BST1 Antibody
-
中文名稱:BST1兔多克隆抗體
-
貨號:CSB-PA159485
-
規格:¥1100
-
圖片:
-
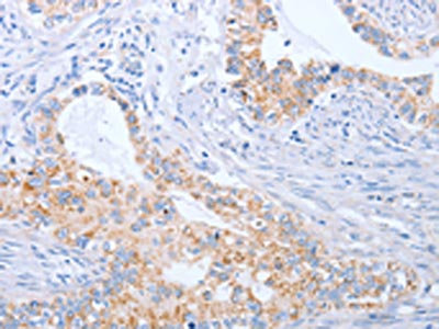
The image on the left is immunohistochemistry of paraffin-embedded Human thyroid cancer tissue using CSB-PA159485(BST1 Antibody) at dilution 1/50, on the right is treated with synthetic peptide. (Original magnification: ×200)
-
The image on the left is immunohistochemistry of paraffin-embedded Human cervical cancer tissue using CSB-PA159485(BST1 Antibody) at dilution 1/50, on the right is treated with synthetic peptide. (Original magnification: ×200)
-
-
其他:
產品詳情
-
Uniprot No.:
-
基因名:
-
別名:ADP ribosyl cyclase 2 antibody; ADP-ribosyl cyclase 2 antibody; ADP-ribosyl cyclase/cyclic ADP-ribose hydrolase 2 antibody; Bone marrow stromal antigen 1 antibody; Bone marrow stromal cell antigen 1 antibody; BST 1 antibody; BST-1 antibody; BST1 antibody; BST1_HUMAN antibody; cADPr hydrolase 2 antibody; CD157 antibody; CD157 antigen antibody; Cyclic ADP ribose hydrolase 2 antibody; Cyclic ADP-ribose hydrolase 2 antibody; NAD(+) nucleosidase antibody; OTTHUMP00000217617 antibody
-
宿主:Rabbit
-
反應種屬:Human,Mouse,Rat
-
免疫原:Synthetic peptide of Human BST1
-
免疫原種屬:Homo sapiens (Human)
-
標記方式:Non-conjugated
-
抗體亞型:IgG
-
純化方式:Antigen affinity purification
-
濃度:It differs from different batches. Please contact us to confirm it.
-
保存緩沖液:-20°C, pH7.4 PBS, 0.05% NaN3, 40% Glycerol
-
產品提供形式:Liquid
-
應用范圍:ELISA,IHC
-
推薦稀釋比:
Application Recommended Dilution ELISA 1:1000-1:5000 IHC 1:50-1:200 -
Protocols:
-
儲存條件:Upon receipt, store at -20°C or -80°C. Avoid repeated freeze.
-
貨期:Basically, we can dispatch the products out in 1-3 working days after receiving your orders. Delivery time maybe differs from different purchasing way or location, please kindly consult your local distributors for specific delivery time.
-
用途:For Research Use Only. Not for use in diagnostic or therapeutic procedures.
相關產品
靶點詳情
-
功能:Synthesizes the second messengers cyclic ADP-ribose and nicotinate-adenine dinucleotide phosphate, the former a second messenger that elicits calcium release from intracellular stores. May be involved in pre-B-cell growth.
-
基因功能參考文獻:
- SNPs rs28532698 and rs4301112 in CD157 are not significantly associated with childhood autism spectrum disorder or the severity of the disease in a Chinese Han population. PMID: 29216786
- the rs4698412 variant of BST-1 may increase the Parkinson disease susceptibility. [META-ANALYSIS] PMID: 25986899
- Novel SCRG1/BST1 axis regulates self-renewal, migration, and osteogenic differentiation potential in mesenchymal stem cells. PMID: 24413464
- A pre-steady state and steady state kinetic analysis of the N-ribosyl hydrolase activity of hCD157. PMID: 25250980
- Studies indicate that vertebrate ADP-ribosyl cyclases (ARCs) Bst1 and CD38 with common gene structure of invertebrate ARC, suggesting the origin to the ancestor of bilaterian animals. PMID: 24896331
- Autism and with features of regression-previously acquired speech lost in the second year of life. The younger sister, who also had asthma, inherited a maternal deletion of 4p15.32 that results in a BST1-CD38 fusion transcript. PMID: 24634087
- BST1 rs11724635 polymorphism can interact with well water drinking to increase the risk of Parkinson's disease in a Taiwanese population. PMID: 24342025
- These findings indicate a central role of CD157 in cell-extracellular matrix interactions and make CD157 an attractive therapeutic target in inflammation and cancer. PMID: 24753259
- These results demonstrate for the first time that CD157 plays a role as a neuro-regulator and suggest a potential role in pre-motor symptoms in Parkinson's disease. PMID: 24795584
- A ligand-receptor complex SCRG1/BST1 axis facilitate mesenchymal stem cells migration, preserve OCT4 and CD271 expression, self-renewal and osteogenic differentiation. PMID: 24413464
- The results of this study indicated that the SNCA and BST1 SNPs generally increase the risk of developing PD and that SNCA rs11931074 in particular is associated with a higher risk of parkinson disease with family history. PMID: 23853107
- The results of this study showed that no causative mutation in the BST1 gene in patients with Parkinson's disease. PMID: 23827523
- This study confirmed the associations of BST1 with parkinson disease susceptibility and fail to show significant associations of alzheimer disease genome-wide association study (GWAS) top hits with PD susceptibility in a Korean population. PMID: 23820587
- BST1 SNPs rs11931532, rs12645693, & rs11724635 did not correlate with sporadic PD. The relationship of rs11724635 & sporadic PD had borderline significance. Smoking or caffeine intake did not correlate with SNP rs11724635 affecting sporadic PD. PMID: 23026536
- Findings implicate CD157 in the progression of EOC to metastatic disease and suggest that CD157 may represent a valuable therapeutic target. PMID: 22916288
- The SNPs investigated in the BST1, PARK15 and PARK9 genes associated with PD susceptibility are not associated with PD in the northern Han Chinese population. PMID: 22490479
- Direct replication of single nucleotide polymorphisms (SNPs) within SNCA and BST1 confirmed these two genes to be associated with the Parkinson's Disease in the Netherlands. PMID: 21248740
- The CD157-integrin partnership provides optimal adhesion and transmigration of human monocytes. PMID: 21478153
- found converging evidence of association with Parkinson's disease on 12q24 (rs4964469, combined P = 2.4 x 10(-7)) and confirmed the association on 4p15/BST1 (rs4698412, combined P = 1.8 x 10(-6)), previously reported in Japanese data PMID: 21084426
- PARK16, PARK8, and PARK1 loci but not BST1 are found to be associated with Parkinson's disease. PMID: 20697102
- CD157 plays a pivotal role in the control of ovarian cancer cell migration and peritoneal invasion, and it may be clinically useful as a prognostic tool and therapeutic target. PMID: 20639476
- crystal structures of the extracellular region of human BST-1 at atomic resolution in the free form and in complexes with five substrate analogues: nicotinamide, NMN, ATPgammaS, ethenoNADP, and ethenoNAD PMID: 11866528
- CD157 molecule displays two distinct domains in its extracellular component. The first is implicated in the enzymic activities of the molecule and the second features adhesion/signalling properties [review] PMID: 12415565
- Deficient in paroxysmal nocturnal hemoglobinemia; crucial to regulation of innate immunity during inflammation. PMID: 15328157
- The results confirm that CD157 physically interacts with CD11b/CD18 complex in human neutrophils PMID: 18211745
- Results show that CD38 and CD157 are expressed constitutively by corneal cells: CD38 appears as a 45-kDa monomer, while CD157 is a 42- to 45-kDa doublet. PMID: 19052657
顯示更多
收起更多
-
亞細胞定位:Cell membrane; Lipid-anchor, GPI-anchor.
-
蛋白家族:ADP-ribosyl cyclase family
-
組織特異性:Widely expressed.
-
數據庫鏈接:
Most popular with customers
-
-
Phospho-YAP1 (S127) Recombinant Monoclonal Antibody
Applications: ELISA, WB, IHC
Species Reactivity: Human
-
-
-
-
-
-















