BTD Antibody
-
中文名稱:BTD兔多克隆抗體
-
貨號:CSB-PA002854LA01HU
-
規格:¥440
-
圖片:
-
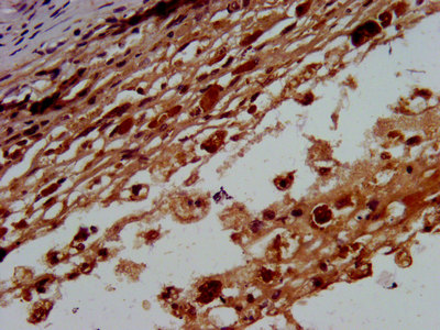
IHC image of CSB-PA002854LA01HU diluted at 1:400 and staining in paraffin-embedded human melanoma performed on a Leica BondTM system. After dewaxing and hydration, antigen retrieval was mediated by high pressure in a citrate buffer (pH 6.0). Section was blocked with 10% normal goat serum 30min at RT. Then primary antibody (1% BSA) was incubated at 4°C overnight. The primary is detected by a biotinylated secondary antibody and visualized using an HRP conjugated SP system.
-
-
其他:
產品詳情
-
產品名稱:Rabbit anti-Homo sapiens (Human) BTD Polyclonal antibody
-
Uniprot No.:
-
基因名:BTD
-
別名:Biotinase antibody; Biotinidase antibody; Btd antibody; BTD_HUMAN antibody; EC 3.5.1.12 antibody
-
宿主:Rabbit
-
反應種屬:Human
-
免疫原:Recombinant Human Biotinidase protein (322-397AA)
-
免疫原種屬:Homo sapiens (Human)
-
標記方式:Non-conjugated
本頁面中的產品,BTD Antibody (CSB-PA002854LA01HU),的標記方式是Non-conjugated。對于BTD Antibody,我們還提供其他標記。見下表:
-
克隆類型:Polyclonal
-
抗體亞型:IgG
-
純化方式:>95%, Protein G purified
-
濃度:It differs from different batches. Please contact us to confirm it.
-
保存緩沖液:Preservative: 0.03% Proclin 300
Constituents: 50% Glycerol, 0.01M PBS, pH 7.4 -
產品提供形式:Liquid
-
應用范圍:ELISA, IHC
-
推薦稀釋比:
Application Recommended Dilution IHC 1:200-1:500 -
Protocols:
-
儲存條件:Upon receipt, store at -20°C or -80°C. Avoid repeated freeze.
-
貨期:Basically, we can dispatch the products out in 1-3 working days after receiving your orders. Delivery time maybe differs from different purchasing way or location, please kindly consult your local distributors for specific delivery time.
-
用途:For Research Use Only. Not for use in diagnostic or therapeutic procedures.
相關產品
靶點詳情
-
功能:Catalytic release of biotin from biocytin, the product of biotin-dependent carboxylases degradation.
-
基因功能參考文獻:
- BTD mutation is associated with biotinidase deficiency. PMID: 29995633
- Biotinidase deficiency is reviewed. PMID: 26577040
- Four rare missense variants were identified (ACTBL2 rs73757391 (5q11.2), BTD rs200337373 (3p25.1), KRT13 rs150321809 (17q21.2) and MC2R rs104894658 (18p11.21)), but only MC2R rs104894668 had a large effect size (OR = 9.66). PMID: 27378695
- The history and genetic basis of biotinidase deficiency has been presented. (Review) PMID: 26456103
- 48 novel alterations in the biotinidase gene have been identified; correlating the individual's serum enzymatic activity with genotype, were able to determine the effect of the novel alteration on enzyme activity and, thereby, determine its likelihood of being pathogenic in 44 of these individuals PMID: 26810761
- The common biotinidase gene mutations (p.R157H, p.D444H, c.98-104del7ins3, p.T532M) cumulatively accounted for 72.3% of all the mutant alleles in the Turkish population. PMID: 25754625
- Summary of the demographic features of patients identified as biotinidase deficient from August of 2012 through August of 2013 and mutation analysis results for 20 cases in the southeast region of Turkey. PMID: 25423671
- Three novel pathogenic variants in BTD gene were identified in a cohort of Brazilian patients with biotinidase deficiency and control suggesting an allelic heteregeneity of the condition. PMID: 25174816
- Report incidence of profound biotinase deficiency in Swedish newborns and adoptive immigrant children. PMID: 20224900
- High frequencies of biotinidase mutations may explain the high incidence of biotinidase deficiency in Hungary. PMID: 20549359
- Mutation analysis revealed three novel mutations, c.del631C and c.1557T>G within exon 4 and c.324-325insTA in exon 3 in Biotinidase deficiency patients and families. PMID: 23481307
- Four Somali patients have the P497S mutation, with one of the four being homozygous for the mutation PMID: 19757147
- Six different mutations in the biotinidase gene are identified in biotinidase in four Chinese patients; determination of biotinidase activities are performed for selective screening of biotinidase deficiency PMID: 19728141
- loss of overall biotinidase expression is a novel marker for thyroid cancer aggressiveness. PMID: 22911723
- Plasma BTD activity increases in hepatic glycogen storage disease patients. PMID: 20532819
- 140 known mutations in the biotinidase gene (BTD) that cause biotinidase deficiency, are reported. PMID: 20556795
- Mutations in biotinidase is associated with biotinidase deficiency. PMID: 20539236
- 12 patients with multiple carboxylase deficiency, six mutations were found in the BT gene and 4 in the HLCS gene, including 5 novel mutations. PMID: 19806568
- review of mutations causing biotinidase deficiency PMID: 11668630
- report of 17 novel mutations that cause profound biotinidase deficiency. Six of the mutations are due to deletions, whereas the remaining 11 mutations are missense mutations located throughout the gene PMID: 12359137
- analysis of mutations in biotinidase deficiency PMID: 15776412
- 21 different mutations were identified in 49 patients, including four novel mutations. Ten mutations proved to be unique to the Hungarian population. PMID: 17185019
- Posttranslational modification of histones by biotinylation can be catalyzed by biotinidase; role of this function is ambiguous. PMID: 18479898
- This case indicates that biotinidase deficiency should be included in the differential diagnosis of subacute myelopathy and emphasizes the importance of a prompt diagnosis to prevent irreversible neurological damage. PMID: 18645204
顯示更多
收起更多
-
相關疾病:Biotinidase deficiency (BTD deficiency)
-
亞細胞定位:Secreted, extracellular space.
-
蛋白家族:Carbon-nitrogen hydrolase superfamily, BTD/VNN family
-
數據庫鏈接:
Most popular with customers
-
-
Phospho-YAP1 (S127) Recombinant Monoclonal Antibody
Applications: ELISA, WB, IHC
Species Reactivity: Human
-
-
-
-
-
-















