BRD1 Antibody
-
中文名稱:BRD1兔多克隆抗體
-
貨號:CSB-PA002799LA01HU
-
規格:¥440
-
圖片:
-
IHC image of CSB-PA002799LA01HU diluted at 1:600 and staining in paraffin-embedded human brain tissue performed on a Leica BondTM system. After dewaxing and hydration, antigen retrieval was mediated by high pressure in a citrate buffer (pH 6.0). Section was blocked with 10% normal goat serum 30min at RT. Then primary antibody (1% BSA) was incubated at 4°C overnight. The primary is detected by a biotinylated secondary antibody and visualized using an HRP conjugated SP system.
-
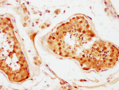
IHC image of CSB-PA002799LA01HU diluted at 1:600 and staining in paraffin-embedded human testis tissue performed on a Leica BondTM system. After dewaxing and hydration, antigen retrieval was mediated by high pressure in a citrate buffer (pH 6.0). Section was blocked with 10% normal goat serum 30min at RT. Then primary antibody (1% BSA) was incubated at 4°C overnight. The primary is detected by a biotinylated secondary antibody and visualized using an HRP conjugated SP system.
-
-
其他:
產品詳情
-
產品名稱:Rabbit anti-Homo sapiens (Human) BRD1 Polyclonal antibody
-
Uniprot No.:
-
基因名:BRD1
-
別名:BR140-like protein antibody; BRD1 antibody; BRD1_HUMAN antibody; BRL antibody; Bromodomain and PHD finger-containing protein 2 antibody; Bromodomain containing 1 antibody; Bromodomain-containing protein 1 antibody; BRPF1 antibody; BRPF2 antibody; DKFZp686F0325 antibody
-
宿主:Rabbit
-
反應種屬:Human
-
免疫原:Recombinant Human Bromodomain-containing protein 1 protein (756-879AA)
-
免疫原種屬:Homo sapiens (Human)
-
標記方式:Non-conjugated
本頁面中的產品,BRD1 Antibody (CSB-PA002799LA01HU),的標記方式是Non-conjugated。對于BRD1 Antibody,我們還提供其他標記。見下表:
-
克隆類型:Polyclonal
-
抗體亞型:IgG
-
純化方式:>95%, Protein G purified
-
濃度:It differs from different batches. Please contact us to confirm it.
-
保存緩沖液:Preservative: 0.03% Proclin 300
Constituents: 50% Glycerol, 0.01M PBS, pH 7.4 -
產品提供形式:Liquid
-
應用范圍:ELISA, IHC
-
推薦稀釋比:
Application Recommended Dilution IHC 1:500-1:1000 -
Protocols:
-
儲存條件:Upon receipt, store at -20°C or -80°C. Avoid repeated freeze.
-
貨期:Basically, we can dispatch the products out in 1-3 working days after receiving your orders. Delivery time maybe differs from different purchasing way or location, please kindly consult your local distributors for specific delivery time.
-
用途:For Research Use Only. Not for use in diagnostic or therapeutic procedures.
相關產品
靶點詳情
-
功能:Scaffold subunit of various histone acetyltransferase (HAT) complexes, such as the MOZ/MORF and HBO1 complexes, that acts as a regulator of hematopoiesis. Plays a key role in HBO1 complex by directing KAT7/HBO1 specificity towards histone H3 'Lys-14' acetylation (H3K14ac), thereby promoting erythroid differentiation.
-
基因功能參考文獻:
- There was no association between SNPs in the BRD1 and ZBED4 genes and schizophrenia in the Chinese population. PMID: 29794561
- TIMP-4, NT-proANP, NT-proBNP were strongest associated with PAF and AHRE. The discriminatory performance of CHADS2-VASc for PAF was increased by addition of selected biomarkers. PMID: 28431065
- Reduced BRD1 expression is associated with Schizophrenia. PMID: 28095495
- Findings show that BRD1 primarily binds in close proximity to transcription start sites and regulates expression of numerous genes, many of which are involved with brain development and susceptibility to mental disorders. PMID: 27142060
- The PHD finger of BRPF2 can potentially bind DNA non-specifically with an evolutionarily conserved and positively charged surface. PMID: 22820306
- BRD1 may have a role in schizophrenia and bipolar affective disorder PMID: 19693800
- The association of BRD1 with schizophrenia in a Japanese population, was analysed. PMID: 19908236
- These results suggest a general role of BRD1 in the cell and stress that the two BRD1 variants may play different roles in the etiology of psychiatric disease. PMID: 19763615
顯示更多
收起更多
-
亞細胞定位:Nucleus. Chromosome.
-
組織特異性:Highly expressed in testis.
-
數據庫鏈接:
Most popular with customers
-
YWHAB Recombinant Monoclonal Antibody
Applications: ELISA, WB, IHC, IF, FC
Species Reactivity: Human, Mouse, Rat
-
Phospho-YAP1 (S127) Recombinant Monoclonal Antibody
Applications: ELISA, WB, IHC
Species Reactivity: Human
-
-
-
-
-
-















