- CKIP-1 has a role in cell morphology that depends on its interaction with actin-capping protein PMID: 16987810
- Damaging exercise induced the expression of capZalpha, MCIP1, CARP1, DNAJB2, c-myc, and junD, each of which are likely involved in skeletal muscle growth, remodeling, and stress management. PMID: 18321953
顯示更多
收起更多
-
亞細胞定位:Cytoplasm, cytoskeleton.
-
蛋白家族:F-actin-capping protein alpha subunit family
-
數據庫鏈接:
Most popular with customers
-
-
YWHAB Recombinant Monoclonal Antibody
Applications: ELISA, WB, IHC, IF, FC
Species Reactivity: Human, Mouse, Rat
-
Phospho-YAP1 (S127) Recombinant Monoclonal Antibody
Applications: ELISA, WB, IHC
Species Reactivity: Human
-
-
-
-
-















