CACNA1G Antibody
-
中文名稱:CACNA1G兔多克隆抗體
-
貨號:CSB-PA796294
-
規格:¥1100
-
圖片:
-
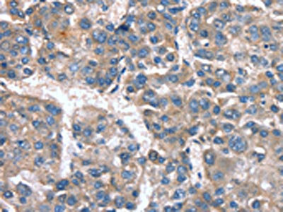
The image on the left is immunohistochemistry of paraffin-embedded Human thyroid cancer tissue using CSB-PA796294(CACNA1G Antibody) at dilution 1/20, on the right is treated with synthetic peptide. (Original magnification: ×200)
-
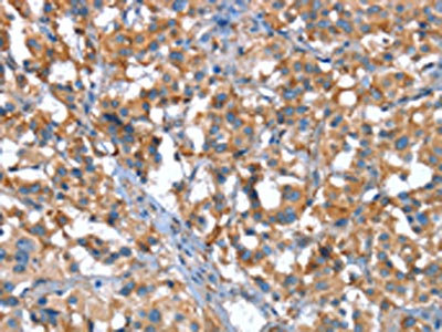
The image on the left is immunohistochemistry of paraffin-embedded Human liver cancer tissue using CSB-PA796294(CACNA1G Antibody) at dilution 1/20, on the right is treated with synthetic peptide. (Original magnification: ×200)
-
-
其他:
產品詳情
-
Uniprot No.:
-
基因名:
-
別名:CACNA1G antibody; KIAA1123Voltage-dependent T-type calcium channel subunit alpha-1G antibody; Cav3.1c antibody; NBR13 antibody; Voltage-gated calcium channel subunit alpha Cav3.1 antibody
-
宿主:Rabbit
-
反應種屬:Human,Rat
-
免疫原:Synthetic peptide of Human CACNA1G
-
免疫原種屬:Homo sapiens (Human)
-
標記方式:Non-conjugated
-
抗體亞型:IgG
-
純化方式:Antigen affinity purification
-
濃度:It differs from different batches. Please contact us to confirm it.
-
保存緩沖液:-20°C, pH7.4 PBS, 0.05% NaN3, 40% Glycerol
-
產品提供形式:Liquid
-
應用范圍:ELISA,IHC
-
推薦稀釋比:
Application Recommended Dilution ELISA 1:1000-1:2000 IHC 1:15-1:50 -
Protocols:
-
儲存條件:Upon receipt, store at -20°C or -80°C. Avoid repeated freeze.
-
貨期:Basically, we can dispatch the products out in 1-3 working days after receiving your orders. Delivery time maybe differs from different purchasing way or location, please kindly consult your local distributors for specific delivery time.
-
用途:For Research Use Only. Not for use in diagnostic or therapeutic procedures.
相關產品
靶點詳情
-
功能:Voltage-sensitive calcium channels (VSCC) mediate the entry of calcium ions into excitable cells and are also involved in a variety of calcium-dependent processes, including muscle contraction, hormone or neurotransmitter release, gene expression, cell motility, cell division and cell death. The isoform alpha-1G gives rise to T-type calcium currents. T-type calcium channels belong to the 'low-voltage activated (LVA)' group and are strongly blocked by mibefradil. A particularity of this type of channel is an opening at quite negative potentials and a voltage-dependent inactivation. T-type channels serve pacemaking functions in both central neurons and cardiac nodal cells and support calcium signaling in secretory cells and vascular smooth muscle. They may also be involved in the modulation of firing patterns of neurons which is important for information processing as well as in cell growth processes.
-
基因功能參考文獻:
- T-type channel calcium influx invokes a novel dynamic interaction between CaM and Cav3.1 channels to trigger a signaling cascade that leads to alphaCaMKII activation. PMID: 28800734
- Cacna1g exclusively expressed in serosal PDGFRalpha+ cells is a new pathological marker for gastrointestinal diseases. PMID: 28806761
- Electrophysiological studies showed a significant increase in Cd(2+) and manganese (Mn(2+)) currents through the CaV3.1 mutants as well as a reduction in the inhibitory effect of Cd(2+) on the Ca(2+) current. PMID: 27134080
- The results of this study provide support for Cacna1g as a genetic modifier in a mouse model of Dravet syndrome and suggest that Cav3.1 may be a potential molecular target for therapeutic intervention in patients PMID: 28556246
- CACNA1G variant is associated with differential antiepileptic drug response in childhood absence epilepsy. PMID: 28165634
- In 2 families with autosomal dominant SCA, a CACNA1G mutation p.Arg1715His was found at S4 of repeat IV, the voltage sensor of the CaV3.1 which shifted it toward a positive potential. PMID: 26715324
- A Recurrent Mutation in CACNA1G Alters Cav3.1 T-Type Calcium-Channel Conduction and Causes Autosomal-Dominant Cerebellar Ataxia. PMID: 26456284
- CaV3.1 channel is required for the generation of a given set of thalamocortical rhythms during unconsciousness. Further, that thalamocortical resonant neuronal activity supported by this channel is important for the control of vigilance states PMID: 26056284
- CaV3.1 downregulation is a major initiating factor for the increased production of the toxic Ab peptide, then the CaV3.1 T-type calcium channel represents a novel target for preventative therapeutics in Alzheimer's disease. PMID: 24268883
- Ethanol affects CaV3.2 but not CaV3.1 nor CaV3.3 channel isoforms. PMID: 23488970
- Cd(2) carried sizable inward currents through Ca(v)3.1 channels (210 +/- 20 pA at -60 mV with 2 mM Cd(2)). PMID: 22973059
- Ca(V)3.1 channels represent a likely pathway for Fe(2) entry into cells. PMID: 22973060
- Augmentation of CaV3.1 currents by Ras-ERK activation is associated with enhanced trafficking of channels to the plasma membrane. PMID: 22572848
- Cav3.1 channels may contribute to the repression of tumor proliferation and the promotion of apoptosis mediated via Cav3.1-specific calcium signals PMID: 22469755
- establishing CACNA1G as a novel candidate gene for autism, these alleles do not contribute a sufficient genetic effect to explain the observed linkage, indicating that there is substantial genetic heterogeneity despite the clear linkage signal PMID: 19455149
- Results reveal an intracellular WPb-independent P-selectin pool in pulmonary capillary endothelium, where the regulated P-selectin surface expression is triggered by Ca(2+) transients evoked through activation of the alpha(1G) T-type channel. PMID: 20435690
- Since allele and genotype distributions of CACNA1G polymorphisms in cases studied are not remarkably different from control groups, CACNA1G is not an important susceptibility gene for childhood absence epilepsy in the Han Chinese population. PMID: 12676336
- The down-regulation of alpha 1G T-type calcium channel mRNA in differentiated Y79 cells is mediated primarily by decreased activity of promoter A, which could occur in conjunction with repression of the activity of promoter B. PMID: 12752779
- Data describe the construction of a new cell line stably expressing alpha(1G) and Kir2.1 subunits in HEK293 cells. PMID: 15465033
- T-type voltage-operated Ca2+ channels are required for cell cycle progression and proliferation of human pulmonary artery smooth muscle cell. PMID: 15774856
- CACNA1G is a human gene for T-type Ca(v)3.1 calcium channels that is subject to extensive alternative RNA splicing PMID: 16671074
- collective findings flag CACNA1G as a potential susceptibility locus for idiopathic generalized epilepsy subsyndromes PMID: 17397049
- Primary T-type subunit expressed in some myometrial smooth muscle cells is Cav3.1. PMID: 17446221
- A panel of markers including at least RUNX3, CACNA1G, IGF2, and MLH1 can serve as a sensitive and specific marker panel for CIMP(Cpg island methylator phenotype)-high. PMID: 17591929
- This study reports the concentration dependence of currents through Ca(V)3.1 T-type calcium channels stably expressed in HEK 293 cells. PMID: 18663131
- A study evaluating whether the effect of Ni(2+) on Ca(V)3.1 is affected by permeant ions is reported. PMID: 18663132
- These results suggest that RanBPM could be a key regulator of Ca(v)3.1 channel-mediated signaling pathways. PMID: 18801335
- Elevated brain levels of Cacna1g channel identify a key causal component of pure absence epilepsy and a major genetic component of the epileptogenic pathway. PMID: 19211869
顯示更多
收起更多
-
相關疾病:Spinocerebellar ataxia 42 (SCA42)
-
亞細胞定位:Cell membrane; Multi-pass membrane protein. Cytoplasm.
-
蛋白家族:Calcium channel alpha-1 subunit (TC 1.A.1.11) family, CACNA1G subfamily
-
組織特異性:Highly expressed in brain, in particular in the amygdala, subthalamic nuclei, cerebellum and thalamus. Moderate expression in heart; low expression in placenta, kidney and lung. Also expressed in colon and bone marrow and in tumoral cells to a lesser exte
-
數據庫鏈接:
Most popular with customers
-
-
YWHAB Recombinant Monoclonal Antibody
Applications: ELISA, WB, IHC, IF, FC
Species Reactivity: Human, Mouse, Rat
-
Phospho-YAP1 (S127) Recombinant Monoclonal Antibody
Applications: ELISA, WB, IHC
Species Reactivity: Human
-
-
-
-
-















