CACNA2D4 Antibody
-
中文名稱:CACNA2D4兔多克隆抗體
-
貨號:CSB-PA801802LA01HU
-
規格:¥440
-
圖片:
-
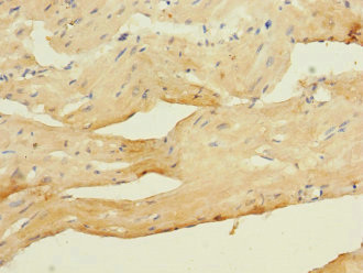
Immunohistochemistry of paraffin-embedded human skeletal muscle tissue using CSB-PA801802LA01HU at dilution of 1:100
-
Immunohistochemistry of paraffin-embedded human heart tissue using CSB-PA801802LA01HU at dilution of 1:100
-
Immunofluorescence staining of HepG2 cells with CSB-PA801802LA01HU at 1:133, counter-stained with DAPI. The cells were fixed in 4% formaldehyde, permeabilized using 0.2% Triton X-100 and blocked in 10% normal Goat Serum. The cells were then incubated with the antibody overnight at 4°C. The secondary antibody was Alexa Fluor 488-congugated AffiniPure Goat Anti-Rabbit IgG(H+L).
-
-
其他:
產品詳情
-
產品名稱:Rabbit anti-Homo sapiens (Human) CACNA2D4 Polyclonal antibody
-
Uniprot No.:
-
基因名:
-
別名:CACNA2D4Voltage-dependent calcium channel subunit alpha-2/delta-4 antibody; Voltage-gated calcium channel subunit alpha-2/delta-4) [Cleaved into: Voltage-dependent calcium channel subunit alpha-2-4; Voltage-dependent calcium channel subunit delta-4] antibody
-
宿主:Rabbit
-
反應種屬:Human
-
免疫原:Recombinant Human Voltage-dependent calcium channel subunit alpha-2/delta-4 protein (934-1115AA)
-
免疫原種屬:Homo sapiens (Human)
-
標記方式:Non-conjugated
本頁面中的產品,CACNA2D4 Antibody (CSB-PA801802LA01HU),的標記方式是Non-conjugated。對于CACNA2D4 Antibody,我們還提供其他標記。見下表:
-
克隆類型:Polyclonal
-
抗體亞型:IgG
-
純化方式:>95%, Protein G purified
-
濃度:It differs from different batches. Please contact us to confirm it.
-
保存緩沖液:Preservative: 0.03% Proclin 300
Constituents: 50% Glycerol, 0.01M PBS, PH 7.4 -
產品提供形式:Liquid
-
應用范圍:ELISA, IHC, IF
-
推薦稀釋比:
Application Recommended Dilution IHC 1:20-1:200 IF 1:50-1:200 -
Protocols:
-
儲存條件:Upon receipt, store at -20°C or -80°C. Avoid repeated freeze.
-
貨期:Basically, we can dispatch the products out in 1-3 working days after receiving your orders. Delivery time maybe differs from different purchasing way or location, please kindly consult your local distributors for specific delivery time.
-
用途:For Research Use Only. Not for use in diagnostic or therapeutic procedures.
相關產品
靶點詳情
-
功能:The alpha-2/delta subunit of voltage-dependent calcium channels regulates calcium current density and activation/inactivation kinetics of the calcium channel.
-
基因功能參考文獻:
- We have confirmed the TRPM1 36,445 bp deletion is a founder mutation in the Ashkenazi-Jewish (AJ) population with a carrier rate of 1 in 50. We have also confirmed the 35,741 bp deletion in the CACNA2D4 gene is a founder mutation in the AJ population with a carrier rate of 1 in 56. PMID: 28726569
- This report describes a distinctive ERG phenotype, predominantly involving the cone pathways, in 2 unrelated patients from different ethnic backgrounds with homozygous mutations in CACNA2D4 and normal retinal imaging PMID: 26560832
- A rare, partial deletion of 35.7 kb in CACNA2D4 in two unrelated late onset bipolar I patients and in one control individual, were identified. PMID: 22488967
- Calcium channel alpha(2)delta-4 subunit has limited distribution in special cell types of the pituitary, adrenal gland, colon, and fetal liver. PMID: 12181424
-
相關疾病:Retinal cone dystrophy 4 (RCD4)
-
亞細胞定位:Membrane; Single-pass type I membrane protein.
-
蛋白家族:Calcium channel subunit alpha-2/delta family
-
組織特異性:Predominantly expressed in certain types of endocrine cells. Present in the Paneth cells of the small intestine. Also present in the erythroblasts in the fetal liver, in the cells of the zona reticularis of the adrenal gland and in the basophils of the pi
-
數據庫鏈接:
Most popular with customers
-
-
YWHAB Recombinant Monoclonal Antibody
Applications: ELISA, WB, IHC, IF, FC
Species Reactivity: Human, Mouse, Rat
-
Phospho-YAP1 (S127) Recombinant Monoclonal Antibody
Applications: ELISA, WB, IHC
Species Reactivity: Human
-
-
-
-
-















