C19orf47 Antibody
-
中文名稱:C19orf47兔多克隆抗體
-
貨號:CSB-PA003463LA01HU
-
規格:¥440
-
圖片:
-
Western blot
All lanes: C19orf47 antibody at 10µg/ml + Mouse muscle tissue
Secondary
Goat polyclonal to rabbit IgG at 1/10000 dilution
Predicted band size: 45, 38, 30 kDa
Observed band size: 45 kDa -
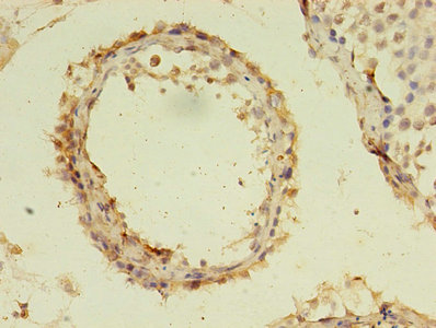
Immunohistochemistry of paraffin-embedded human testis tissue using CSB-PA003463LA01HU at dilution of 1:100
-
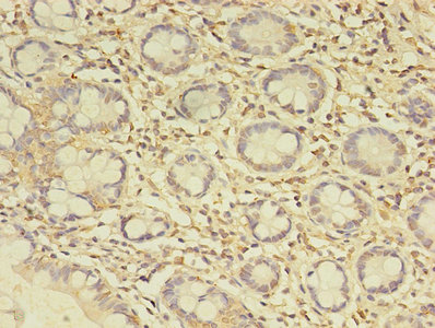
Immunohistochemistry of paraffin-embedded human small intestine tissue using CSB-PA003463LA01HU at dilution of 1:100
-
-
其他:
產品詳情
-
產品名稱:Rabbit anti-Homo sapiens (Human) C19orf47 Polyclonal antibody
-
Uniprot No.:
-
基因名:C19orf47
-
別名:C19orf47Uncharacterized protein C19orf47 antibody
-
宿主:Rabbit
-
反應種屬:Human, Mouse
-
免疫原:Recombinant Human Uncharacterized protein C19orf47 protein (1-281AA)
-
免疫原種屬:Homo sapiens (Human)
-
標記方式:Non-conjugated
本頁面中的產品,C19orf47 Antibody (CSB-PA003463LA01HU),的標記方式是Non-conjugated。對于C19orf47 Antibody,我們還提供其他標記。見下表:
-
克隆類型:Polyclonal
-
抗體亞型:IgG
-
純化方式:>95%, Protein G purified
-
濃度:It differs from different batches. Please contact us to confirm it.
-
保存緩沖液:Preservative: 0.03% Proclin 300
Constituents: 50% Glycerol, 0.01M PBS, PH 7.4 -
產品提供形式:Liquid
-
應用范圍:ELISA, WB, IHC
-
推薦稀釋比:
Application Recommended Dilution WB 1:500-1:2000 IHC 1:20-1:200 -
Protocols:
-
儲存條件:Upon receipt, store at -20°C or -80°C. Avoid repeated freeze.
-
貨期:Basically, we can dispatch the products out in 1-3 working days after receiving your orders. Delivery time maybe differs from different purchasing way or location, please kindly consult your local distributors for specific delivery time.
-
用途:For Research Use Only. Not for use in diagnostic or therapeutic procedures.
相關產品
Most popular with customers
-
-
YWHAB Recombinant Monoclonal Antibody
Applications: ELISA, WB, IHC, IF, FC
Species Reactivity: Human, Mouse, Rat
-
Phospho-YAP1 (S127) Recombinant Monoclonal Antibody
Applications: ELISA, WB, IHC
Species Reactivity: Human
-
-
-
-
-















