C4BPB Antibody
-
中文名稱:C4BPB兔多克隆抗體
-
貨號:CSB-PA003954ESR2HU
-
規格:¥440
-
圖片:
-
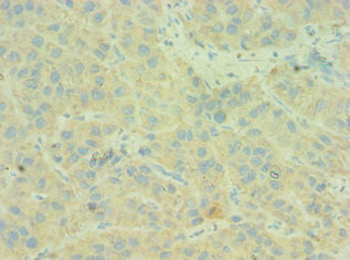
Immunohistochemistry of paraffin-embedded human liver cancer using CSB-PA003954ESR2HU at dilution of 1:100
-
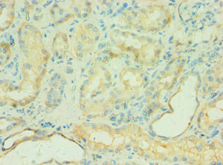
Immunohistochemistry of paraffin-embedded human kidney tissue using CSB-PA003954ESR2HU at dilution of 1:100
-
Immunoprecipitating C4BPB in HepG2 whole cell lysate
Lane 1: Rabbit control IgG instead of CSB-PA003954ESR2HU in HepG2 whole cell lysate. For western blotting, a HRP-conjugated Protein G antibody was used as the secondary antibody (1/2000)
Lane 2: CSB-PA003954ESR2HU (8μg) + HepG2 whole cell lysate (500μg)
Lane 3: HepG2 whole cell lysate (10μg)
-
-
其他:
產品詳情
-
產品名稱:Rabbit anti-Homo sapiens (Human) C4BPB Polyclonal antibody
-
Uniprot No.:
-
基因名:
-
別名:C4b binding protein beta chain antibody; C4b-binding protein beta chain antibody; C4BP antibody; C4BPB antibody; C4BPB_HUMAN antibody; Complement component 4 binding protein beta antibody; Complement component 4 binding protein beta chain antibody; Complement component 4-binding protein beta antibody; OTTHUMP00000034288 antibody; OTTHUMP00000034289 antibody; OTTHUMP00000034375 antibody; OTTHUMP0000003474 antibody; Proline rich protein antibody; PRP antibody
-
宿主:Rabbit
-
反應種屬:Human
-
免疫原:Recombinant Human C4b-binding protein beta chain protein (18-252AA)
-
免疫原種屬:Homo sapiens (Human)
-
標記方式:Non-conjugated
-
克隆類型:Polyclonal
-
抗體亞型:IgG
-
純化方式:Antigen Affinity Purified
-
濃度:It differs from different batches. Please contact us to confirm it.
-
保存緩沖液:PBS with 0.02% sodium azide, 50% glycerol, pH7.3.
-
產品提供形式:Liquid
-
應用范圍:ELISA, IHC, IP
-
推薦稀釋比:
Application Recommended Dilution IHC 1:20-1:200 IP 1:200-1:2000 -
Protocols:
-
儲存條件:Upon receipt, store at -20°C or -80°C. Avoid repeated freeze.
-
貨期:Basically, we can dispatch the products out in 1-3 working days after receiving your orders. Delivery time maybe differs from different purchasing way or location, please kindly consult your local distributors for specific delivery time.
-
用途:For Research Use Only. Not for use in diagnostic or therapeutic procedures.
相關產品
靶點詳情
-
功能:Controls the classical pathway of complement activation. It binds as a cofactor to C3b/C4b inactivator (C3bINA), which then hydrolyzes the complement fragment C4b. It also accelerates the degradation of the C4bC2a complex (C3 convertase) by dissociating the complement fragment C2a. It also interacts with anticoagulant protein S and with serum amyloid P component. The beta chain binds protein S.
-
基因功能參考文獻:
- SAA, PROZ, and C4BPB may serve as new potential biomarkers for TB PMID: 28278182
- Binding of complement inhibitor C4b-binding protein to a highly virulent Streptococcus pyogenes M1 strain is mediated by protein H and enhances adhesion to and invasion of endothelial cells. PMID: 24064215
- crystallographic data on the structure of CD11c/CD18 and prediction of the secondary structure of the C4BP oligomerization domain, we show that epitopes bound by KIM185 in these proteins are unlikely to share any major structural similarity. PMID: 21856004
- C4BP alpha7beta0 subunit [C4BP alpha7beta0 isoform lacking the beta-chain] induces a semimature, tolerogenic state on human monocyte-derived dendritic cells activated by a proinflammatory stimulus. PMID: 23390292
- Since FI requires cofactors for its activity we also investigated the binding of purified cofactors C4BP and FH and found acquisition of both proteins, which retained their activity in FI mediated degradation of C3b and C4b. PMID: 22514678
- Results demonstrate that successful secretion of complement regulatory protein C4b-binding protein beta-chains depends on intracellular complex formation with vitamin K-dependent protein S, but not on the alpha-chains. PMID: 20693287
- Localized via protein S to the surface of apoptotic cells, C4BP is able to interact with complement protein C4b, thus retaining its physiological role in regulation of complement on the apoptotic cell surface. PMID: 12193728
- C4BP is composed of seven alpha-chains and a unique beta-chain, each chain comprising repeating complement control protein (CCP) modules, the results suggest that the role of CCP2 in protein S binding is to orient and stabilize CCP1 PMID: 12492479
- C4b-binding protein binds to necrotic cells and DNA, limiting DNA release and inhibiting complement activation. PMID: 15967823
- analysis of structural basis for C4b-binding protein interaction with streptococcal M protein PMID: 16330538
- review of multiple functional roles of the complex of protein S and cd4-binding protein beta chain, such as binding to apoptotoic cells, phagocytosis PMID: 17597997
- C4BP levels are increased in patients suffering from primary Sjogren's syndrome PMID: 19284503
顯示更多
收起更多
-
亞細胞定位:Secreted.
-
數據庫鏈接:
Most popular with customers
-
-
YWHAB Recombinant Monoclonal Antibody
Applications: ELISA, WB, IHC, IF, FC
Species Reactivity: Human, Mouse, Rat
-
Phospho-YAP1 (S127) Recombinant Monoclonal Antibody
Applications: ELISA, WB, IHC
Species Reactivity: Human
-
-
-
-
-















