CAPN6 Antibody
-
中文名稱:CAPN6兔多克隆抗體
-
貨號:CSB-PA897594LA01HU
-
規格:¥440
-
圖片:
-
Western blot
All lanes: CAPN6 antibody at 5μg/ml + Human placenta tissue
Secondary
Goat polyclonal to rabbit IgG at 1/10000 dilution
Predicted band size: 75 kDa
Observed band size: 75 kDa -
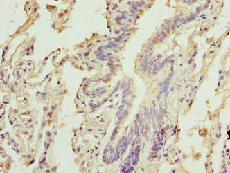
Immunohistochemistry of paraffin-embedded human lung tissue using CSB-PA897594LA01HU at dilution of 1:100
-
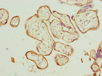
Immunohistochemistry of paraffin-embedded human placenta tissue using CSB-PA897594LA01HU at dilution of 1:100
-
-
其他:
產品詳情
-
產品名稱:Rabbit anti-Homo sapiens (Human) CAPN6 Polyclonal antibody
-
Uniprot No.:
-
基因名:CAPN6
-
別名:CALP M antibody; Calpain-6 antibody; Calpain-like protease X-linked antibody; Calpamodulin antibody; CalpM antibody; CAN6_HUMAN antibody; CANP X antibody; CANPX antibody; CAPN 6 antibody; Capn6 antibody
-
宿主:Rabbit
-
反應種屬:Human
-
免疫原:Recombinant Human Calpain-6 protein (195-494AA)
-
免疫原種屬:Homo sapiens (Human)
-
標記方式:Non-conjugated
本頁面中的產品,CAPN6 Antibody (CSB-PA897594LA01HU),的標記方式是Non-conjugated。對于CAPN6 Antibody,我們還提供其他標記。見下表:
-
克隆類型:Polyclonal
-
抗體亞型:IgG
-
純化方式:>95%, Protein G purified
-
濃度:It differs from different batches. Please contact us to confirm it.
-
保存緩沖液:Preservative: 0.03% Proclin 300
Constituents: 50% Glycerol, 0.01M PBS, PH 7.4 -
產品提供形式:Liquid
-
應用范圍:ELISA, WB, IHC
-
推薦稀釋比:
Application Recommended Dilution WB 1:1000-1:5000 IHC 1:20-1:200 -
Protocols:
-
儲存條件:Upon receipt, store at -20°C or -80°C. Avoid repeated freeze.
-
貨期:Basically, we can dispatch the products out in 1-3 working days after receiving your orders. Delivery time maybe differs from different purchasing way or location, please kindly consult your local distributors for specific delivery time.
-
用途:For Research Use Only. Not for use in diagnostic or therapeutic procedures.
相關產品
靶點詳情
-
功能:Microtubule-stabilizing protein that may be involved in the regulation of microtubule dynamics and cytoskeletal organization. May act as a regulator of RAC1 activity through interaction with ARHGEF2 to control lamellipodial formation and cell mobility. Does not seem to have protease activity as it has lost the active site residues.
-
基因功能參考文獻:
- High CAPN6 expression is associated with liver cancer. PMID: 26375440
- CAPN6 promotes atherogenicity in inflamed macrophages by disturbing CWC22/EJC systems. PMID: 27525442
- syndecan-2 exerts its pro-apoptotic function through modulation of the endothelin-1/NFkappaB signaling and through downregulation of calpain-6. PMID: 21681744
- results indicated that calpain 6 supported tumorigenesis by inhibiting apoptosis and facilitating angiogenesis. To our knowledge, this result is the first evidence implicating calpain 6 in tumorigenesis PMID: 18657900
-
亞細胞定位:Cytoplasm, perinuclear region. Cytoplasm, cytoskeleton, spindle. Note=During mitose associated with the mitotic spindle. At telophase colocalized to the midbody spindle.
-
蛋白家族:Peptidase C2 family
-
組織特異性:Expressed only in placenta.
-
數據庫鏈接:
Most popular with customers
-
-
YWHAB Recombinant Monoclonal Antibody
Applications: ELISA, WB, IHC, IF, FC
Species Reactivity: Human, Mouse, Rat
-
Phospho-YAP1 (S127) Recombinant Monoclonal Antibody
Applications: ELISA, WB, IHC
Species Reactivity: Human
-
-
-
-
-















