BLNK Antibody
-
中文名稱:BLNK兔多克隆抗體
-
貨號:CSB-PA195809
-
規格:¥1100
-
圖片:
-
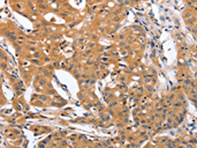
The image on the left is immunohistochemistry of paraffin-embedded Human lung cancer tissue using CSB-PA195809(BLNK Antibody) at dilution 1/50, on the right is treated with synthetic peptide. (Original magnification: ×200)
-
The image on the left is immunohistochemistry of paraffin-embedded Human brain tissue using CSB-PA195809(BLNK Antibody) at dilution 1/50, on the right is treated with synthetic peptide. (Original magnification: ×200)
-
-
其他:
產品詳情
-
Uniprot No.:
-
基因名:
-
別名:AGM4 antibody; B cell adapter containing SH2 domain protein antibody; B cell adapter containing Src homology 2 domain protein antibody; B cell adaptor containing SH2 domain antibody; B cell linker antibody; B cell linker protein antibody; B cell-specific adaptor protein antibody; B-cell activation antibody; B-cell adapter containing a SH2 domain protein antibody; B-cell adapter containing a Src homology 2 domain protein antibody; B-cell linker protein antibody; BASH antibody; Bca antibody; BLNK antibody; BLNK s antibody; BLNK_HUMAN antibody; Cytoplasmic adapter protein antibody; Ly 57 antibody; Ly57 antibody; Lymphocyte antigen 57 antibody; Lyw 57 antibody; Lyw57 antibody; MGC111051 antibody; SH2 domain-containing leukocyte protein; 65-KD antibody; SLP 65 antibody; SLP-65 antibody; SLP65 antibody; Src homology [SH2] domain-containing leukocyte protein of 65 kD antibody; Src homology 2 domain containing leukocyte protein of 65 kDa antibody; Src homology 2 domain-containing leukocyte protein of 65 kDa antibody
-
宿主:Rabbit
-
反應種屬:Human,Mouse,Rat
-
免疫原:Synthetic peptide of Human BLNK
-
免疫原種屬:Homo sapiens (Human)
-
標記方式:Non-conjugated
-
抗體亞型:IgG
-
純化方式:Antigen affinity purification
-
濃度:It differs from different batches. Please contact us to confirm it.
-
保存緩沖液:-20°C, pH7.4 PBS, 0.05% NaN3, 40% Glycerol
-
產品提供形式:Liquid
-
應用范圍:ELISA,IHC
-
推薦稀釋比:
Application Recommended Dilution ELISA 1:1000-1:5000 IHC 1:50-1:200 -
Protocols:
-
儲存條件:Upon receipt, store at -20°C or -80°C. Avoid repeated freeze.
-
貨期:Basically, we can dispatch the products out in 1-3 working days after receiving your orders. Delivery time maybe differs from different purchasing way or location, please kindly consult your local distributors for specific delivery time.
-
用途:For Research Use Only. Not for use in diagnostic or therapeutic procedures.
相關產品
靶點詳情
-
功能:Functions as a central linker protein, downstream of the B-cell receptor (BCR), bridging the SYK kinase to a multitude of signaling pathways and regulating biological outcomes of B-cell function and development. Plays a role in the activation of ERK/EPHB2, MAP kinase p38 and JNK. Modulates AP1 activation. Important for the activation of NF-kappa-B and NFAT. Plays an important role in BCR-mediated PLCG1 and PLCG2 activation and Ca(2+) mobilization and is required for trafficking of the BCR to late endosomes. However, does not seem to be required for pre-BCR-mediated activation of MAP kinase and phosphatidyl-inositol 3 (PI3) kinase signaling. May be required for the RAC1-JNK pathway. Plays a critical role in orchestrating the pro-B cell to pre-B cell transition. May play an important role in BCR-induced B-cell apoptosis.
-
基因功能參考文獻:
- vesicular signaling scaffolds are required for B cell activation indicates that vesicles may deliver preassembled signaling cargo to sites of BCR activation. PMID: 25140054
- early Ca(2+) fluxing provides feed-forward signal amplification by promoting anchoring of the PLCgamma2 C2 domain to phospho-SLP65. PMID: 24166973
- up-regulation of BLNK is associated with RUNX1 mutations in cytogenetically normal acute myeloid leukemia. PMID: 22689681
- Live cell imaging and co-immunoprecipitation experiments confirmed that both SLP65 and CIN85 are both required for the onset and progression phases of B-cell antigen receptor signal transduction. PMID: 21822214
- 16 of the 34 childhood pre-B acute lymphoblastic leukaemia samples that were tested showed a complete loss or drastic reduction of SLP-65 expression PMID: 12761551
- The BLNK protein is present in the majority of mediastinal B cell lymphomas. PMID: 15744341
- In B cells SLP-65 exists in a 180 kDa complex as well as in monomeric form. PMID: 16356554
- V(H) gene rearrangement represents a frequent feature in B-lymphoid malignancy, which can be attributed to SLP65 deficiency in many cases. PMID: 16636677
- Syk is required to link phosphorylated SLP-65 to Ca(2+) mobilization. PMID: 17681949
- Plasmacytoid dendritic cells express a signalosome consisting of Lyn, Syk, Btk, Slp65 (Blnk) and PLCgamma2. Triggering CD303 leads to tyrosine phosphorylation of Syk, Slp65, PLCgamma2 & cytoskeletal proteins. PMID: 18022864
- BLNK prevents aneuploidy by inhibiting cytokinesis. PMID: 19018766
- BLNK recruits active H-Ras to the BCR complex, which is essential for sustained surface expression of BCR in the form of the cap and for the signal leading to functional ERK activation PMID: 19218240
- Data show that SLP-65 phosphorylation acts upstream for signal initiation and also downstream during selective processing of the B cell receptor signal. PMID: 19372136
- Identifies BLNK as a potential target for the protein-tyrosine phosphatase SHP-1. PMID: 15588985
顯示更多
收起更多
-
相關疾病:Agammaglobulinemia 4, autosomal recessive (AGM4)
-
亞細胞定位:Cytoplasm. Cell membrane. Note=BCR activation results in the translocation to membrane fraction.
-
組織特異性:Expressed in B-cell lineage and fibroblast cell lines (at protein level). Highest levels of expression in the spleen, with lower levels in the liver, kidney, pancreas, small intestines and colon.
-
數據庫鏈接:
Most popular with customers
-
-
YWHAB Recombinant Monoclonal Antibody
Applications: ELISA, WB, IHC, IF, FC
Species Reactivity: Human, Mouse, Rat
-
Phospho-YAP1 (S127) Recombinant Monoclonal Antibody
Applications: ELISA, WB, IHC
Species Reactivity: Human
-
-
-
-
-















