CANX Antibody
-
中文名稱:CANX兔多克隆抗體
-
貨號:CSB-PA106469
-
規格:¥1100
-
圖片:
-
The image on the left is immunohistochemistry of paraffin-embedded Human cervical cancer tissue using CSB-PA106469(CANX Antibody) at dilution 1/40, on the right is treated with fusion protein. (Original magnification: ×200)
-
The image on the left is immunohistochemistry of paraffin-embedded Human gastric cancer tissue using CSB-PA106469(CANX Antibody) at dilution 1/40, on the right is treated with fusion protein. (Original magnification: ×200)
-
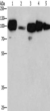
Gel: 8%SDS-PAGE, Lysate: 40 μg, Lane 1-5: Hela cells, mouse liver tissue, 231 cells, human placenta tissue, human carcinoma of sigmoid tissue, Primary antibody: CSB-PA106469(CANX Antibody) at dilution 1/420, Secondary antibody: Goat anti rabbit IgG at 1/8000 dilution, Exposure time: 20 seconds
-
-
其他:
產品詳情
-
Uniprot No.:
-
基因名:
-
別名:CANX; Calnexin; IP90; Major histocompatibility complex class I antigen-binding protein p88; p90
-
宿主:Rabbit
-
反應種屬:Human,Mouse,Rat
-
免疫原:Fusion protein of Human CANX
-
免疫原種屬:Homo sapiens (Human)
-
標記方式:Non-conjugated
-
抗體亞型:IgG
-
純化方式:Antigen affinity purification
-
濃度:It differs from different batches. Please contact us to confirm it.
-
保存緩沖液:-20°C, pH7.4 PBS, 0.05% NaN3, 40% Glycerol
-
產品提供形式:Liquid
-
應用范圍:ELISA,WB,IHC
-
推薦稀釋比:
Application Recommended Dilution ELISA 1:2000-1:5000 WB 1:500-1:2000 IHC 1:50-1:200 -
Protocols:
-
儲存條件:Upon receipt, store at -20°C or -80°C. Avoid repeated freeze.
-
貨期:Basically, we can dispatch the products out in 1-3 working days after receiving your orders. Delivery time maybe differs from different purchasing way or location, please kindly consult your local distributors for specific delivery time.
-
用途:For Research Use Only. Not for use in diagnostic or therapeutic procedures.
相關產品
靶點詳情
-
功能:Calcium-binding protein that interacts with newly synthesized glycoproteins in the endoplasmic reticulum. It may act in assisting protein assembly and/or in the retention within the ER of unassembled protein subunits. It seems to play a major role in the quality control apparatus of the ER by the retention of incorrectly folded proteins. Associated with partial T-cell antigen receptor complexes that escape the ER of immature thymocytes, it may function as a signaling complex regulating thymocyte maturation. Additionally it may play a role in receptor-mediated endocytosis at the synapse.
-
基因功能參考文獻:
- In summary, ER retention of pathogenic VLDLR mutants involves binding to calnexin, elevated endoplasmic reticulum stress, and delayed degradation which is dependent on SEL1L. PMID: 29371607
- Increased tumour protein levels of calnexin may be of prognostic significance in colorectal cancer, and calnexin may represent a potential target for future therapies. PMID: 27369741
- FUNDC1 integrates mitochondrial fission and mitophagy at the interface of the endoplasmic reticulum-mitochondrial contact site by working in concert with DRP1 and calnexin under hypoxic conditions in mammalian cells. PMID: 27145933
- Results of further analyses by using a CNX mutant imply that ERp29 and ERp57 recognize the same domain of CNX, whereas the mode of interaction with CNX might be somewhat different between them. PMID: 28456374
- Inhibit interaction between HIV-1 Nef and Calnexin to reverse HIV-induced lipid accumulation and prevent atherosclerosis. PMID: 27470515
- Endogenous NOX4 forms macromolecular complexes with calnexin, which are needed for the proper maturation, processing, and function of NOX4 in the endoplasmic reticulum. PMID: 26861875
- To study principles underlying dynamics and regulation of palmitoylation, the ER chaperone calnexin, which requires dual palmitoylation for function, was investigated. PMID: 26900856
- These observations point at a previously unrecognized contribution of calnexin to the retention of NMT1 at the ER membrane. PMID: 26603938
- Charcot-Marie-Tooth disease-related PMP22 is trapped in the endoplasmic reticulum by calnexin-dependent retention and Rer1-mediated early Golgi retrieval systems and partly degraded by the Hrd1-mediated endoplasmic reticulum-associated degradation system. PMID: 25385046
- Data indicate that protein tyrosine phosphatase 1B (PTP1B) association with calnexin is ubiquitin conjugating enzyme 9 (UBC9)-dependent. PMID: 25586181
- H-ERG trafficking was impaired by H2O2 after 48 h treatment, accompanied by reciprocal changes of expression between miR-17-5p seed miRNAs and several chaperones (Hsp70, Hsc70, CANX, and Golga20) PMID: 24386440
- Nef regulates the activity of calnexin to stimulate its interaction with gp160 at the expense of ABCA1 PMID: 25170080
- The impact of CANX genetic variants to heart rate was discovered. PMID: 24680774
- Soluble calnexin may fulfill functions similar to calreticulin. PMID: 24056258
- calnexin tunes the cellular responses to epidermal growth factor receptor in a manner that depends on the health status of the endoplasmic reticulum PMID: 23932718
- These findings demonstrated that calnexin strictly monitors the maturation of S protein by its direct binding, resulting in conferring infectivity on severe acute respiratory syndrome coronavirus. PMID: 22915798
- The data suggest that patients with low or defective TAP1 or calnexin in primary breast cancers may be at higher risks for developing brain metastasis due to the defects in T cell-based immunosurveillance. PMID: 22065046
- cysteine residues within calnexin are important for the structure and function of calnexin. PMID: 21842374
- The findings showed that calnexin is a stable component of the ribosome-translocon complex in a manner that is exquisitely dependent on calnexin's palmitoylation status. PMID: 22314232
- HLA-I, TAP1, CNX, LMP7, Erp57, Tapasin and ERAP1 were down-regulated in 68%, 44%, 48%, 40%, 52%, 32% and 20% of esophageal squamous cell carcinoma lesions then, respectively. PMID: 21362330
- Nixin/ZNRF4 to be central for the regulation of calnexin turnover. PMID: 21205830
- Results reveal the P-domain functions as a unique protein-protein interaction domain and implicate a peptidyl prolyl isomerase as a new element in the calnexin cycle. PMID: 20801878
- calnexin could bind PrP both in vitro and in vivo; calnexin prevents caspase-3-mediated cytotoxicity induced by PrP PMID: 20506117
- Transmembrane segments prevent surface expression of sodium channel Nav1.8 and promote calnexin-dependent channel degradation PMID: 20720009
- human delta opioid receptor (hdeltaOR) exists in a ternary complex with SERCA2b and the ER molecular chaperone calnexin PMID: 20528919
- Env interacts with intracellular CNX and extracellular PDI via discrete, largely nonoverlapping, regions. PMID: 20202930
- Results show that the phosphorylation of calnexin is linked to the efficiency of secretion of the cargo glycoprotein, in this case, alpha1-antitrypsin. PMID: 19815548
- Data show that demonstrate that Cnx preferentially associates with misfolded mutant opsins associated with retinitis pigmentosa. PMID: 19801547
- EDEM appeared to function in the ERAD (endoplasmic reticulum-associated degradation)pathway by accepting substrates from calnexin. PMID: 12610305
- EDEM was shown to extract misfolded glycoproteins, but not glycoproteins undergoing productive folding, from the calnexin cycle PMID: 12610306
- Data show that calnexin associates with newly synthesized proteolipid protein (PLP) molecules, binding stably to misfolded PLP. PMID: 12805210
- calnexin-downregulation may contribute to the metastatic phenotype of melanoma cells in vivo PMID: 14732231
- Calnexin provides long-term protection of wild-type Shaker protein from ER-associated degradation. PMID: 15161937
- the contribution of both the b and b' domains to the binding with CNX and calreticulin was revealed PMID: 15236594
- results support emerging models for a glycan-independent chaperone role for calnexin and for the mechanism of retention of misfolded membrane proteins in the endoplasmic reticulum PMID: 15537650
- Calnexin decreases with aging and might contribute to a cytoprotection in a variety of human age-related diseases. PMID: 15557823
- Data show that the major degradation pathway of the cystic fibrosis transmembrane conductance regulator with F508 deletion from the endoplasmic reticulum is independent of calnexin. PMID: 15923638
- Calnexin associates with the neonatal Fc receptor for IgG (FcRn) heavy chain before it associates noncovalently with beta 2-microglobulin. PMID: 16002696
- Polypeptide substrate recognition by CANX requires specific conformations of the CANX protein. PMID: 16061483
- We characterized a molecular mechanism by which calnexin regulates ER-stress-mediated apoptosis in a manner independent of its chaperone functions but dependent of its binding to Bap31. PMID: 16858427
- Here, we have observed that NCT N-linked oligosaccharides mediated specific interactions with the secretory pathway lectins calnexin and ERGIC-53 PMID: 16938437
- proportion of the human and the rat WT gonadotropin-releasing hormone receptor appears to be retained in the endoplasmic reticulum by calnexin, an effect that decreases GnRHR signaling capacity PMID: 17170088
- These results suggest that MCF-7 resistance to endoplasmic reticulum stress-induced apoptosis is partially mediated by the expression level of calnexin which in turn controls its sub-cellular localization, and its association with Bap31. PMID: 17203246
- D1 and D2 dopamine receptor expression is regulated by direct interaction with the chaperone protein calnexin PMID: 17395585
- Endoplasmic reticulum chaperones stabilize nicotinic receptor subunits and regulate receptor assembly. PMID: 17728248
- Interaction with calnexin led to accumulation of GAT1 in concentric bodies corresponding to previously described multilamellar ER-derived structures. PMID: 18367207
- the phosphorylation state of the calnexin cytosolic domain and its interaction with PACS-2 sort the chaperone between domains of the ER and the plasma membrane PMID: 18417615
- A dependence on calnexin for proper assembly of CFTR's membrane spanning domains, was identified. PMID: 18716059
- ERp57 must be physically associated with the calnexin cycle to catalyze isomerization reactions with most of its substrates PMID: 19054761
- alphaIIb interacts with calnexin via its N15-linked glycan, and alphaIIbbeta3 biogenesis is partially controlled by engagement of alphaIIb in the calnexin cycle. PMID: 16304048
顯示更多
收起更多
-
亞細胞定位:Endoplasmic reticulum membrane; Single-pass type I membrane protein. Endoplasmic reticulum. Melanosome.
-
蛋白家族:Calreticulin family
-
數據庫鏈接:
Most popular with customers
-
-
YWHAB Recombinant Monoclonal Antibody
Applications: ELISA, WB, IHC, IF, FC
Species Reactivity: Human, Mouse, Rat
-
Phospho-YAP1 (S127) Recombinant Monoclonal Antibody
Applications: ELISA, WB, IHC
Species Reactivity: Human
-
-
-
-
-















