CAP2 Antibody
-
中文名稱:CAP2兔多克隆抗體
-
貨號:CSB-PA332497
-
規格:¥1100
-
圖片:
-
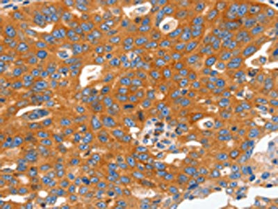
The image on the left is immunohistochemistry of paraffin-embedded Human ovarian cancer tissue using CSB-PA332497(CAP2 Antibody) at dilution 1/60, on the right is treated with fusion protein. (Original magnification: ×200)
-
The image on the left is immunohistochemistry of paraffin-embedded Human cervical cancer tissue using CSB-PA332497(CAP2 Antibody) at dilution 1/60, on the right is treated with fusion protein. (Original magnification: ×200)
-
Gel: 8%SDS-PAGE, Lysate: 40 μg, Lane: Human fetal muscle tissue, Primary antibody: CSB-PA332497(CAP2 Antibody) at dilution 1/700, Secondary antibody: Goat anti rabbit IgG at 1/8000 dilution, Exposure time: 1 minute
-
-
其他:
產品詳情
-
Uniprot No.:
-
基因名:CAP2
-
別名:2810452G09Rik antibody; adenylate cyclase associated protein 2 antibody; Adenylyl cyclase associated protein 2 antibody; Adenylyl cyclase-associated protein 2 antibody; CAP 2 antibody; CAP adenylate cyclase associated protein 2 antibody; CAP adenylate cyclase-associated protein 2 antibody; CAP; adenylate cyclase associated protein; 2 (yeast) antibody; cap2 antibody; CAP2_HUMAN antibody
-
宿主:Rabbit
-
反應種屬:Human,Mouse,Rat
-
免疫原:Fusion protein of Human CAP2
-
免疫原種屬:Homo sapiens (Human)
-
標記方式:Non-conjugated
-
抗體亞型:IgG
-
純化方式:Antigen affinity purification
-
濃度:It differs from different batches. Please contact us to confirm it.
-
保存緩沖液:-20°C, pH7.4 PBS, 0.05% NaN3, 40% Glycerol
-
產品提供形式:Liquid
-
應用范圍:ELISA,WB,IHC
-
推薦稀釋比:
Application Recommended Dilution ELISA 1:2000-1:5000 WB 1:500-1:2000 IHC 1:60-1:200 -
Protocols:
-
儲存條件:Upon receipt, store at -20°C or -80°C. Avoid repeated freeze.
-
貨期:Basically, we can dispatch the products out in 1-3 working days after receiving your orders. Delivery time maybe differs from different purchasing way or location, please kindly consult your local distributors for specific delivery time.
-
用途:For Research Use Only. Not for use in diagnostic or therapeutic procedures.
相關產品
靶點詳情
-
功能:May have a regulatory bifunctional role.
-
基因功能參考文獻:
- CAP2 overexpression is a novel prognostic marker in malignant melanoma. CAP2 expression seems to increase stepwise during tumor progression, suggesting the involvement of CAP2 in the aggressive behavior of malignant melanoma. PMID: 26374196
- CAP2 is upregulated in breast cancer and is associated with the expression of progesterone receptor and patient survival PMID: 27573674
- An important conserved function of CAP2 in higher vertebrates may be associated with the process of skeletal muscle development. PMID: 23022774
- CAP2 is up-regulated in human cancers and that is possibly related to multistage hepatocarcinogenesis. PMID: 17000669
-
亞細胞定位:Cell membrane; Peripheral membrane protein.
-
蛋白家族:CAP family
-
數據庫鏈接:
Most popular with customers
-
-
Phospho-YAP1 (S127) Recombinant Monoclonal Antibody
Applications: ELISA, WB, IHC
Species Reactivity: Human
-
-
-
-
-
-















