CADM4 Antibody
-
中文名稱:CADM4兔多克隆抗體
-
貨號:CSB-PA246478
-
規格:¥1100
-
圖片:
-
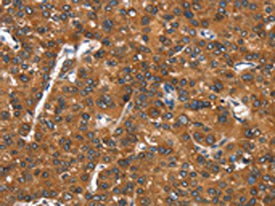
The image on the left is immunohistochemistry of paraffin-embedded Human liver cancer tissue using CSB-PA246478(CADM4 Antibody) at dilution 1/25, on the right is treated with synthetic peptide. (Original magnification: ×200)
-
The image on the left is immunohistochemistry of paraffin-embedded Human ovarian cancer tissue using CSB-PA246478(CADM4 Antibody) at dilution 1/25, on the right is treated with synthetic peptide. (Original magnification: ×200)
-
Gel: 10%SDS-PAGE, Lysate: 40 μg, Lane 1-2: RAW264.7 cells, mouse brain tissue, Primary antibody: CSB-PA246478(CADM4 Antibody) at dilution 1/300, Secondary antibody: Goat anti rabbit IgG at 1/8000 dilution, Exposure time: 20 seconds
-
-
其他:
產品詳情
-
Uniprot No.:
-
基因名:CADM4
-
別名:CADM 4 antibody; cadm4 antibody; CADM4_HUMAN antibody; Cell adhesion molecule 4 antibody; IGSF4C antibody; Immunoglobulin superfamily member 4C antibody; Necl 4 antibody; NECL-4 antibody; NECL4 antibody; Nectin like 4 antibody; Nectin like protein 4 antibody; Nectin-like protein 4 antibody; synCAM4 antibody; TSLC1 like 2 antibody; TSLC1 like protein 2 antibody; TSLC1-like protein 2 antibody; TSLL2 antibody
-
宿主:Rabbit
-
反應種屬:Human,Mouse,Rat
-
免疫原:Synthetic peptide of Human CADM4
-
免疫原種屬:Homo sapiens (Human)
-
標記方式:Non-conjugated
-
抗體亞型:IgG
-
純化方式:Antigen affinity purification
-
濃度:It differs from different batches. Please contact us to confirm it.
-
保存緩沖液:-20°C, pH7.4 PBS, 0.05% NaN3, 40% Glycerol
-
產品提供形式:Liquid
-
應用范圍:ELISA,WB,IHC
-
推薦稀釋比:
Application Recommended Dilution ELISA 1:1000-1:2000 WB 1:200-1:1000 IHC 1:25-1:100 -
Protocols:
-
儲存條件:Upon receipt, store at -20°C or -80°C. Avoid repeated freeze.
-
貨期:Basically, we can dispatch the products out in 1-3 working days after receiving your orders. Delivery time maybe differs from different purchasing way or location, please kindly consult your local distributors for specific delivery time.
-
用途:For Research Use Only. Not for use in diagnostic or therapeutic procedures.
相關產品
靶點詳情
-
功能:Involved in the cell-cell adhesion. Has calcium- and magnesium-independent cell-cell adhesion activity. May have tumor-suppressor activity.
-
基因功能參考文獻:
- There was a significant association between RNase 5 and histological differentiation in colon adenocarcinomas, but no association between RNase 5 and Necl 4 in gastric or colon adenocarcinomas PMID: 28561015
- Low CADM4 expression is associated with bone marrow metastasis in neuroblastoma. PMID: 28921546
- The results suggest that Necl-4 enhances VEGF-induced activation of PLCgamma-c-Raf-MEK-ERK pathway without affecting the phosphorylation and internalization of VEGFR2. PMID: 28601637
- Necl-4 serves as a novel regulator for contact inhibition of cell movement and proliferation cooperatively with the VEGF receptor and PTPN13 PMID: 25893857
- results indicate that Necl-4 serves as a tumor suppressor by inhibiting the ErbB2/ErbB3 signaling and hemidesmosome disassembly PMID: 23611113
- Loss or decrease of CADM4 expression seems to play an important role in breast cancer invasiveness, and it is associated with poorer biological parameters. PMID: 23559354
- Cadm4 regulates the growth of the myelin unit and the organization of the underlying axonal membrane. PMID: 23825401
- CADM4, as well as 4.1B is expressed specifically in human proximal tubules. PMID: 21544807
- Nec- 4 suppress the growth and tumorigenic ability of colon cancer cells. PMID: 19565570
- TSLL2 is expressed at the cell-cell attachment sites in the renal tubules, the transitional epithelia of the bladder, and the glandular epithelia of the prostate, and is a tumor-suppressor candidate in prostate cancer. PMID: 16261159
顯示更多
收起更多
-
亞細胞定位:Membrane; Single-pass type I membrane protein.
-
蛋白家族:Nectin family
-
組織特異性:Expressed in brain, prostate, brain, kidney and some other organs.
-
數據庫鏈接:
Most popular with customers
-
-
YWHAB Recombinant Monoclonal Antibody
Applications: ELISA, WB, IHC, IF, FC
Species Reactivity: Human, Mouse, Rat
-
Phospho-YAP1 (S127) Recombinant Monoclonal Antibody
Applications: ELISA, WB, IHC
Species Reactivity: Human
-
-
-
-
-















