CAB39 Antibody
-
中文名稱:CAB39兔多克隆抗體
-
貨號:CSB-PA782755
-
規格:¥1100
-
圖片:
-
The image on the left is immunohistochemistry of paraffin-embedded Human cervical cancer tissue using CSB-PA782755(CAB39 Antibody) at dilution 1/50, on the right is treated with synthetic peptide. (Original magnification: ×200)
-
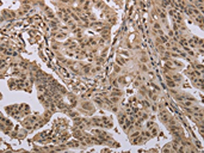
The image on the left is immunohistochemistry of paraffin-embedded Human gastric cancer tissue using CSB-PA782755(CAB39 Antibody) at dilution 1/50, on the right is treated with synthetic peptide. (Original magnification: ×200)
-
Gel: 8%SDS-PAGE, Lysate: 40 μg, Lane 1-3: 293T cells, LoVo cells, human brain malignant glioma tissue, Primary antibody: CSB-PA782755(CAB39 Antibody) at dilution 1/450, Secondary antibody: Goat anti rabbit IgG at 1/8000 dilution, Exposure time: 5 seconds
-
-
其他:
產品詳情
-
Uniprot No.:
-
基因名:
-
別名:Cab39 antibody; CAB39_HUMAN antibody; Calcium binding protein 39 antibody; Calcium-binding protein 39 antibody; CGI 66 antibody; CGI-66 antibody; CGI66 antibody; MO25 alpha antibody; MO25 antibody; Mouse protein 25 alpha antibody; Protein Mo25 antibody
-
宿主:Rabbit
-
反應種屬:Human,Mouse
-
免疫原:Synthetic peptide of Human CAB39
-
免疫原種屬:Homo sapiens (Human)
-
標記方式:Non-conjugated
-
抗體亞型:IgG
-
純化方式:Antigen affinity purification
-
濃度:It differs from different batches. Please contact us to confirm it.
-
保存緩沖液:-20°C, pH7.4 PBS, 0.05% NaN3, 40% Glycerol
-
產品提供形式:Liquid
-
應用范圍:ELISA,WB,IHC
-
推薦稀釋比:
Application Recommended Dilution ELISA 1:2000-1:5000 WB 1:500-1:2000 IHC 1:50-1:200 -
Protocols:
-
儲存條件:Upon receipt, store at -20°C or -80°C. Avoid repeated freeze.
-
貨期:Basically, we can dispatch the products out in 1-3 working days after receiving your orders. Delivery time maybe differs from different purchasing way or location, please kindly consult your local distributors for specific delivery time.
-
用途:For Research Use Only. Not for use in diagnostic or therapeutic procedures.
相關產品
靶點詳情
-
功能:Component of a complex that binds and activates STK11/LKB1. In the complex, required to stabilize the interaction between CAB39/MO25 (CAB39/MO25alpha or CAB39L/MO25beta) and STK11/LKB1.
-
基因功能參考文獻:
- miR-451 directly targets CAB39 and negatively regulates its expression and inhibition of CAB39 contributes to the promoted cell viability and invasion PMID: 28197410
- These data provide molecular understanding of the mechanism by which MO25 isoforms regulates the activity of STE20 family protein kinases. PMID: 23296203
- Authors conclude that miR-451 represses glioma in vitro and in vivo, likely through targeting CAB39 directly and inhibiting the PI3K/AKT pathway indirectly. PMID: 22179124
- MO25 is a master regulator of SPAK/OSR1 and MST3/MST4/YSK1 protein kinases. PMID: 21423148
- study describes structure of the core heterotrimeric LKB1-STRADalpha-MO25alpha complex, revealing an unusual allosteric mechanism of LKB1 activation; structure also reveals how mutations in Peutz-Jeghers syndrome & sporadic cancers impair LKB1 function PMID: 19892943
- STRADalpha.MO25alpha complexes containing LKB1 variants were equally effective at phosphorylating and activating AMPK, BRSK1, and BRSK2 PMID: 18854318
- These data define a brush border induction pathway downstream of the Lkb1/Strad/Mo25 polarization complex, yet separate from other polarity events. PMID: 19386264
- ATP and MO25alpha cooperate to maintain STRADalpha in an "active" closed conformation required for LKB1 activation. PMID: 19513107
- plays very important oncogenic roles in hepatocellular carcinoma pathogenesis and progression by activating the ERK signaling pathway PMID: 28605041
顯示更多
收起更多
-
亞細胞定位:Cytoplasm.
-
蛋白家族:Mo25 family
-
數據庫鏈接:
Most popular with customers
-
-
YWHAB Recombinant Monoclonal Antibody
Applications: ELISA, WB, IHC, IF, FC
Species Reactivity: Human, Mouse, Rat
-
Phospho-YAP1 (S127) Recombinant Monoclonal Antibody
Applications: ELISA, WB, IHC
Species Reactivity: Human
-
-
-
-
-















