BRS3 Antibody
-
中文名稱:BRS3兔多克隆抗體
-
貨號:CSB-PA439979
-
規格:¥1100
-
圖片:
-
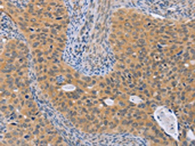
The image on the left is immunohistochemistry of paraffin-embedded Human liver cancer tissue using CSB-PA439979(BRS3 Antibody) at dilution 1/50, on the right is treated with synthetic peptide. (Original magnification: ×200)
-
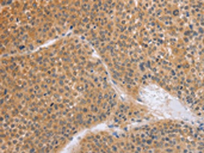
The image on the left is immunohistochemistry of paraffin-embedded Human cervical cancer tissue using CSB-PA439979(BRS3 Antibody) at dilution 1/50, on the right is treated with synthetic peptide. (Original magnification: ×200)
-
Gel: 8%SDS-PAGE, Lysate: 40 μg, Lane: A172 cells, Primary antibody: CSB-PA439979(BRS3 Antibody) at dilution 1/500, Secondary antibody: Goat anti rabbit IgG at 1/8000 dilution, Exposure time: 20 seconds
-
-
其他:
產品詳情
-
Uniprot No.:
-
基因名:
-
別名:BRS3; Bombesin receptor subtype-3; BRS-3
-
宿主:Rabbit
-
反應種屬:Human,Mouse,Rat
-
免疫原:Synthetic peptide of Human BRS3
-
免疫原種屬:Homo sapiens (Human)
-
標記方式:Non-conjugated
-
抗體亞型:IgG
-
純化方式:Antigen affinity purification
-
濃度:It differs from different batches. Please contact us to confirm it.
-
保存緩沖液:-20°C, pH7.4 PBS, 0.05% NaN3, 40% Glycerol
-
產品提供形式:Liquid
-
應用范圍:ELISA,WB,IHC
-
推薦稀釋比:
Application Recommended Dilution ELISA 1:2000-1:5000 WB 1:500-1:2000 IHC 1:50-1:200 -
Protocols:
-
儲存條件:Upon receipt, store at -20°C or -80°C. Avoid repeated freeze.
-
貨期:Basically, we can dispatch the products out in 1-3 working days after receiving your orders. Delivery time maybe differs from different purchasing way or location, please kindly consult your local distributors for specific delivery time.
-
用途:For Research Use Only. Not for use in diagnostic or therapeutic procedures.
相關產品
靶點詳情
-
功能:Role in sperm cell division, maturation, or function. This receptor mediates its action by association with G proteins that activate a phosphatidylinositol-calcium second messenger system.
-
基因功能參考文獻:
- These results suggest that human BRS-3, similar to GRPR/NMBR, is frequently ectopically-expressed by lung-cancer cells in which, it is functional, affecting cell signaling/growth. PMID: 29410320
- mammalian homologue of CCHa2-R, Bombesin receptor subtype-3 (Brs3), is an orphan receptor that is expressed in the islet beta-cells PMID: 26020940
- High BRS3 expression is associated with liver metastases of pancreas neuroendocrine tumors. PMID: 25241033
- The role of the human BRS-3 receptor in glucose homeostasis. PMID: 24220502
- Data show that gastrin-releasing peptide receptor/bombesin receptor subtype-3 positive cells and protein expression in tumors decreased by treatment with RC-3095 or gemcitabine alone or greater in combination. PMID: 24326363
- BRS-3 plays an important role in glucose metabolism. PMID: 23291341
- BRS-3 agonist-dependent signaling mediates CREB phosphorylation and transactivation through protein kinase (PK)A, (PK)C, and mitogen-activated protein/extracellular regulated kinase kinase (MEK)-1 pathways. PMID: 22127929
- These results identify a potential role for BRS-3 in islet physiology, with agonism directly promoting glucose-stimulated insulin secretion PMID: 21878513
- results indicate that the sequence variation in the E3 loop is responsible for the species difference between rat and human BRS-3, and multiple residues in the E3 loop are involved in interactions with the agonist dY-bombesin PMID: 12102638
- Study found that the BRS-3 agonist stimulated adhesion of NCI-N417 cells in laminin-coated culture wells suggesting that BRS-3 may be involved in invasion and metastasis of certain cancer cells PMID: 16979789
- Data suggest that activator protein 2alpha and peroxisome-proliferator-activated receptor alpha may be especially involved in the ozone-inducible up-regulation mechanism of bombesin receptor subtype 3 expression. PMID: 17355223
- The secretion of TGF-beta1 increased and the synthesis of PGE2 decreased from BRS-3-activated BEC, which were correlated with the proliferation and collagen synthesis of HLF. PMID: 17714959
顯示更多
收起更多
-
亞細胞定位:Cell membrane; Multi-pass membrane protein.
-
蛋白家族:G-protein coupled receptor 1 family
-
組織特異性:In germ cells in testis. Lung carcinoma cells.
-
數據庫鏈接:
Most popular with customers
-
-
YWHAB Recombinant Monoclonal Antibody
Applications: ELISA, WB, IHC, IF, FC
Species Reactivity: Human, Mouse, Rat
-
Phospho-YAP1 (S127) Recombinant Monoclonal Antibody
Applications: ELISA, WB, IHC
Species Reactivity: Human
-
-
-
-
-















