CAMTA1 Antibody
-
中文名稱:CAMTA1兔多克隆抗體
-
貨號:CSB-PA582185
-
規格:¥1100
-
圖片:
-
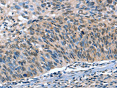
The image on the left is immunohistochemistry of paraffin-embedded Human cervical cancer tissue using CSB-PA582185(CAMTA1 Antibody) at dilution 1/15, on the right is treated with synthetic peptide. (Original magnification: ×200)
-
The image on the left is immunohistochemistry of paraffin-embedded Human tonsil tissue using CSB-PA582185(CAMTA1 Antibody) at dilution 1/15, on the right is treated with synthetic peptide. (Original magnification: ×200)
-
-
其他:
產品詳情
-
Uniprot No.:
-
基因名:CAMTA1
-
別名:CAMTA1 antibody; KIAA0833 antibody; MSTP023 antibody; Calmodulin-binding transcription activator 1 antibody
-
宿主:Rabbit
-
反應種屬:Human,Mouse
-
免疫原:Synthetic peptide of Human CAMTA1
-
免疫原種屬:Homo sapiens (Human)
-
標記方式:Non-conjugated
-
抗體亞型:IgG
-
純化方式:Antigen affinity purification
-
濃度:It differs from different batches. Please contact us to confirm it.
-
保存緩沖液:-20°C, pH7.4 PBS, 0.05% NaN3, 40% Glycerol
-
產品提供形式:Liquid
-
應用范圍:ELISA,IHC
-
推薦稀釋比:
Application Recommended Dilution ELISA 1:1000-1:2000 IHC 1:15-1:50 -
Protocols:
-
儲存條件:Upon receipt, store at -20°C or -80°C. Avoid repeated freeze.
-
貨期:Basically, we can dispatch the products out in 1-3 working days after receiving your orders. Delivery time maybe differs from different purchasing way or location, please kindly consult your local distributors for specific delivery time.
-
用途:For Research Use Only. Not for use in diagnostic or therapeutic procedures.
相關產品
靶點詳情
-
功能:Transcriptional activator. May act as a tumor suppressor.
-
基因功能參考文獻:
- This GWAS identified 2 loci at 10q23 (rs139550538; P = 1.87 x 10-9) and in the CAMTA1 gene at 1p36 (rs2412208, P = 3.53 x 10-8). genome-wide levels of significance that influence survival in patients with ALS. PMID: 27244217
- TFE3 gene translocations are compossible with CAMTA1 gene rearrangements in Epithelioid hemangioendotheliomas. PMID: 26840265
- Nuclear CAMTA1 expression is sensitive and highly specific for epithelioid haemangioendothelioma and can be applied to diagnostic immunohistochemistry in epithelioid tumours. PMID: 25879300
- we demonstrate additional structural complexity in WWTR1-CAMTA1 fusion transcripts in epithelioid haemangioendothelioma PMID: 25817592
- Our findings elucidate the mechanistic basis of the oncogenic properties of TAZ-CAMTA1 fusion PMID: 25961935
- Nuclear expression of CAMTA1 can be used in the differential diagnosis of epithelioid hemangioendotheliomas. PMID: 26414223
- Intragenic CAMTA1 deletions are associated with a spectrum of neurobehavioral phenotypes PMID: 24738973
- Epithelioid hemangioendothelioma, it's potential mimickers, and other benign or malignant vascular tumors showed strong and diffuse CAMTA1 expression, nullifying it's potential use as an adjunct in the differential diagnosis. PMID: 25110239
- Cell-cell communications between the stem cells and adjacent cardiomyocytes induce Ca(2+) signals that activate a myocardial gene program in the stem cells via a novel and early Ca(2+)-dependent intermediate, up-regulation of CAMTA1. PMID: 22715383
- Report CAMTA1-WWTR1 gene fusion in thoracic epithelioid hemangioendothelioma but not epithelioid angiosarcoma. PMID: 25353289
- The authors present evidence that loss-of-function of CAMTA1, a brain-specific calcium responsive transcription factor, is responsible for NPCA with or without ID. PMID: 22693284
- Using reverse transcription-polymerase chain reaction (RT-PCR) and subsequent sequencing, we confirmed an identical WWTR1-CAMTA1 fusion transcript product from different nodules in each patient. PMID: 22429593
- Results indicate that CAMTA1 genotype is associated with cognitive function in older adults with cardiovascular disease, because carriers of the T allele performed more poorly on tests of attention, executive function, and psychomotor speed. PMID: 21951953
- CAMTA1 was identified as an miR-9/9* and miR- 17 target. CAMTA1 expression led to reduced neurosphere formation and growth of human glioblastomas in nude mice. Consistently, CAMTA1 and NPPA expression correlate with patient survival. PMID: 21857646
- the presence of a WWTR1-CAMTA1 fusion in all EHE tested from bone, soft tissue, and visceral location PMID: 21584898
- Findings define properties of CAMTA1 in growth suppression and neuronal differentiation that support its assignment as a 1p36 tumor suppressor gene in neuroblastoma. PMID: 21385898
- FLJ10737 and CAMTA1 genes on 1p36.31-p36.23 are candidate tumor suppressor genes of neuroblastoma PMID: 12964007
- no evidence for somatic mutations in FLJ10737 in neuroblastoma PMID: 17222547
- validated genomic and functional biological findings described herein suggest a role for CAMTA1 in human episodic memory. PMID: 17470457
顯示更多
收起更多
-
相關疾病:Cerebellar ataxia, non-progressive, with mental retardation (CANPMR)
-
亞細胞定位:Nucleus. Cytoplasm.
-
蛋白家族:CAMTA family
-
組織特異性:Normally expressed in non-neoplastic adult central nervous system tissues: detected in whole brain, cerebellum, brain cortex, occipital lobe, frontal lobe, temporal lobe, putamen. Expression levels are low in oligodendroglial tumors, and are reduced by ha
-
數據庫鏈接:
Most popular with customers
-
-
YWHAB Recombinant Monoclonal Antibody
Applications: ELISA, WB, IHC, IF, FC
Species Reactivity: Human, Mouse, Rat
-
Phospho-YAP1 (S127) Recombinant Monoclonal Antibody
Applications: ELISA, WB, IHC
Species Reactivity: Human
-
-
-
-
-















