CACNA1B Antibody
-
中文名稱:CACNA1B兔多克隆抗體
-
貨號:CSB-PA004398LA01HU
-
規格:¥440
-
圖片:
-
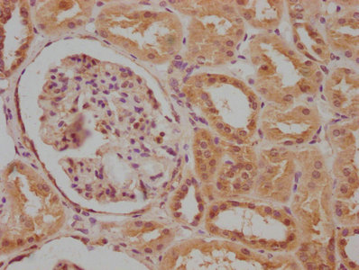
IHC image of CSB-PA004398LA01HU diluted at 1:100 and staining in paraffin-embedded human kidney tissue performed on a Leica BondTM system. After dewaxing and hydration, antigen retrieval was mediated by high pressure in a citrate buffer (pH 6.0). Section was blocked with 10% normal goat serum 30min at RT. Then primary antibody (1% BSA) was incubated at 4°C overnight. The primary is detected by a biotinylated secondary antibody and visualized using an HRP conjugated SP system.
-
Immunofluorescence staining of SH-SY5Y cells with CSB-PA004398LA01HU at 1:50, counter-stained with DAPI. The cells were fixed in 4% formaldehyde, permeabilized using 0.2% Triton X-100 and blocked in 10% normal Goat Serum. The cells were then incubated with the antibody overnight at 4°C. The secondary antibody was Alexa Fluor 488-congugated AffiniPure Goat Anti-Rabbit IgG(H+L).
-
-
其他:
產品詳情
-
產品名稱:Rabbit anti-Homo sapiens (Human) CACNA1B Polyclonal antibody
-
Uniprot No.:
-
基因名:
-
別名:CACNA1B antibody; CACH5 antibody; CACNL1A5 antibody; Voltage-dependent N-type calcium channel subunit alpha-1B antibody; Brain calcium channel III antibody; BIII antibody; Calcium channel antibody; L type antibody; alpha-1 polypeptide isoform 5 antibody; Voltage-gated calcium channel subunit alpha Cav2.2 antibody
-
宿主:Rabbit
-
反應種屬:Human
-
免疫原:Recombinant Human Voltage-dependent N-type calcium channel subunit alpha-1B protein (2132-2339AA)
-
免疫原種屬:Homo sapiens (Human)
-
標記方式:Non-conjugated
本頁面中的產品,CACNA1B Antibody (CSB-PA004398LA01HU),的標記方式是Non-conjugated。對于CACNA1B Antibody,我們還提供其他標記。見下表:
-
克隆類型:Polyclonal
-
抗體亞型:IgG
-
純化方式:Antigen Affinity Purified
-
濃度:It differs from different batches. Please contact us to confirm it.
-
保存緩沖液:Preservative: 0.03% Proclin 300
Constituents: 50% Glycerol, 0.01M PBS, pH 7.4 -
產品提供形式:Liquid
-
應用范圍:ELISA, IHC, IF
-
推薦稀釋比:
Application Recommended Dilution IHC 1:20-1:200 IF 1:50-1:200 -
Protocols:
-
儲存條件:Upon receipt, store at -20°C or -80°C. Avoid repeated freeze.
-
貨期:Basically, we can dispatch the products out in 1-3 working days after receiving your orders. Delivery time maybe differs from different purchasing way or location, please kindly consult your local distributors for specific delivery time.
-
用途:For Research Use Only. Not for use in diagnostic or therapeutic procedures.
相關產品
靶點詳情
-
功能:Voltage-sensitive calcium channels (VSCC) mediate the entry of calcium ions into excitable cells and are also involved in a variety of calcium-dependent processes, including muscle contraction, hormone or neurotransmitter release, gene expression, cell motility, cell division and cell death. The isoform alpha-1B gives rise to N-type calcium currents. N-type calcium channels belong to the 'high-voltage activated' (HVA) group and are specifically blocked by omega-conotoxin-GVIA (AC P01522) (AC P01522). They are however insensitive to dihydropyridines (DHP). Calcium channels containing alpha-1B subunit may play a role in directed migration of immature neurons.
-
基因功能參考文獻:
- Cav2.2 alpha1 subunit alone could form a complex with the AMPAR in heterologous cells. The cell-surface AMPAR was increased by co-expression of Cav2.2 alpha1 subunit. PMID: 29448101
- CACNA1B protein expressions in tumorous tissues were correlated with NSCLC patients' clinical characteristics and overall survival. CACNA1B mRNA and protein expression levels were higher in NSCLC tumorous tissues than in nontumorous tissues. PMID: 28127114
- These results do not support a causal association between the CACNA1B c.4166G>A; (p.R1389H) variant and M-D. PMID: 26157024
- AP-1 binding motifs, present only in exon 37a, enhance intracellular trafficking of exon 37a-containing Ca(V)2.2 to the axons and plasma membrane of rat dorsal root ganglia neurons PMID: 26511252
- CACNA1B mutation is linked to unique myoclonus-dystonia syndrome. PMID: 25296916
- The first disease connection for Cav2.2 channels [review] PMID: 26218636
- The interaction between LC1 and the N-type channel (CaV2.2 channel) was demonstrated. PMID: 24566975
- with membrane-localized CaV beta subunits, CaV2.2 channels are subject to Gbetagamma-mediated voltage-dependent inhibition, whereas cytosol-localized beta subunits confer more effective PIP2-mediated voltage-independent regulation PMID: 25225550
- Results show that GABA(B) receptors R1 and R2 must be activated for the modulation of N-type (Ca(v)2.2) calcium channels by analgesic alpha-conotoxins Vc1.1 and RgIA. PMID: 22613715
- new mechanistic perspectives, and reveal unexpected variations in determinants, underlying inhibition of Ca(V)1.2/Ca(V)2.2 channels by distinct RGK GTPases. PMID: 22590648
- Ca(2+) exits the channel through the Cav2.2. PMID: 22491326
- polymorphisms and haplotypes in the human CACNA1B gene show significant differences between cerebral infarction and control patients PMID: 21166801
- Results suggest that a 39 bp DNA element in the N-type voltage-gated calcium channel alpha1B gene might act as repressor in non-neuronal cells through specific interactions with DNA. PMID: 12018859
- molecular dissection of calcium current mechanosensitivity- electrophysiology of N-type calcium channels PMID: 12414690
- the C-terminal region of Ca(v)2.2 does not have a critical role in regulation of the calcium channel PMID: 14602720
- Cav2.2 alpha2delta auxiliary subunit binds to omega-conotoxins PMID: 15166237
- Activation of PKC resulted in its recruitment to and phosphorylation of Ca(V)2.2 channels, but PKC phosphorylation did not dissociate Ca(V)2.2 channel/syntaxin 1A complexes. PMID: 15607937
- The Y388S mutation had no effect on current density and cell surface expression of Ca(V)2.2/alpha2delta-2/beta1b channels expressed in human embryonic kidney tsA-201 cells, when equivalent proportions of cDNA were used. PMID: 16627564
- Our studies of the e37a/e37b splice site reveal a multifunctional domain in the C-terminus of Ca(V)2.2 that regulates the overall activity of N-type calcium channels in nociceptors. PMID: 16857708
- The orientation of the Ca(v)beta subunit relative to the alpha(1)2.2 subunit is critical, and suggests additional points of contact between these subunits are required for Ca(v)beta to regulate channel activity. PMID: 18958281
顯示更多
收起更多
-
相關疾病:Dystonia 23 (DYT23)
-
亞細胞定位:Membrane; Multi-pass membrane protein.
-
蛋白家族:Calcium channel alpha-1 subunit (TC 1.A.1.11) family, CACNA1B subfamily
-
組織特異性:Isoform Alpha-1b-1 and isoform Alpha-1b-2 are expressed in the central nervous system, but not in skeletal muscle or aorta. Expressed in the cerebral white matter, cortex, hippocampus, basal ganglia, and cerebellum.
-
數據庫鏈接:
Most popular with customers
-
-
YWHAB Recombinant Monoclonal Antibody
Applications: ELISA, WB, IHC, IF, FC
Species Reactivity: Human, Mouse, Rat
-
-
-
-
-
-















