CAPNS1 Antibody
-
中文名稱:CAPNS1兔多克隆抗體
-
貨號:CSB-PA796509
-
規格:¥1100
-
圖片:
-
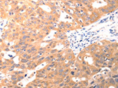
The image on the left is immunohistochemistry of paraffin-embedded Human ovarian cancer tissue using CSB-PA796509(CAPNS1 Antibody) at dilution 1/60, on the right is treated with fusion protein. (Original magnification: ×200)
-
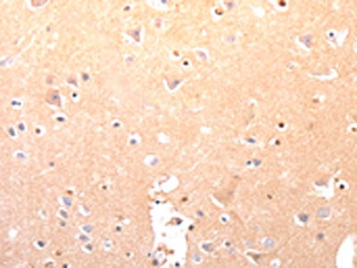
The image on the left is immunohistochemistry of paraffin-embedded Human brain tissue using CSB-PA796509(CAPNS1 Antibody) at dilution 1/60, on the right is treated with fusion protein. (Original magnification: ×200)
-
Gel: 12%SDS-PAGE, Lysate: 60 μg, Lane 1-2: K562 cells, NIH/3T3 cells, Primary antibody: CSB-PA796509(CAPNS1 Antibody) at dilution 1/800, Secondary antibody: Goat anti rabbit IgG at 1/8000 dilution, Exposure time: 15 seconds
-
-
其他:
產品詳情
-
Uniprot No.:
-
基因名:CAPNS1
-
別名:30K antibody; Calcium activated neutral proteinase antibody; Calcium activated neutral proteinase small subunit antibody; Calcium dependent protease small subunit 1 antibody; Calcium dependent protease small subunit antibody; Calcium-activated neutral proteinase small subunit antibody; Calcium-dependent protease small subunit 1 antibody; Calcium-dependent protease small subunit antibody; Calpain 4 antibody; Calpain 4 small subunit (30K) antibody; Calpain 4 small subunit antibody; Calpain regulatory subunit antibody; Calpain S1 antibody; Calpain small polypeptide antibody; Calpain small subunit 1 antibody; Calpain4 antibody; CalpainS1 antibody; CANP antibody; CANP small subunit antibody; CANPS antibody; CAPN 4 antibody; CAPN S1 antibody; CAPN4 antibody; CAPNS 1 antibody; CAPNS antibody; Capns1 antibody; CDPS antibody; CPNS1_HUMAN antibody; CSS 1 antibody; CSS1 antibody
-
宿主:Rabbit
-
反應種屬:Human,Mouse,Rat
-
免疫原:Fusion protein of Human CAPNS1
-
免疫原種屬:Homo sapiens (Human)
-
標記方式:Non-conjugated
-
抗體亞型:IgG
-
純化方式:Antigen affinity purification
-
濃度:It differs from different batches. Please contact us to confirm it.
-
保存緩沖液:-20°C, pH7.4 PBS, 0.05% NaN3, 40% Glycerol
-
產品提供形式:Liquid
-
應用范圍:ELISA,WB,IHC
-
推薦稀釋比:
Application Recommended Dilution ELISA 1:1000-1:5000 WB 1:500-1:2000 IHC 1:50-1:200 -
Protocols:
-
儲存條件:Upon receipt, store at -20°C or -80°C. Avoid repeated freeze.
-
貨期:Basically, we can dispatch the products out in 1-3 working days after receiving your orders. Delivery time maybe differs from different purchasing way or location, please kindly consult your local distributors for specific delivery time.
-
用途:For Research Use Only. Not for use in diagnostic or therapeutic procedures.
相關產品
靶點詳情
-
功能:Regulatory subunit of the calcium-regulated non-lysosomal thiol-protease which catalyzes limited proteolysis of substrates involved in cytoskeletal remodeling and signal transduction.
-
基因功能參考文獻:
- that Capn4 promotes cell proliferation by increasing MAPK7 expression PMID: 29331389
- Calpain small subunit 1 (Capn4) overexpression increased the protein level of cleaved talin and and activated the focal adhesion kinase (FAK)/AKT/MAPK signaling in 786-O cells, while Capn4 silencing decreased the protein level of cleaved talin in Caki-1 cells. PMID: 29648579
- Capn4 and miR-1271 may serve as potential therapeutic targets for the treatment of colorectal cancer. PMID: 29331762
- MALAT1 and Capn4 were up-regulated while miR-124 expression was down-regulated in nasopharyngeal carcinoma cell lines. PMID: 28857668
- Capn4 promotes epithelial-mesenchymal transition in human melanoma cells through activation of the Wnt/beta-catenin pathway. PMID: 27878263
- CAPNS1 depletion is coupled to impairment of breast cancer cell growth. PMID: 26771715
- High levels of Capn4 expression were associated with lymph node metastasis and large tumor size in non-small cell lung cancer patients.Capn4 promotes non-small cell lung cancer progression via upregulation of matrix metalloproteinase 2. PMID: 25636510
- HBXIP was able to up-regulate Capn4 at the levels of promoter. PMID: 25304384
- The overexpression of Capn4 is a novel negative prognostic marker, and Capn4 may be used as a new target in therapeutic strategies for human glioma. PMID: 24628706
- Capn4 can contribute to hepatocellular carcinoma growth and metastasis PMID: 24962955
- Capn4 mRNA and protein are increased in human clear cell renal cell carcinoma tissues and higher Capn4 levels are associated with advanced clinical tumour stage and shorter overall survival. PMID: 24514433
- Capn4 upregulated MMP2 via nuclear factor-kappaB activation, manifested by increased phosphorylation of p65, a subunit of NF-kappaB. PMID: 24703594
- This study suggests that augmented calpain activity is associated with increased incidence of thrombosis under hypoxic environments. PMID: 24297866
- Capn4 overexpression was implicated in ICC metastasis/invasion, and Capn4 overexpression may be used as a molecular therapeutic target for intrahepatic cholangiocarcinoma PMID: 23349941
- The authors conclude that hepatitis B virus X protein upregulate Capn4 through NF-kappaB/p65 to promote migration of hepatoma cells. PMID: 20419804
- CAPNS1 depletion is coupled to reduced levels of H2AX phosphorylation, not only in Ras(v12) induced BJ-ET fibroblasts, but also in a number of cellular systems upon genotoxic stress PMID: 20107320
- Genetic variations in LEP, CAPNS1 and ALOX15 show significant association with IL-6 expression. PMID: 19942621
- calpain-mediated XIAP degradation contributes to initiation of apoptosis in normal neutrophils and dysfunction of this regulatory pathway can lead to pathological neutrophil accumulation. PMID: 12121983
- Whereas alphaPIX guanine nucleotide exchange factor activity contributes to enhanced formation of cellular protrusions, the GEF-independent association with calpain 4 leads to induction of a yet unknown signaling cascade resulting in cell spreading. PMID: 15611136
- results reveal that especially NRF-1, along with AP-1 and, to a minor extent, an Sp1 site, is essential for human CAPNS1 promoter activity and gene expression PMID: 18234454
- c-Myc regulates calpain activity through calpastatin; apoptosis induced by calpain inhibition is dependent on c-Myc, and calpastatin knockdown promotes transformation in c-Myc-negative cells PMID: 18544539
- RasGAP and Capns1 interaction in oncogenic Ras cells is involved in regulating migration and cell survival. PMID: 18761085
顯示更多
收起更多
-
亞細胞定位:Cytoplasm. Cell membrane.
-
數據庫鏈接:
Most popular with customers
-
-
YWHAB Recombinant Monoclonal Antibody
Applications: ELISA, WB, IHC, IF, FC
Species Reactivity: Human, Mouse, Rat
-
Phospho-YAP1 (S127) Recombinant Monoclonal Antibody
Applications: ELISA, WB, IHC
Species Reactivity: Human
-
-
-
-
-















