CACNA1C Antibody
-
中文名稱:CACNA1C兔多克隆抗體
-
貨號:CSB-PA145166
-
規格:¥1100
-
圖片:
-
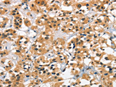
The image on the left is immunohistochemistry of paraffin-embedded Human gastic cancer tissue using CSB-PA145166(CACNA1C Antibody) at dilution 1/30, on the right is treated with synthetic peptide. (Original magnification: ×200)
-
The image on the left is immunohistochemistry of paraffin-embedded Human thyroid cancer tissue using CSB-PA145166(CACNA1C Antibody) at dilution 1/30, on the right is treated with synthetic peptide. (Original magnification: ×200)
-
-
其他:
產品詳情
-
Uniprot No.:
-
基因名:
-
別名:alpha-1 polypeptide antibody; cardiac muscle antibody; isoform 1 antibody; L type antibody; CAC1C_HUMAN antibody; CACH 2 antibody; CACH2 antibody; CACN 2 antibody; CACN2 antibody; CACNA1C antibody; CACNL1A1 antibody; Calcium channel antibody; Calcium channel cardic dihydropyridine sensitive alpha 1 subunit antibody; Calcium channel L type alpha 1 polypeptide isoform 1 cardiac muscle antibody; Calcium channel voltage dependent L type alpha 1C subunit antibody; CaV1.2 antibody; CCHL1A1 antibody; DHPR alpha 1 antibody; DHPR alpha 1 subunit antibody; LQT8 antibody; TS antibody; Voltage dependent L type calcium channel alpha 1C subunit antibody; Voltage dependent L type calcium channel subunit alpha 1C antibody; Voltage gated calcium channel alpha subunit Cav1.2 antibody; Voltage gated calcium channel subunit alpha Cav1.2 antibody; Voltage gated L type calcium channel Cav1.2 alpha 1 subunit; splice variant 10* antibody; Voltage-dependent L-type calcium channel subunit alpha-1C antibody; Voltage-gated calcium channel subunit alpha Cav1.2 antibody
-
宿主:Rabbit
-
反應種屬:Human
-
免疫原:Synthetic peptide of Human CACNA1C
-
免疫原種屬:Homo sapiens (Human)
-
標記方式:Non-conjugated
-
抗體亞型:IgG
-
純化方式:Antigen affinity purification
-
濃度:It differs from different batches. Please contact us to confirm it.
-
保存緩沖液:-20°C, pH7.4 PBS, 0.05% NaN3, 40% Glycerol
-
產品提供形式:Liquid
-
應用范圍:ELISA,IHC
-
推薦稀釋比:
Application Recommended Dilution ELISA 1:1000-1:2000 IHC 1:25-1:100 -
Protocols:
-
儲存條件:Upon receipt, store at -20°C or -80°C. Avoid repeated freeze.
-
貨期:Basically, we can dispatch the products out in 1-3 working days after receiving your orders. Delivery time maybe differs from different purchasing way or location, please kindly consult your local distributors for specific delivery time.
-
用途:For Research Use Only. Not for use in diagnostic or therapeutic procedures.
相關產品
靶點詳情
-
功能:Pore-forming, alpha-1C subunit of the voltage-gated calcium channel that gives rise to L-type calcium currents. Mediates influx of calcium ions into the cytoplasm, and thereby triggers calcium release from the sarcoplasm. Plays an important role in excitation-contraction coupling in the heart. Required for normal heart development and normal regulation of heart rhythm. Required for normal contraction of smooth muscle cells in blood vessels and in the intestine. Essential for normal blood pressure regulation via its role in the contraction of arterial smooth muscle cells. Long-lasting (L-type) calcium channels belong to the 'high-voltage activated' (HVA) group (Probable).; (Microbial infection) Acts as a receptor for Influenzavirus. May play a critical role in allowing virus entry when sialylated and expressed on lung tissues.
-
基因功能參考文獻:
- CACNA1C CpG-SNPs are associated with PTSD in traumatized police officers. PMID: 29362489
- Study presents evidence that CaV1.2 moves in vesicular structures of circular and tubular shape with diverse intracellular and submembrane trafficking patterns. Both microtubules and actin filaments are required for dynamic movement of CaV1.2 vesicles. These vesicles undergo constitutive homotypic fusion and fission events that sustain CaV1.2 clustering, channel activity and cooperative gating. PMID: 29959960
- CACNA1C polymorphism and childhood interpersonal trauma were related to brain activation for group and emotion specific processing. PMID: 29385621
- Case-control study suggested that rs10848683 in CACAN1C increased the susceptibility to large-artery atherosclerotic (LAA) stroke, the CC genotype of rs10848683 maybe a risk factor for LAA stroke under the recessive models. The haplotypes of rs229961-rs215976-rs216008-rs10848683 in CACAN1C also showed increased risk of LAA stroke. PMID: 29683785
- miR-137 regulated the expression of the CACNA1C gene. PMID: 30102687
- This is the first study to suggest the involvement of the novel missense CACNA1C c.1786G>A and TTN c.49415G>A variants in the inheritance of symptomatic bradycardia and development of sick sinus syndrome. PMID: 29568937
- MYH7-V878A and CACNA1C-A1594V mutations were detected in a Chinese Family with Hypertrophic Cardiomyopathy. Those with only the CACNA1C-A1594V mutation showed nearly normal readings in all examinations. The results suggest that the pathogenesis of MYH7-V878A and CACNA1C-A1594V mutations may have a cumulative effect. PMID: 28866666
- Study established cognitive effects of risk variants at loci implicated in synaptic transmission by (1) identifying GWAS schizophrenia variants whose associated gene function is related to synaptic transmission, and (2) testing for association between these and measures of neurocognitive function; suggest that CACNA1C risk variant rs2007044 is associated with poorer memory function and cortical dysconnectivity. PMID: 28607492
- Increased repolarization dispersion caused by the G1911R mutation is a primary factor that may primarily contribute to the genesis of cardiac arrhythmias in Timothy Syndrome. PMID: 27502440
- Data indicate that a cardiac protein named Myoscape/FAM40B/STRIP2, which directly interacts with the L-type calcium channel CaV1.2. PMID: 27122098
- The results show that estrogen upregulates cardiac L-type Ca(2+) and sodium-calcium exchange in women through genomic mechanisms that account for sex differences in Ca(2+) handling and spatial heterogeneities of repolarization due to base-apex heterogeneities of Cav1.2alpha and NCX1. By analogy with rabbit studies, these effects account for human sex-difference in arrhythmia risk. PMID: 28807015
- Study reveal a significant association of CACNA1C with bipolar disorder among the Pakistani population, extending results from other ethnic groups to the Pakistani population for the first time. PMID: 29684488
- This study demonstrated that CACNA1C gene polymorphisms and CACNA1C protein expression were associated with schizophrenia and its clinical phenotypes. PMID: 28593527
- We suggest the possibility that our findings of differential brain activations and methylation status of the CACNA1C gene in suicidal attempt patients might be involved in the neurobiology of suicidal behavior. PMID: 28521147
- The main findings of this study are that (1) CACNA1C gene polymorphism (rs10774053) can increase ritodrine-induced ADEs; (2) maximum infusion rate of ritodrine was significantly associated with ADE occurrence. PMID: 28391406
- The results of this study increasing the risk for Bipolar Disorder in the presence of the rs758723 T allele within CACNA1C. PMID: 28494468
- Inhibition of CaV1.2 upregulates AT1R signaling in response to angiotensin II. PMID: 28514967
- Carriers of the CACNA1C allele A exhibited greater left mOFC thickness compared to non-carriers. Moreover, CACNA1C A carriers showed age-related cortical thinning of the left cACC, whereas among A non-carriers there was not an effect of age on left cACC cortical thinning. PMID: 28398341
- The frequency of CACNA1C rs10848683 in genetic high-risk individuals was double that in controls. For SYNE1 rs214950, higher frequencies were found in the genetic high-risk group than in controls. Polymorphisms in CACNA1C and SYNE1 could confer a greater risk of developing Schizophrenia and Bipolar Disorder in individuals who are already at high risk because of their family history. PMID: 27620326
- Top association findings suggested that the bipolar disorder risk allele at SNP rs4765913 in CACNA1C gene may be associated with increased risk of cardiac dysrhythmias. PMID: 27529678
- Data indicate a subpopulation of the CaV1.2 channel pore-forming subunit (alpha1C) within nanometer proximity of protein kinase A (PKA) at the sarcolemma of murine and human arterial myocytes. PMID: 28119464
- Targeted sequencing revealed trigenic mutations: c.700G>A/p.E234K in DES, c.2966G>A/p.R989H in MYPN, and c.5918G>C/p.R1973P in CACNA1C in a family of hypertrophic cardiomyopathy with early repolarization and short QT syndrome. PMID: 28427417
- We report the case of female child with a history of surgery for syndactyly of the hands and feet, Despite the absence of facial dysmorphism and the presence of normal psychomotor development, a diagnosis of Timothy syndrome was made given association of syndactyly and the ECG features. Sanger sequencing of the CACNA1C gene, followed by sequencing of the genes KCNQ1, KCNH2, KCNE1, KCNE2, were negative. PMID: 27868338
- CACNA1C variants for psychiatric disorders were found to be associated with long sleep latency among 8-month-old infants. PMID: 28792954
- In type 2 diabtes beta cells, exocytosis was slower and not synchronized with membrane depolarizations, and neither Ca2+ influx nor CaV1.2 was concentrated at insulin granules. PMID: 28481223
- Rs1006737 showed significant association with Major Depressive Disorder (MDD) in the fixed-effect model (Z = 2.56, P = 0.011, OR = 1.08, 95%CI = 1.04-1.12) and the association remained after reanalyzing the data according to ethnicity. We found that two SNPs, rs4765905 and rs4765937 showed nominal association with MDD, while rs2239073 exhibited significant association with MDD. PMID: 27260792
- the loss-of-function CACNA1C-Q1916R mutation contributed to Early repolarization syndrome-related sudden cardiac death. PMID: 28493952
- BIMU8 is a potent blocker of hERG, NaV1.5 and CaV1.2 cardiac ion channels, inducing cardiac arrhythmias. PMID: 28552773
- CACNA1C rs1006737 SNP and SNPs in linkage disequilibrium with it may influence the risk of QTc prolongation in patients treated with psychotropic drugs with cardiovascular risk PMID: 27893184
- Functional Characterization of Schizophrenia-Associated Variation in CACNA1C PMID: 27276213
- Authors assessed the effect across the human brain of the CACNA1C rs1006737 genotype on FA, in a Caucasian clinical sample as well as in health, and whether this genotype effect was different between diagnostic groups and whether it interacted with the ZNF804A rs1344706 genotype. PMID: 27790829
- The Ca channel alpha 1C (CACNA1C) mRNA and protein expressions were noticeably elevated in H-Cd group. These findings suggest that CACNA1C might be implicated in Cd transport in human placenta. PMID: 27744593
- Rare CACNA1C genetic variants may contribute to the underlying pathogenic basis for some cases of sudden explaned dealth in the young in either a gain or loss-of-function mechanism. PMID: 27218670
- Authors validated CACNA1C to be the direct target gene of miR-29a-3p, and also established the negative regulatory relationship between miR-29a-3p and CACNA1C via studying the relative luciferase activity. PMID: 27341015
- SNP rs1006737 associated with increased amygdala volume in healthy individuals PMID: 26048451
- the association of rs1006737 with gray matter volume in a sample of 278 healthy Han Chinese, was examined. PMID: 26756527
- the function of purified human Cav1.2 in proteoliposomes, was investigated. PMID: 26750869
- The linking variation in the CACNA1C gene is a neurochemical marker of neuroaxonal plasticity in those with bipolar disorder. PMID: 26541689
- Copy number increase of CACNA1C are associated with esophageal squamous cell carcinoma. PMID: 26406417
- CACNA1C modulates the cellular rhythm amplitude response to lithium, providing a specific link between LTCCs and circadian rhythms in the context of Bipolar disorder and lithium PMID: 26476274
- Findings indicate that CACNA1C-related differences in amygdala structure and function are present by adolescence. PMID: 26401721
- The associations of CACNA1C rs10774035 with outcome in schizophrenia-spectrum and non-association with outcome in bipolar disorders PMID: 26475575
- Single nucleotide polymorphism in an intron of the CACNA1C gene conveyed an increased risk for developing Bipolar disorder. PMID: 26525885
- CACNA1C risk variant affects facial emotion recognition in healthy individuals. PMID: 26611642
- This integrative genomic study confirmed the role of RUNX2 as a potential driver of AS and identified a new AS susceptibility gene, CACNA1C, belonging to the calcium signaling pathway. PMID: 26553695
- Study suggests initial support for a link between bipolar disorder risk SNPs rs472913 (1p32.1) and rs1006737 (CACNA1C) and brain arousal regulation PMID: 26509803
- we investigated the association of CACNA1C and ANK3 with SZ using meta-analytic techniques. PMID: 26227746
- SNPs associated with diabetic cataract PMID: 27124316
- Meta-analysis associated CACNA1C single nucleotide polymorphisms with schizophrenia family samples PMID: 26276307
- findings provide phenotypic detail of the CACNA1C AA genotype in non-symptomatic individuals, which suggest primary effects in emotional circuitry, consistent with previously documented alterations in hippocampal/amygdala processing. PMID: 25841664
顯示更多
收起更多
-
相關疾?。?/div>Timothy syndrome (TS); Brugada syndrome 3 (BRGDA3)亞細胞定位:Cell membrane; Multi-pass membrane protein. Cell membrane, sarcolemma; Multi-pass membrane protein. Perikaryon. Cell junction, synapse, postsynaptic density membrane. Cell projection, dendrite. Cell membrane, sarcolemma, T-tubule.蛋白家族:Calcium channel alpha-1 subunit (TC 1.A.1.11) family, CACNA1C subfamily組織特異性:Detected throughout the brain, including hippocampus, cerebellum and amygdala, throughout the heart and vascular system, including ductus arteriosus, in urinary bladder, and in retina and sclera in the eye. Expressed in brain, heart, jejunum, ovary, pancr數據庫鏈接:
Most popular with customers
-
YWHAB Recombinant Monoclonal Antibody
Applications: ELISA, WB, IHC, IF, FC
Species Reactivity: Human, Mouse, Rat
-
Phospho-YAP1 (S127) Recombinant Monoclonal Antibody
Applications: ELISA, WB, IHC
Species Reactivity: Human
-
-
-
-
-
-















