CAND1 Antibody
-
中文名稱:CAND1兔多克隆抗體
-
貨號:CSB-PA774815LA01HU
-
規格:¥440
-
圖片:
-
Western Blot
Positive WB detected in: Hela whole cell lysate, Jurkat whole cell lysate, 293T whole cell lysate, HepG2 whole cell lysate, MCF-7 whole cell lysate
All lanes: CAND1 antibody at 4.9µg/ml
Secondary
Goat polyclonal to rabbit IgG at 1/50000 dilution
Predicted band size: 137, 118, 46 kDa
Observed band size: 137 kDa -
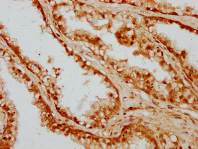
IHC image of CSB-PA774815LA01HU diluted at 1:300 and staining in paraffin-embedded human prostate cancer performed on a Leica BondTM system. After dewaxing and hydration, antigen retrieval was mediated by high pressure in a citrate buffer (pH 6.0). Section was blocked with 10% normal goat serum 30min at RT. Then primary antibody (1% BSA) was incubated at 4°C overnight. The primary is detected by a biotinylated secondary antibody and visualized using an HRP conjugated SP system.
-
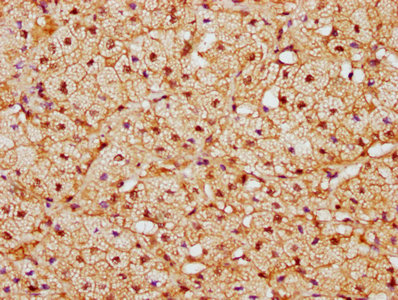
IHC image of CSB-PA774815LA01HU diluted at 1:300 and staining in paraffin-embedded human adrenal gland tissue performed on a Leica BondTM system. After dewaxing and hydration, antigen retrieval was mediated by high pressure in a citrate buffer (pH 6.0). Section was blocked with 10% normal goat serum 30min at RT. Then primary antibody (1% BSA) was incubated at 4°C overnight. The primary is detected by a biotinylated secondary antibody and visualized using an HRP conjugated SP system.
-
Immunofluorescence staining of A549 cells with CSB-PA774815LA01HU at 1:100, counter-stained with DAPI. The cells were fixed in 4% formaldehyde, permeabilized using 0.2% Triton X-100 and blocked in 10% normal Goat Serum. The cells were then incubated with the antibody overnight at 4°C. The secondary antibody was Alexa Fluor 488-congugated AffiniPure Goat Anti-Rabbit IgG(H+L).
-
-
其他:
產品詳情
-
產品名稱:Rabbit anti-Homo sapiens (Human) CAND1 Polyclonal antibody
-
Uniprot No.:
-
基因名:CAND1
-
別名:CAND 1 antibody; Cand1 antibody; CAND1_HUMAN antibody; Cullin associated and neddylation dissociated 1 antibody; Cullin associated and neddylation dissociated protein 1 antibody; Cullin associated NEDD8 dissociated protein 1 antibody; Cullin-associated and neddylation-dissociated protein 1 antibody; Cullin-associated NEDD8-dissociated protein 1 antibody; DKFZP434M1414 antibody; FLJ10114 antibody; FLJ10929 antibody; FLJ38691 antibody; FLJ90441 antibody; KIAA0829 antibody; p120 CAND1 antibody; TATA binding protein interacting protein 120A antibody; TBP interacting protein antibody; TBP interacting protein of 120 kDa A antibody; TBP Interacting Protein TIP120A antibody; TBP-interacting protein 120A antibody; TBP-interacting protein of 120 kDa A antibody; TIP120 antibody; TIP120 protein antibody; TIP120A antibody
-
宿主:Rabbit
-
反應種屬:Human
-
免疫原:Recombinant Human Cullin-associated NEDD8-dissociated protein 1 protein (1150-1230AA)
-
免疫原種屬:Homo sapiens (Human)
-
標記方式:Non-conjugated
本頁面中的產品,CAND1 Antibody (CSB-PA774815LA01HU),的標記方式是Non-conjugated。對于CAND1 Antibody,我們還提供其他標記。見下表:
-
克隆類型:Polyclonal
-
抗體亞型:IgG
-
純化方式:>95%, Protein G purified
-
濃度:It differs from different batches. Please contact us to confirm it.
-
保存緩沖液:Preservative: 0.03% Proclin 300
Constituents: 50% Glycerol, 0.01M PBS, pH 7.4 -
產品提供形式:Liquid
-
應用范圍:ELISA, WB, IHC, IF
-
推薦稀釋比:
Application Recommended Dilution WB 1:500-1:5000 IHC 1:200-1:500 IF 1:50-1:200 -
Protocols:
-
儲存條件:Upon receipt, store at -20°C or -80°C. Avoid repeated freeze.
-
貨期:Basically, we can dispatch the products out in 1-3 working days after receiving your orders. Delivery time maybe differs from different purchasing way or location, please kindly consult your local distributors for specific delivery time.
-
用途:For Research Use Only. Not for use in diagnostic or therapeutic procedures.
相關產品
靶點詳情
-
功能:Key assembly factor of SCF (SKP1-CUL1-F-box protein) E3 ubiquitin ligase complexes that promotes the exchange of the substrate-recognition F-box subunit in SCF complexes, thereby playing a key role in the cellular repertoire of SCF complexes. Acts as a F-box protein exchange factor. The exchange activity of CAND1 is coupled with cycles of neddylation conjugation: in the deneddylated state, cullin-binding CAND1 binds CUL1-RBX1, increasing dissociation of the SCF complex and promoting exchange of the F-box protein. Probably plays a similar role in other cullin-RING E3 ubiquitin ligase complexes.
-
基因功能參考文獻:
- miR-33a and CAND1 played an important role in lung cancer proliferation and cell migration PMID: 28871425
- describe the identification of the structural determinants responsible for the CA IX/CAND1 interaction PMID: 28388044
- Data show that the differentiation of LiSa-2 preadipocytes is associated with an increase of cullin-associated and neddylation-dissociated 1 (CAND1), COP9 signalosome (CSN), neddylated cullin 3 (Cul3) and the BTB protein Keap1. PMID: 26219975
- The Epstein-Barr virus protein BPLF1, is targeted to cullin-RING ubiquitin ligases (CRLs) via the interaction of the conserved helix-2 with helix-23 of cullins, at a site involved in electrostatic interaction with CAND1. PMID: 22474075
- We demonstrate that the accumulation of p27 is associated with an increase of CAND1 and a decrease of Skp2 during adipogenesis of human LiSa-2 preadipocytes. CAND1 knockdown reduces p27 and blocks adipogenesis. PMID: 23328082
- Study shows that Cand1 can unambiguously stimulate SCF activity in vitro by enabling an F box protein-Skp1 complex to access Cul1 that was previously occupied by a different F box protein-Skp1 complex, and that Cand1 promotes assembly in vivo of new F box proteins with pre-existing Cul1 molecules. PMID: 23453757
- CAND1 promotes PLK4-mediated centriole overduplication and is frequently disrupted in prostate cancer. PMID: 23019411
- COMMD1 (copper metabolism MURR1 domain-containing protein 1) regulates Cullin RING ligases by preventing CAND1 (Cullin-associated Nedd8-dissociated protein 1) binding. PMID: 21778237
- CAND1 does not function by sequestering cullins in vivo to prevent substrate receptor autoubiquitination and is likely to regulate cullin RING ligase activity via alternative mechanisms PMID: 21249194
- miR-148a is an androgen-responsive microRNA that promotes LNCaP prostate cell growth by repressing its target CAND1 expression. PMID: 20820187
- selectively binds to unneddylated CUL1 and is dissociated by CUL1 neddylation PMID: 12504025
- binds to unneddylated CUL1 and regulates the formation of SCF ubiquitin E3 ligase complex PMID: 12504026
- TIP120A functions as a negative regulator of SCF E3 ubiquitin ligases and may modulate other cullin ligases in a similar fashion. PMID: 12609982
- CAND1 & COP9 signalosome (CSN), major deneddylase of cullins, bind to unneddylated CUL1 in mutually exclusive way. Suppression of CAND1 expression by siRNA enhanced interaction between CUL1 & CSN, suggesting that CAND1 inhibited binding of CSN to CUL1. PMID: 16036220
顯示更多
收起更多
-
亞細胞定位:Cytoplasm. Nucleus. Note=Predominantly cytoplasmic.
-
蛋白家族:CAND family
-
數據庫鏈接:
Most popular with customers
-
-
YWHAB Recombinant Monoclonal Antibody
Applications: ELISA, WB, IHC, IF, FC
Species Reactivity: Human, Mouse, Rat
-
Phospho-YAP1 (S127) Recombinant Monoclonal Antibody
Applications: ELISA, WB, IHC
Species Reactivity: Human
-
-
-
-
-















