BLVRB Antibody
-
中文名稱:BLVRB兔多克隆抗體
-
貨號:CSB-PA002722HA01HU
-
規格:¥440
-
圖片:
-
Western Blot
Positive WB detected in: K562 whole cell lysate, PC3 whole cell lysate, HepG2 whole cell lysate
All lanes: BLVRB antibody at 1:2000
Secondary
Goat polyclonal to rabbit IgG at 1/50000 dilution
Predicted band size: 23 kDa
Observed band size: 23 kDa -
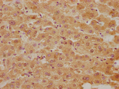
IHC image of CSB-PA002722HA01HU diluted at 1:300 and staining in paraffin-embedded human liver tissue performed on a Leica BondTM system. After dewaxing and hydration, antigen retrieval was mediated by high pressure in a citrate buffer (pH 6.0). Section was blocked with 10% normal goat serum 30min at RT. Then primary antibody (1% BSA) was incubated at 4°C overnight. The primary is detected by a biotinylated secondary antibody and visualized using an HRP conjugated SP system.
-
Immunofluorescence staining of Hela cells with CSB-PA002722HA01HU at 1:100, counter-stained with DAPI. The cells were fixed in 4% formaldehyde, permeabilized using 0.2% Triton X-100 and blocked in 10% normal Goat Serum. The cells were then incubated with the antibody overnight at 4°C. The secondary antibody was Alexa Fluor 488-congugated AffiniPure Goat Anti-Rabbit IgG(H+L).
-
-
其他:
產品詳情
-
產品名稱:Rabbit anti-Homo sapiens (Human) BLVRB Polyclonal antibody
-
Uniprot No.:
-
基因名:BLVRB
-
別名:Biliverdin IX beta reductase antibody; biliverdin reductase B (flavin reductase (NADPH)) antibody; Biliverdin reductase B antibody; Biliverdin-IX beta-reductase antibody; BLVRB antibody; BLVRB_HUMAN antibody; BVR B antibody; BVR-B antibody; BVRB antibody; epididymis secretory protein Li 10 antibody; Flavin reductase (NADPH) antibody; Flavin reductase antibody; FLR antibody; FR antibody; GHBP antibody; Green heme binding protein antibody; Green heme-binding protein antibody; HEL-S-10 antibody; Methemoglobin reductase antibody; MGC117413 antibody; NADPH dependent diaphorase antibody; NADPH flavin reductase antibody; NADPH-dependent diaphorase antibody; NADPH-flavin reductase antibody; SDR43U1 antibody; short chain dehydrogenase/reductase family 43U; member 1 antibody
-
宿主:Rabbit
-
反應種屬:Human
-
免疫原:Recombinant Human Flavin reductase (NADPH) protein (2-206AA)
-
免疫原種屬:Homo sapiens (Human)
-
標記方式:Non-conjugated
本頁面中的產品,BLVRB Antibody (CSB-PA002722HA01HU),的標記方式是Non-conjugated。對于BLVRB Antibody,我們還提供其他標記。見下表:
-
克隆類型:Polyclonal
-
抗體亞型:IgG
-
純化方式:>95%, Protein G purified
-
濃度:It differs from different batches. Please contact us to confirm it.
-
保存緩沖液:Preservative: 0.03% Proclin 300
Constituents: 50% Glycerol, 0.01M PBS, pH 7.4 -
產品提供形式:Liquid
-
應用范圍:ELISA, WB, IHC, IF
-
推薦稀釋比:
Application Recommended Dilution WB 1:1000-1:5000 IHC 1:200-1:500 IF 1:50-1:200 -
Protocols:
-
儲存條件:Upon receipt, store at -20°C or -80°C. Avoid repeated freeze.
-
貨期:Basically, we can dispatch the products out in 1-3 working days after receiving your orders. Delivery time maybe differs from different purchasing way or location, please kindly consult your local distributors for specific delivery time.
-
用途:For Research Use Only. Not for use in diagnostic or therapeutic procedures.
相關產品
靶點詳情
-
功能:Broad specificity oxidoreductase that catalyzes the NADPH-dependent reduction of a variety of flavins, such as riboflavin, FAD or FMN, biliverdins, methemoglobin and PQQ (pyrroloquinoline quinone). Contributes to heme catabolism and metabolizes linear tetrapyrroles. Can also reduce the complexed Fe(3+) iron to Fe(2+) in the presence of FMN and NADPH. In the liver, converts biliverdin to bilirubin.
-
基因功能參考文獻:
- These results provide promising chemical scaffolds for the development of enhanced BLVRB inhibitors and identify chemical probes to better dissect the role of biliverdins, alternative substrates, and BLVRB function in physiologically relevant cellular contexts. PMID: 29487133
- These data define the first physiologically relevant function of BLVRB and implicate its activity and/or heme-regulated BV tetrapyrrole(s) in a unique redox-regulated bioenergetic pathway. PMID: 27207795
- miR-127-5p suppressed NF-kappaB activity by directly targeting BLVRB in hepatocellular carcinoma cells. PMID: 26708147
- quantum mechanics/molecular mechanics potential energy surfaces show that the lowest energy pathway proceeds with a positively charged pyrrole intermediate via two transition states PMID: 18241201
-
亞細胞定位:Cytoplasm.
-
組織特異性:Predominantly expressed in liver and erythrocytes. At lower levels in heart, lung, adrenal gland and cerebrum.
-
數據庫鏈接:
Most popular with customers
-
-
YWHAB Recombinant Monoclonal Antibody
Applications: ELISA, WB, IHC, IF, FC
Species Reactivity: Human, Mouse, Rat
-
Phospho-YAP1 (S127) Recombinant Monoclonal Antibody
Applications: ELISA, WB, IHC
Species Reactivity: Human
-
-
-
-
-















