CABP4 Antibody
-
中文名稱:CABP4兔多克隆抗體
-
貨號:CSB-PA004390LA01HU
-
規格:¥440
-
圖片:
-
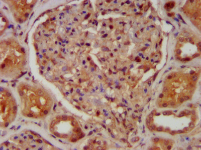
IHC image of CSB-PA004390LA01HU diluted at 1:400 and staining in paraffin-embedded human kidney tissue performed on a Leica BondTM system. After dewaxing and hydration, antigen retrieval was mediated by high pressure in a citrate buffer (pH 6.0). Section was blocked with 10% normal goat serum 30min at RT. Then primary antibody (1% BSA) was incubated at 4°C overnight. The primary is detected by a biotinylated secondary antibody and visualized using an HRP conjugated SP system.
-
Immunofluorescence staining of Hela cells with CSB-PA004390LA01HU at 1:133, counter-stained with DAPI. The cells were fixed in 4% formaldehyde, permeabilized using 0.2% Triton X-100 and blocked in 10% normal Goat Serum. The cells were then incubated with the antibody overnight at 4°C. The secondary antibody was Alexa Fluor 488-congugated AffiniPure Goat Anti-Rabbit IgG(H+L).
-
-
其他:
產品詳情
-
產品名稱:Rabbit anti-Homo sapiens (Human) CABP4 Polyclonal antibody
-
Uniprot No.:
-
基因名:CABP4
-
別名:CABP4 antibody; Calcium-binding protein 4 antibody; CaBP4 antibody
-
宿主:Rabbit
-
反應種屬:Human
-
免疫原:Recombinant Human Calcium-binding protein 4 protein (1-107AA)
-
免疫原種屬:Homo sapiens (Human)
-
標記方式:Non-conjugated
本頁面中的產品,CABP4 Antibody (CSB-PA004390LA01HU),的標記方式是Non-conjugated。對于CABP4 Antibody,我們還提供其他標記。見下表:
-
克隆類型:Polyclonal
-
抗體亞型:IgG
-
純化方式:>95%, Protein G purified
-
濃度:It differs from different batches. Please contact us to confirm it.
-
保存緩沖液:Preservative: 0.03% Proclin 300
Constituents: 50% Glycerol, 0.01M PBS, pH 7.4 -
產品提供形式:Liquid
-
應用范圍:ELISA, IHC, IF
-
推薦稀釋比:
Application Recommended Dilution IHC 1:200-1:500 IF 1:50-1:200 -
Protocols:
-
儲存條件:Upon receipt, store at -20°C or -80°C. Avoid repeated freeze.
-
貨期:Basically, we can dispatch the products out in 1-3 working days after receiving your orders. Delivery time maybe differs from different purchasing way or location, please kindly consult your local distributors for specific delivery time.
-
用途:For Research Use Only. Not for use in diagnostic or therapeutic procedures.
相關產品
靶點詳情
-
功能:Involved in normal synaptic function through regulation of Ca(2+) influx and neurotransmitter release in photoreceptor synaptic terminals and in auditory transmission. Modulator of CACNA1D and CACNA1F, suppressing the calcium-dependent inactivation and shifting the activation range to more hyperpolarized voltages.
-
基因功能參考文獻:
- CABP4-related retinal disease is a cone-rod system disorder with possible foveal abnormalities. PMID: 29525873
- Foveal thinning is a feature of CABP4 retinopathy. Normal autofluorescence is consistent with inner retinal dysfunction and suggests the condition could be amenable to gene therapy. Retinal dysfunction was stable throughout follow-up. PMID: 28635425
- In this study, a novel compound heterozygous mutation, c.[1A>G]; [608G>T] (p.[0?]; p.[W203L]), was identified in the LRIT3 gene of a proband. No mutations were identified in the CABP4 or GPR179 gene. PMID: 27428514
- Twenty-nine CACNA1F variations were detected among 34 families in the total cohort, and a novel CABP4 variation was identified in one family. PMID: 28002560
- we found a homozygous compound mutation in the CABP4 gene in 3 patients with congenital stationary night blindess 2. PMID: 23714322
- Complex regulation of voltage-dependent activation and inactivation properties of retinal voltage-gated Cav1.4 L-type Ca2+ channels by Ca2+-binding protein 4 (CaBP4). PMID: 22936811
- This report significantly expands on the phenotype associated with calcium binding protein 4 mutations. PMID: 20157620
- it is reported for the first time that mutations in CABP4 lead to autosomal recessive congenital stationary night blindness PMID: 16960802
- A novel homozygous nonsense mutation in CABP4 in two siblings resulted in a phenotype with severely reduced cone function and only negligibly reduced rod function on electroretinography and psychophysical testing. PMID: 19074807
顯示更多
收起更多
-
相關疾病:Cone-rod synaptic disorder, congenital non-progressive (CRSD)
-
亞細胞定位:Cytoplasm. Cell junction, synapse, presynapse.
-
組織特異性:Expressed in retina and in the inner hair cells (IHC) of the cochlea.
-
數據庫鏈接:
Most popular with customers
-
-
YWHAB Recombinant Monoclonal Antibody
Applications: ELISA, WB, IHC, IF, FC
Species Reactivity: Human, Mouse, Rat
-
Phospho-YAP1 (S127) Recombinant Monoclonal Antibody
Applications: ELISA, WB, IHC
Species Reactivity: Human
-
-
-
-
-















