CAMK4 Antibody
-
中文名稱:CAMK4兔多克隆抗體
-
貨號:CSB-PA564222
-
規格:¥1100
-
圖片:
-
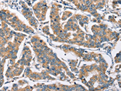
The image on the left is immunohistochemistry of paraffin-embedded Human gastic cancer tissue using CSB-PA564222(CAMK4 Antibody) at dilution 1/40, on the right is treated with fusion protein. (Original magnification: ×200)
-
The image on the left is immunohistochemistry of paraffin-embedded Human breast cancer tissue using CSB-PA564222(CAMK4 Antibody) at dilution 1/40, on the right is treated with fusion protein. (Original magnification: ×200)
-
-
其他:
產品詳情
-
Uniprot No.:
-
基因名:
-
別名:Brain Ca(2+) calmodulin dependent protein kinase type 4 antibody; Brain Ca(2+) calmodulin dependent protein kinase type IV antibody; Brain Ca++-calmodulin dependent protein kinase type IV antibody; Calcium / calmodulin dependent protein kinase type 4 catalytic chain antibody; Calcium / calmodulin dependent protein kinase type IV catalytic chain antibody; Calcium/calmodulin dependent protein kinase IV antibody; Calcium/calmodulin dependent protein kinase type IV antibody; Calcium/calmodulin-dependent protein kinase type IV antibody; CAM kinase 4 antibody; CAM kinase GR antibody; CAM kinase IV antibody; CAM kinase-GR antibody; CaMK 4 antibody; CAMK GR antibody; CaMK IV antibody; Camk4 antibody; CaMKGR antibody; IV antibody; KCC4_HUMAN antibody; MGC36771 antibody
-
宿主:Rabbit
-
反應種屬:Human,Mouse,Rat
-
免疫原:Fusion protein of Human CAMK4
-
免疫原種屬:Homo sapiens (Human)
-
標記方式:Non-conjugated
-
抗體亞型:IgG
-
純化方式:Antigen affinity purification
-
濃度:It differs from different batches. Please contact us to confirm it.
-
保存緩沖液:-20°C, pH7.4 PBS, 0.05% NaN3, 40% Glycerol
-
產品提供形式:Liquid
-
應用范圍:ELISA,IHC
-
推薦稀釋比:
Application Recommended Dilution ELISA 1:2000-1:5000 IHC 1:50-1:200 -
Protocols:
-
儲存條件:Upon receipt, store at -20°C or -80°C. Avoid repeated freeze.
-
貨期:Basically, we can dispatch the products out in 1-3 working days after receiving your orders. Delivery time maybe differs from different purchasing way or location, please kindly consult your local distributors for specific delivery time.
-
用途:For Research Use Only. Not for use in diagnostic or therapeutic procedures.
相關產品
靶點詳情
-
功能:Calcium/calmodulin-dependent protein kinase that operates in the calcium-triggered CaMKK-CaMK4 signaling cascade and regulates, mainly by phosphorylation, the activity of several transcription activators, such as CREB1, MEF2D, JUN and RORA, which play pivotal roles in immune response, inflammation, and memory consolidation. In the thymus, regulates the CD4(+)/CD8(+) double positive thymocytes selection threshold during T-cell ontogeny. In CD4 memory T-cells, is required to link T-cell antigen receptor (TCR) signaling to the production of IL2, IFNG and IL4 (through the regulation of CREB and MEF2). Regulates the differentiation and survival phases of osteoclasts and dendritic cells (DCs). Mediates DCs survival by linking TLR4 and the regulation of temporal expression of BCL2. Phosphorylates the transcription activator CREB1 on 'Ser-133' in hippocampal neuron nuclei and contribute to memory consolidation and long term potentiation (LTP) in the hippocampus. Can activate the MAP kinases MAPK1/ERK2, MAPK8/JNK1 and MAPK14/p38 and stimulate transcription through the phosphorylation of ELK1 and ATF2. Can also phosphorylate in vitro CREBBP, PRM2, MEF2A and STMN1/OP18.
-
基因功能參考文獻:
- vanillin binds strongly to the active site cavity of CAMKIV and stabilized by a large number of non-covalent interactions. PMID: 28744811
- Genotype and allele frequencies of CAMKIV gene SNPs differed significantly between alcohol dependence patients and control subjects. The results of the present study suggest that CAMKIV might be a candidate alcohol dependence gene. PMID: 28734942
- hTau accumulation impairs synapse and memory by CaN-mediated suppression of nuclear CaMKIV/CREB signaling. PMID: 27298345
- Within the pH range 5.0-11.5, CAMK4 maintained both its secondary and tertiary structures, along with its function, whereas significant aggregation was observed at acidic pH (2.0-4.5). PMID: 27032767
- A positive association was not observed between rs10491334 in the CAMK4 gene and longevity in a Chinese population. PMID: 27659345
- The T-allele of rs10491334 in CAMK4 was associated with hypertension in the Uygur group. PMID: 26909912
- Expression of CaMKIV inhibits autophosphorylation and activation of CaMKII, and elicits G0/G1cell cycle arrest,impairing cell proliferation. PMID: 25446257
- An imbalance of specific isoforms of CYFIP1, an FMRP interaction partner, and CAMK4, a transcriptional regulator of the FMRP gene, modulates risk for autism spectrum disorders. PMID: 24442360
- CaMK4-dependent activation of AKT/mTOR and CREM-alpha underlies autoimmunity-associated Th17 imbalance. PMID: 24667640
- CaMK4 regulates beta-cell proliferation and apoptosis in a CREB-dependent manner and CaMK4-induced IRS-2 expression is important in these processes PMID: 23049845
- study suggests that the mutations in CAMK4 may lead to abnormal semen parameters PMID: 22897820
- Phosphorylated Notch1-IC by CaMKIV increases Notch1-IC stability, which enhances osteoclast differentiation. PMID: 23103515
- Prolongevity genes are activated by CAMKIV, the levels of which are influenced by rs10491334, a single-nucleotide polymorphism associated with human longevity. PMID: 21612516
- The regulation of RORalpha activity by PKA as well as CaMK-IV provides a new link in the signalling network that regulates metabolic processes such as glycogen and lipid metabolism. PMID: 21514275
- These findings suggest that PLC/CAMK IV-NF-kappaB is involved in RAGE mediated signaling pathway in human endothelial cells. PMID: 20171262
- CaMKIV proteins were found in the nucleus of epithelial ovarian cancer tissue. CaMKIV expression was significantly associated with clinical stage (P<0.01), histological grade (P<0.01), and clinical outcome (P<0.01). PMID: 12065094
- sequestration of CaMKK may be the molecular mechanism by which catalytically inactive mutants of CaMKIV exert their "dominant-negative" functions within the cell PMID: 14701808
- the Ca(2+)/CaM binding-autoinhibitory domain of CaMKIV is required for association of the kinase with PP2A PMID: 15143065
- calcium/CaMKIV signaling pathway may play an important role in the excitation-mediated regulation of corticotropin releasing hormone synthesis PMID: 15591024
- the function of CaMK II is essential for PAF-induced macrophage priming, while CaMK IV is not specific for priming by PAF and appears to have a direct link in TLR4-mediated events PMID: 15665723
- CaMKIV is expressed in human sperm and may have a role in the regulation of human sperm motility PMID: 15840651
- Results identify calcium/calmodulin-dependent kinase IV as being responsible for the increased expression of CREM and the decreased production of interleukin-2 in systemic lupus erythematosus T cells. PMID: 15841182
- Transgenic CaMKIV plays a modulatory role in the nucleus accumbens in anxiety-like behavior of adult CaMKIV variant mice. PMID: 18053176
- CaMK-4 expression correlates positively with the ability to form long-term memory and implicates the decline of CaMKIV signaling mechanisms in age-related memory deficits. PMID: 18829949
- CaMKIV plays a critical role in the development and persistence of cocaine-induced behaviors, through mechanisms dissociated from acute effects on gene expression and CREB-dependent transcription. PMID: 19001277
- hnRNP L is an essential component of CaMKIV-regulated alternative splicing through CA repeats, with its phosphorylation likely playing a critical role. PMID: 19017650
- a group of RNA elements are responsive to PKA and CaMKIV from in vivo selection PMID: 19386606
- CaMKIV is a molecular link between Group I mGluRs and fragile X mental retardation protein in anterior cingulate cortex neurons PMID: 19436069
- analysis of regulation of calcium/calmodulin-dependent kinase IV by O-GlcNAc modification PMID: 19506079
- these data indicate that the B subunits alpha and delta are essential for the interaction of PP2A with CaMKIV. PMID: 19538941
- Data show that RA-induced repression of the CaMKIV signaling pathway may represent an early event in retinoid-dependent neuronal differentiation. PMID: 19633294
顯示更多
收起更多
-
亞細胞定位:Cytoplasm. Nucleus.
-
蛋白家族:Protein kinase superfamily, CAMK Ser/Thr protein kinase family, CaMK subfamily
-
組織特異性:Expressed in brain, thymus, CD4 T-cells, testis and epithelial ovarian cancer tissue.
-
數據庫鏈接:
Most popular with customers
-
-
YWHAB Recombinant Monoclonal Antibody
Applications: ELISA, WB, IHC, IF, FC
Species Reactivity: Human, Mouse, Rat
-
Phospho-YAP1 (S127) Recombinant Monoclonal Antibody
Applications: ELISA, WB, IHC
Species Reactivity: Human
-
-
-
-
-















