BRINP1 Antibody
-
中文名稱:BRINP1兔多克隆抗體
-
貨號:CSB-PA167353
-
規格:¥1100
-
圖片:
-
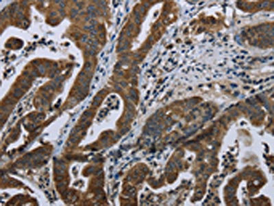
The image on the left is immunohistochemistry of paraffin-embedded Human gastic cancer tissue using CSB-PA167353(BRINP1 Antibody) at dilution 1/20, on the right is treated with fusion protein. (Original magnification: ×200)
-
The image on the left is immunohistochemistry of paraffin-embedded Human colon cancer tissue using CSB-PA167353(BRINP1 Antibody) at dilution 1/20, on the right is treated with fusion protein. (Original magnification: ×200)
-
-
其他:
產品詳情
-
Uniprot No.:
-
基因名:BRINP1
-
別名:BMP/retinoic acid-inducible neural-specific protein 1 antibody; BRINP1 antibody; DBC1 antibody; DBC1_HUMAN antibody; DBCCR1 antibody; Deleted in bladder cancer protein 1 antibody; Deleted in bladder cancer protein 1 precursor antibody; FAM5A antibody; IB3089A antibody; Protein FAM5A antibody
-
宿主:Rabbit
-
反應種屬:Human,Mouse,Rat
-
免疫原:Fusion protein of Human BRINP1
-
免疫原種屬:Homo sapiens (Human)
-
標記方式:Non-conjugated
-
抗體亞型:IgG
-
純化方式:Antigen affinity purification
-
濃度:It differs from different batches. Please contact us to confirm it.
-
保存緩沖液:-20°C, pH7.4 PBS, 0.05% NaN3, 40% Glycerol
-
產品提供形式:Liquid
-
應用范圍:ELISA,IHC
-
推薦稀釋比:
Application Recommended Dilution ELISA 1:2000-1:5000 IHC 1:50-1:200 -
Protocols:
-
儲存條件:Upon receipt, store at -20°C or -80°C. Avoid repeated freeze.
-
貨期:Basically, we can dispatch the products out in 1-3 working days after receiving your orders. Delivery time maybe differs from different purchasing way or location, please kindly consult your local distributors for specific delivery time.
-
用途:For Research Use Only. Not for use in diagnostic or therapeutic procedures.
相關產品
靶點詳情
-
功能:Inhibits cell proliferation by negative regulation of the G1/S transition. Mediates cell death which is not of the classical apoptotic type and regulates expression of components of the plasminogen pathway.
-
基因功能參考文獻:
- Results found that the expression of DBCCR1 is significantly lower in the lung cancer tissues compared with adjacent non-tumor tissues of patients, and correlates with more advanced stages of cancer, and shorter survival of patients. Interestingly, DBCCR1 attenuates the expression of DNMT1, suggesting a reciprocal regulation between genetic silencing of cancer suppressor genes and activating DNA methylation. PMID: 28427182
- we found that the SIRT1 modulators AROS and DBC1 have an impact on hsp70 transcription, HSF1 acetylation status, and HSF1 recruitment to the hsp70 promoter PMID: 23349863
- DBC1 modulates the stability and function of the nuclear receptor Rev-erb-alpha. PMID: 23398316
- the stress-induced DBC1-SIRT1 interaction is important for cell fate determination following genotoxic stress. PMID: 22465953
- Rxpression of DBC1 and SIRT1 is a significant prognostic indicator for breast carcinoma patients. PMID: 21056897
- High DBC1 expression is associated with breast and lung cancer.. PMID: 20429629
- DBCCR1 is involved in the process of bladder tumorigenesis PMID: 12442002
- the prevalent inactivation of DBCCR1 seen at the expression level in astrocytomas is not primarily caused by genomic loss of the gene. PMID: 15643521
- likely tumor suppressor for NSCLC;silencing through homozygous deletion or methylation of its promoter promotes progression PMID: 15746151
- hypermethylation of the DBC1 promoter region is a frequent event during the development of lymphoproliferative malignancies PMID: 18264085
顯示更多
收起更多
-
亞細胞定位:Cytoplasm.
-
蛋白家族:BRINP family
-
組織特異性:Highly expressed in brain. Weakly expressed in heart, lung, skeletal muscle, kidney, thymus, prostate, testis and small intestine.
-
數據庫鏈接:
Most popular with customers
-
-
YWHAB Recombinant Monoclonal Antibody
Applications: ELISA, WB, IHC, IF, FC
Species Reactivity: Human, Mouse, Rat
-
Phospho-YAP1 (S127) Recombinant Monoclonal Antibody
Applications: ELISA, WB, IHC
Species Reactivity: Human
-
-
-
-
-















